| UNIPROT | Q64361 |
| Иммуноген | RPH709Ra01-Recombinant Latexin (LXN) |
Polyclonal Antibody to Latexin (LXN) (PAH709Ra01)
Реактивность подтвержденная:
крыса
Источник (хозяин):
кролик
Валидировано для:
IHC
WB
Характеристики
Техническое описание
| Русское название | PAH709Ra01 Поликлональное антитело к LXN (крыса) <Cloud-Clone,Китай> |
| Каталожный номер | PAH709Ra01 |
| Название антигена | Latexin (LXN) |
| UNIPROT | Q64361 |
| Иммуноген | RPH709Ra01-Recombinant Latexin (LXN) |
| Английские синонимы | ECI, TCI, MUM, Endogenous carboxypeptidase inhibitor, Tissue carboxypeptidase inhibitor |
Реактивность подтвержденная Нужна другая реактивность? |
крыса |
| Реактивность предсказываемая | человек, мышь |
| Источник (хозяин) | кролик |
| Клональность | поликлональное |
| Рекомбинантное | нет |
| Готовое к использованию | нет |
| Концентрация | 500 мкг/мл |
| Конъюгат | По запросу: HRP, biotin, PerCP, PE, Cy3, FITC, Cy7, Cy5.5, PE-Cy5, PE-Cy7, PerCp-Cy5.5, APC, Cy5, PE-Cy3, PE-Cy5.5, APC-Cy7, Biotin-APC, FITC-Biotin, TRITC, APC-Cy5, AF488, AF594, AF405, AF555, AF700, AF647, AF750 |
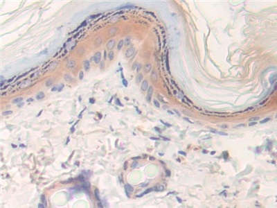
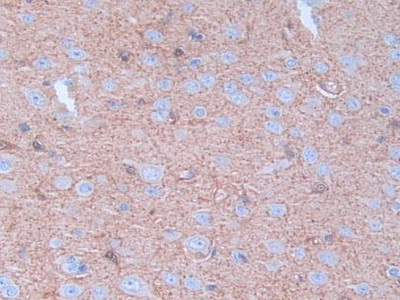
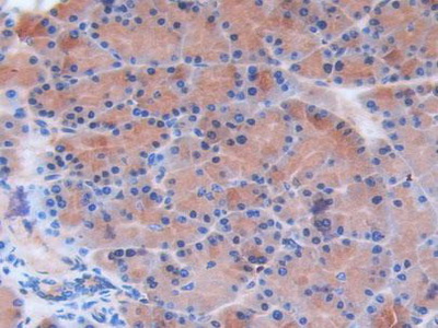
| Валидировано для | IHC WB Иммуногистохимия; Вестерн-блоттинг |
| Рекомендуемые разведения | WB: 0.5-2 мкг/мл; ICC (фиксация формалином): 5-20 мкг/мл; IHC (замороженные срезы): 5-20 мкг/мл; IHC (парафиновые срезы): 5-20 мкг/мл; ELISA: 0.05-2 мкг/мл; Оптимальное разведение определяется конечным потребителем |
| Метод очистки | Антигенспецифическая аффинная хроматография с последующей аффинной хроматографией с белком А |
| Состав буфера | 0.01M PBS, pH7.4, 0.05% Proclin-300, 50% глицерин |
| Условия доставки | термобокс с аккумуляторами холода |
| Условия хранения | Сразу после получения аликвотировать и хранить при -20ºС до 24 месяцев. Для частого использования хранить при +4ºС не более 2 недель. Избегать повторения циклов замерзания/оттаивания |
| Срок хранения | 24 месяца |
| Производитель | Cloud-Clone Corp. |
| Ссылка на страницу товара на сайте производителя | http://www.cloud-clone.com/products/PAH709Ra01.html |
|
Артикул
|
Наименование |
Производитель
|
|---|
|
Артикул
|
Наименование |
Производитель
|
|---|
|
Артикул
|
Наименование |
Производитель
|
|---|
Акции и предложения
Популярные продукты:
InVivo MAb Anti-Borreliella burgdorferi ospA Antibody (FS0298) (VXX25901)
Источник (хозяин): человек
Реактивность подтвержденная: бактерии
Валидировано для: ELISA, NEUT
Реактивность подтвержденная: бактерии
Валидировано для: ELISA, NEUT
Monoclonal Antibody to Heat Shock 70kDa Protein 1B (HSPA1B) (MAA301Bo25)
Источник (хозяин): мышь
Реактивность подтвержденная: корова
Валидировано для: WB
Реактивность подтвержденная: корова
Валидировано для: WB
Goat Phosphoglycee kinase 1(PGK1) ELISA kit (E06P0842)
Организм: коза
Human Anoctamin 5(ANO5) ELISA kit (E01A1531)
Организм: человек
Диапазон определения: 0.5-10 нг/мл
Чувствительность: 0.1 нг/мл
Диапазон определения: 0.5-10 нг/мл
Чувствительность: 0.1 нг/мл
Sheep Alpha 1 β glycoprotein ELISA kit (E14G0010)
Организм: овца
Chicken Thrombospondin 2(THBS2) ELISA kit (E12T0687)
Организм: курица

