| UNIPROT | G3V779 |
| Иммуноген | RPC560Ra01-Recombinant Ladinin 1 (LAD1) |
Polyclonal Antibody to Ladinin 1 (LAD1) (PAC560Ra01)
Реактивность подтвержденная:
крыса
Источник (хозяин):
кролик
Валидировано для:
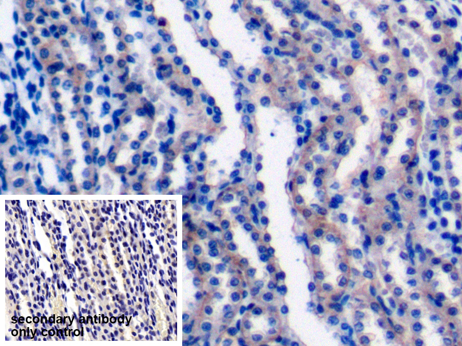
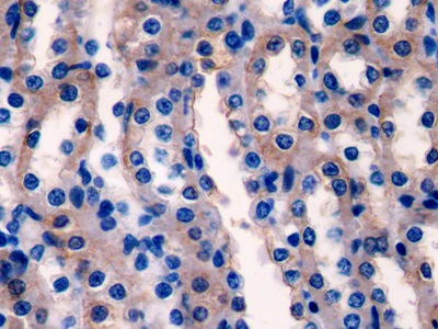
IHC
Характеристики
Техническое описание
| Русское название | PAC560Ra01 Поликлональное антитело к LAD1 (крыса) <Cloud-Clone,Китай> |
| Каталожный номер | PAC560Ra01 |
| Название антигена | Ladinin 1 (LAD1) |
| UNIPROT | G3V779 |
| Иммуноген | RPC560Ra01-Recombinant Ladinin 1 (LAD1) |
| Английские синонимы | LadA, Linear IgA disease antigen |
Реактивность подтвержденная Нужна другая реактивность? |
крыса |
| Реактивность предсказываемая | мышь |
| Источник (хозяин) | кролик |
| Клональность | поликлональное |
| Рекомбинантное | нет |
| Готовое к использованию | нет |
| Концентрация | 0.5 мг/мл |
| Конъюгат | По запросу: HRP, biotin, PerCP, PE, Cy3, FITC, Cy7, Cy5.5, PE-Cy5, PE-Cy7, PerCp-Cy5.5, APC, Cy5, PE-Cy3, PE-Cy5.5, APC-Cy7, Biotin-APC, FITC-Biotin, TRITC, APC-Cy5, AF488, AF594, AF405, AF555, AF700, AF647, AF750 |
| Валидировано для | IHC Иммуногистохимия |
| Рекомендуемые разведения | WB: 0.01-2 мкг/мл; IHC: 5-20 мкг/мл; Оптимальное разведение определяется конечным потребителем |
| Метод очистки | Антигенспецифическая аффинная хроматография с последующей аффинной хроматографией с белком А |
| Состав буфера | 0.01M PBS, pH7.4, 0.05% Proclin-300, 50% глицерин |
| Условия доставки | термобокс с аккумуляторами холода |
| Условия хранения | Сразу после получения аликвотировать и хранить при -20ºС до 24 месяцев. Для частого использования хранить при +4ºС не более 2 недель. Избегать повторения циклов замерзания/оттаивания |
| Срок хранения | 24 месяца |
| Производитель | Cloud-Clone Corp. |
| Ссылка на страницу товара на сайте производителя | http://www.cloud-clone.com/products/PAC560Ra01.html |
|
Артикул
|
Наименование |
Производитель
|
|---|
Акции и предложения
Популярные продукты:
Porcine Omentin 1 ELISA kit (E07O0022)
Организм: свинья
Anti-DENV-2 NSP5/NS5 Antibody (2B3) (RVV32701)
Источник (хозяин): человек
Реактивность подтвержденная: вирусы
Валидировано для: ELISA
Реактивность подтвержденная: вирусы
Валидировано для: ELISA
Anti-DENV-2 E-DIII Antibody (1A1D) (RVV04101)
Источник (хозяин): человек
Реактивность подтвержденная: вирусы
Валидировано для: ELISA, WB
Реактивность подтвержденная: вирусы
Валидировано для: ELISA, WB
Recombinant Human SLC2A5 Protein, N-His-SUMO (YHD54001)
Источник (хозяин): E.coli
Организм: человек
Фрагмент: Pro461-Gln501
Теги: N-His-SUMO
Биоактивность: нет
Организм: человек
Фрагмент: Pro461-Gln501
Теги: N-His-SUMO
Биоактивность: нет
Anti-SESN2 Antibody (R1Z64) (RHF24701)
Источник (хозяин): кролик
Реактивность подтвержденная: человек, мышь, крыса
Валидировано для: IF, IP, WB
Реактивность подтвержденная: человек, мышь, крыса
Валидировано для: IF, IP, WB

