| UNIPROT | P00338 |
| Иммуноген | RPB370Hu01-Recombinant Lactate Dehydrogenase A (LDHA) |
Polyclonal Antibody to Lactate Dehydrogenase A (LDHA) (PAB370Hu01)
Реактивность подтвержденная:
человек
Источник (хозяин):
кролик
Валидировано для:
IHC
WB
Характеристики
Техническое описание
| Русское название | PAB370Hu01 Поликлональное антитело к LDHA (человек) <Cloud-Clone,Китай> |
| Каталожный номер | PAB370Hu01 |
| Название антигена | Lactate Dehydrogenase A (LDHA) |
| UNIPROT | P00338 |
| Иммуноген | RPB370Hu01-Recombinant Lactate Dehydrogenase A (LDHA) |
| Английские синонимы | LDH-A, LDH-M, LDH1, PIG19, Cell proliferation-inducing gene 19 protein, LDH muscle subunit, Renal carcinoma antigen NY-REN-59 |
Реактивность подтвержденная Нужна другая реактивность? |
человек |
| Реактивность предсказываемая | мышь, крыса, свинья |
| Источник (хозяин) | кролик |
| Клональность | поликлональное |
| Рекомбинантное | нет |
| Готовое к использованию | нет |
| Концентрация | 0.5 мг/мл |
| Конъюгат | По запросу: HRP, biotin, PerCP, PE, Cy3, FITC, Cy7, Cy5.5, PE-Cy5, PE-Cy7, PerCp-Cy5.5, APC, Cy5, PE-Cy3, PE-Cy5.5, APC-Cy7, Biotin-APC, FITC-Biotin, TRITC, APC-Cy5, AF488, AF594, AF405, AF555, AF700, AF647, AF750 |
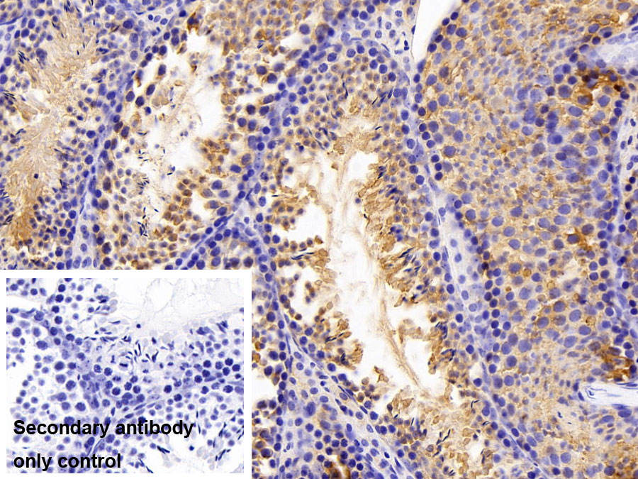
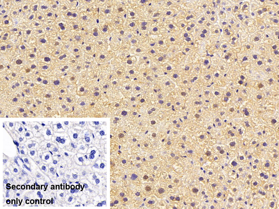
| Валидировано для | IHC WB Иммуногистохимия; Вестерн-блоттинг |
| Рекомендуемые разведения | WB: 0.01-2 мкг/мл; IHC: 5-20 мкг/мл; ICC: 5-20 мкг/мл; Оптимальное разведение определяется конечным потребителем |
| Метод очистки | Антигенспецифическая аффинная хроматография с последующей аффинной хроматографией с белком А |
| Состав буфера | PBS, pH7.4, 0.02% NaN3, 50% глицерин |
| Условия доставки | термобокс с аккумуляторами холода |
| Условия хранения | Сразу после получения аликвотировать и хранить при -20ºС до 24 месяцев. Для частого использования хранить при +4ºС не более 2 недель. Избегать повторения циклов замерзания/оттаивания |
| Срок хранения | 24 месяца |
| Производитель | Cloud-Clone Corp. |
| Ссылка на страницу товара на сайте производителя | http://www.cloud-clone.com/products/PAB370Hu01.html |
|
Артикул
|
Наименование |
Производитель
|
|---|
|
Артикул
|
Наименование |
Производитель
|
|---|
|
Артикул
|
Наименование |
Производитель
|
|---|
|
Артикул
|
Наименование |
Производитель
|
|---|
|
Артикул
|
Наименование |
Производитель
|
|---|
|
Артикул
|
Наименование |
Производитель
|
|---|
|
Артикул
|
Наименование |
Производитель
|
|---|
|
Артикул
|
Наименование |
Производитель
|
|---|
Акции и предложения
Популярные продукты:
Anti-Human CLDN18 Antibody (43-14A) (RHF19803)
Источник (хозяин): мышь
Реактивность подтвержденная: человек
Валидировано для: ELISA, IHC-P
Реактивность подтвержденная: человек
Валидировано для: ELISA, IHC-P
Monkey Cryptochrome 2(CRY2) ELISA kit (E09C2085)
Организм: обезьяна
Porcine Carbonic Anhydrase 3(CA3) ELISA kit (E07C1283)
Организм: свинья
Monkey Actin, cytoplasmic 2 ELISA kit (E09A1220)
Организм: обезьяна

