| UNIPROT | P19629 |
| Иммуноген | RPE131Ra01-Recombinant Lactate Dehydrogenase C (LDHC) |
Polyclonal Antibody to Lactate Dehydrogenase C (LDHC) (PAE131Ra01)
Реактивность подтвержденная:
крыса
Источник (хозяин):
кролик
Валидировано для:
IHC
WB
Характеристики
Техническое описание
| Русское название | PAE131Ra01 Поликлональное антитело к LDHC (крыса) <Cloud-Clone,Китай> |
| Каталожный номер | PAE131Ra01 |
| Название антигена | Lactate Dehydrogenase C (LDHC) |
| UNIPROT | P19629 |
| Иммуноген | RPE131Ra01-Recombinant Lactate Dehydrogenase C (LDHC) |
| Английские синонимы | LDH-C, CT32, LDHX, LDH3, Cancer/Testis Antigen 32, LDH testis subunit |
Реактивность подтвержденная Нужна другая реактивность? |
крыса |
| Источник (хозяин) | кролик |
| Клональность | поликлональное |
| Рекомбинантное | нет |
| Готовое к использованию | нет |
| Концентрация | 500 мкг/мл |
| Конъюгат | По запросу: HRP, biotin, PerCP, PE, Cy3, FITC, Cy7, Cy5.5, PE-Cy5, PE-Cy7, PerCp-Cy5.5, APC, Cy5, PE-Cy3, PE-Cy5.5, APC-Cy7, Biotin-APC, FITC-Biotin, TRITC, APC-Cy5, AF488, AF594, AF405, AF555, AF700, AF647, AF750 |
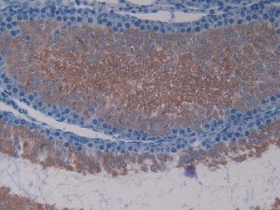
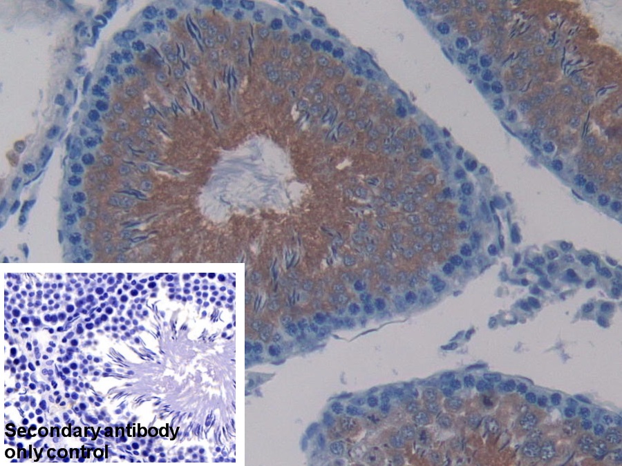
| Валидировано для | IHC WB Иммуногистохимия; Вестерн-блоттинг |
| Рекомендуемые разведения | WB: 0.5-2 мкг/мл; ICC (фиксация формалином): 5-20 мкг/мл; IHC (замороженные срезы): 5-20 мкг/мл; IHC (парафиновые срезы): 5-20 мкг/мл; ELISA: 0.05-2 мкг/мл; Оптимальное разведение определяется конечным потребителем |
| Метод очистки | Антигенспецифическая аффинная хроматография с последующей аффинной хроматографией с белком А |
| Состав буфера | 0.01M PBS, pH7.4, 0.05% Proclin-300, 50% глицерин |
| Условия доставки | термобокс с аккумуляторами холода |
| Условия хранения | Сразу после получения аликвотировать и хранить при -20ºС до 24 месяцев. Для частого использования хранить при +4ºС не более 2 недель. Избегать повторения циклов замерзания/оттаивания |
| Срок хранения | 24 месяца |
| Производитель | Cloud-Clone Corp. |
| Ссылка на страницу товара на сайте производителя | http://www.cloud-clone.com/products/PAE131Ra01.html |
|
Артикул
|
Наименование |
Производитель
|
|---|
|
Артикул
|
Наименование |
Производитель
|
|---|
|
Артикул
|
Наименование |
Производитель
|
|---|
|
Артикул
|
Наименование |
Производитель
|
|---|
Акции и предложения
Популярные продукты:
Bovine Hyaluronidase 2 ELISA kit (E11H1414)
Организм: корова
Chicken Fibrinogen Like Protein 1 ELISA kit (E12F0080)
Организм: курица
Sheep Calcyphosin(CAPS) ELISA kit (E14C1370)
Организм: овца
Rat Calcyphosin(CAPS) ELISA kit (E02C1370)
Организм: крыса
Sheep Lysophosphatidic acid ELISA Kit (E14L1190)
Организм: овца

