| UNIPROT | Q61087 |
| Иммуноген | RPC081Mu02-Recombinant Laminin Beta 3 (LAMb3) |
Polyclonal Antibody to Laminin Beta 3 (LAMb3) (PAC081Mu02)
Реактивность подтвержденная:
мышь
Источник (хозяин):
кролик
Валидировано для:
IHC
Характеристики
Техническое описание
| Русское название | PAC081Mu02 Поликлональное антитело к LAMb3 (мышь) <Cloud-Clone,Китай> |
| Каталожный номер | PAC081Mu02 |
| Название антигена | Laminin Beta 3 (LAMb3) |
| UNIPROT | Q61087 |
| Иммуноген | RPC081Mu02-Recombinant Laminin Beta 3 (LAMb3) |
| Английские синонимы | LAM-B3, LAMNB1, Nicein subunit beta, Kalinin subunit beta, Epiligrin subunit beta, Laminin B1k chain, Laminin-5 subunit beta |
Реактивность подтвержденная Нужна другая реактивность? |
мышь |
| Источник (хозяин) | кролик |
| Клональность | поликлональное |
| Рекомбинантное | нет |
| Готовое к использованию | нет |
| Концентрация | 0.2 мг/мл |
| Конъюгат | По запросу: HRP, biotin, PerCP, PE, Cy3, FITC, Cy7, Cy5.5, PE-Cy5, PE-Cy7, PerCp-Cy5.5, APC, Cy5, PE-Cy3, PE-Cy5.5, APC-Cy7, Biotin-APC, FITC-Biotin, TRITC, APC-Cy5, AF488, AF594, AF405, AF555, AF700, AF647, AF750 |
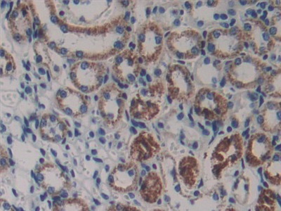
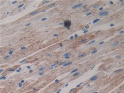
| Валидировано для | IHC Иммуногистохимия |
| Рекомендуемые разведения | WB: 0.5-2 мкг/мл; 1:100-400; IHC: 5-20 мкг/мл; 1:10-40; ICC: 5-20 мкг/мл; 1:10-40; Оптимальное разведение определяется конечным потребителем |
| Метод очистки | Антигенспецифическая аффинная хроматография с последующей аффинной хроматографией с белком А |
| Состав буфера | 0.01M PBS, pH7.4, 0.05% Proclin-300, 50% глицерин |
| Условия доставки | термобокс с аккумуляторами холода |
| Условия хранения | Сразу после получения аликвотировать и хранить при -20ºС до 24 месяцев. Для частого использования хранить при +4ºС не более 2 недель. Избегать повторения циклов замерзания/оттаивания |
| Срок хранения | 24 месяца |
| Производитель | Cloud-Clone Corp. |
| Ссылка на страницу товара на сайте производителя | http://www.cloud-clone.com/products/PAC081Mu02.html |
|
Артикул
|
Наименование |
Производитель
|
|---|
|
Артикул
|
Наименование |
Производитель
|
|---|
|
Артикул
|
Наименование |
Производитель
|
|---|
|
Артикул
|
Наименование |
Производитель
|
|---|
Акции и предложения
Популярные продукты:
Integrin alpha 3 Mouse Monoclonal Antibody (BF8280)
Источник (хозяин): мышь
Реактивность подтвержденная: человек
Валидировано для: ICC, IF, IHC, WB
Реактивность подтвержденная: человек
Валидировано для: ICC, IF, IHC, WB
VWF Mouse Monoclonal Antibody (BF8069)
Источник (хозяин): мышь
Реактивность подтвержденная: человек
Валидировано для: IHC
Реактивность подтвержденная: человек
Валидировано для: IHC
Rabbit Keyhole limpet hemocyanin ELISA kit (E04K0068)
Организм: кролик
Porcine Amino terminal enhancer of split(AES) ELISA kit (E07A1297)
Организм: свинья
Human Kappa casein(CSN3) ELISA kit (E01K0085)
Организм: человек

