| UNIPROT | P28062 |
| Иммуноген | RPB556Hu01-Recombinant Large Multifunctional Peptidase 7 (LMP7) |
Polyclonal Antibody to Large Multifunctional Peptidase 7 (LMP7) (PAB556Hu01)
Реактивность подтвержденная:
человек
Источник (хозяин):
кролик
Валидировано для:
IHC
WB
Характеристики
Техническое описание
| Русское название | PAB556Hu01 Поликлональное антитело к LMP7 (человек) <Cloud-Clone,Китай> |
| Каталожный номер | PAB556Hu01 |
| Название антигена | Large Multifunctional Peptidase 7 (LMP7) |
| UNIPROT | P28062 |
| Иммуноген | RPB556Hu01-Recombinant Large Multifunctional Peptidase 7 (LMP7) |
| Английские синонимы | PSMB8, RING10, PSMB5i, Beta5i, Proteasome Subunit Beta Type 8, Proteasome (Prosome,Macropain) Subunit, Beta Type 8, Multicatalytic endopeptidase complex subunit C13, Really interesting new gene 10 protein |
Реактивность подтвержденная Нужна другая реактивность? |
человек |
| Реактивность предсказываемая | мышь, крыса, корова |
| Источник (хозяин) | кролик |
| Клональность | поликлональное |
| Рекомбинантное | нет |
| Готовое к использованию | нет |
| Концентрация | 500 мкг/мл |
| Конъюгат | По запросу: HRP, biotin, PerCP, PE, Cy3, FITC, Cy7, Cy5.5, PE-Cy5, PE-Cy7, PerCp-Cy5.5, APC, Cy5, PE-Cy3, PE-Cy5.5, APC-Cy7, Biotin-APC, FITC-Biotin, TRITC, APC-Cy5, AF488, AF594, AF405, AF555, AF700, AF647, AF750 |
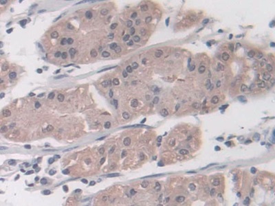
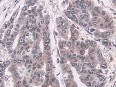
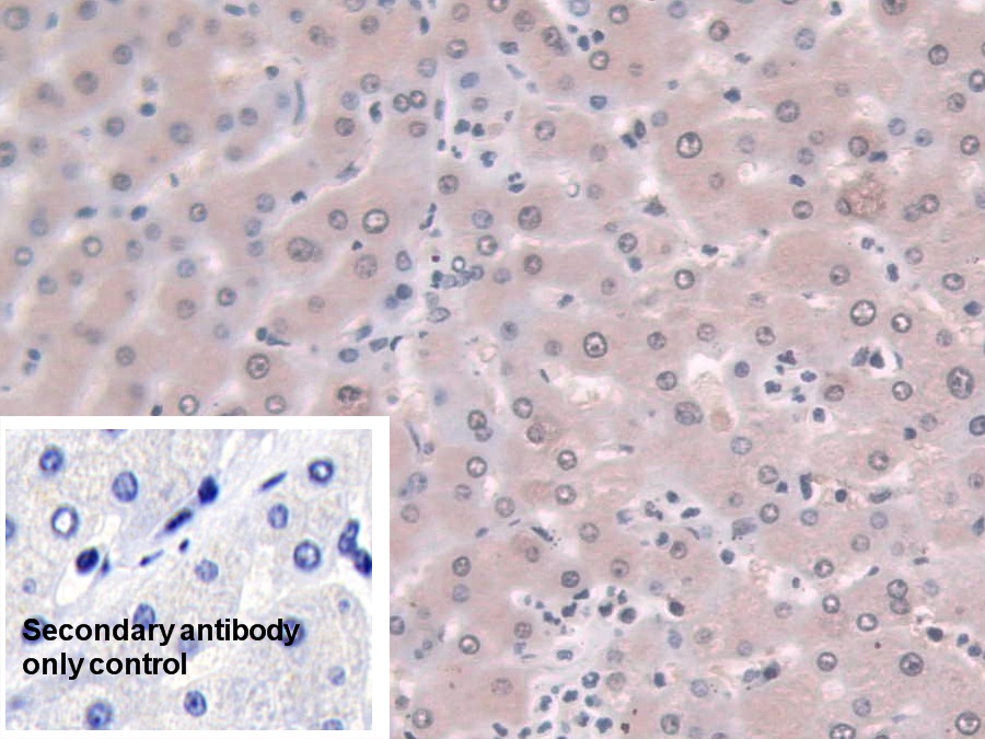
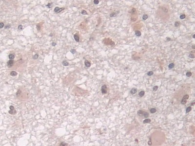
| Валидировано для | IHC WB Иммуногистохимия; Вестерн-блоттинг |
| Рекомендуемые разведения | WB: 0.01-2 мкг/мл; IHC: 5-20 мкг/мл; ICC: 5-20 мкг/мл; Оптимальное разведение определяется конечным потребителем |
| Метод очистки | Антигенспецифическая аффинная хроматография с последующей аффинной хроматографией с белком А |
| Состав буфера | PBS, pH7.4, 0.02% NaN3, 50% глицерин |
| Условия доставки | термобокс с аккумуляторами холода |
| Условия хранения | Сразу после получения аликвотировать и хранить при -20ºС до 24 месяцев. Для частого использования хранить при +4ºС не более 2 недель. Избегать повторения циклов замерзания/оттаивания |
| Срок хранения | 24 месяца |
| Производитель | Cloud-Clone Corp. |
| Ссылка на страницу товара на сайте производителя | http://www.cloud-clone.com/products/PAB556Hu01.html |
|
Артикул
|
Наименование |
Производитель
|
|---|
|
Артикул
|
Наименование |
Производитель
|
|---|
|
Артикул
|
Наименование |
Производитель
|
|---|
|
Артикул
|
Наименование |
Производитель
|
|---|
|
Артикул
|
Наименование |
Производитель
|
|---|
Акции и предложения
Популярные продукты:
Anti-Chicken Gal d4 Antibody (SAb2331) (RHK81002)
Источник (хозяин): мышь
Реактивность подтвержденная: курица
Валидировано для: ELISA, WB
Реактивность подтвержденная: курица
Валидировано для: ELISA, WB
Monkey Carboxypeptidase A6(CPA6) ELISA kit (E09C1994)
Организм: обезьяна
Mouse Elastase 3B ELISA kit (E03E0066)
Организм: мышь
Диапазон определения: 5-100 нг/мл
Чувствительность: 1 нг/мл
Диапазон определения: 5-100 нг/мл
Чувствительность: 1 нг/мл
Bovine Alpha Defensin 4 ELISA kit (E11A1839)
Организм: корова
Guinea Pig Alpha Defensin 4 ELISA kit (E05A1839)
Организм: морская свинка
Anti-Mouse/Rat DRD2 Antibody (SAA0784) (RHD04801)
Источник (хозяин): мышь
Реактивность подтвержденная: мышь, крыса
Валидировано для: IHC
Реактивность подтвержденная: мышь, крыса
Валидировано для: IHC

