| UNIPROT | Q9D154 |
| Иммуноген | RPD387Mu01-Recombinant Leukocyte Elastase Inhibitor (LEI) |
Polyclonal Antibody to Leukocyte Elastase Inhibitor (LEI) (PAD387Mu01)
Реактивность подтвержденная:
мышь
Источник (хозяин):
кролик
Валидировано для:
IHC
WB
Характеристики
Техническое описание
| Русское название | PAD387Mu01 Поликлональное антитело к LEI (мышь) <Cloud-Clone,Китай> |
| Каталожный номер | PAD387Mu01 |
| Название антигена | Leukocyte Elastase Inhibitor (LEI) |
| UNIPROT | Q9D154 |
| Иммуноген | RPD387Mu01-Recombinant Leukocyte Elastase Inhibitor (LEI) |
| Английские синонимы | SERPINB1, EI, ELANH2, LEI, M/NEI, MNEI, PI2, Serpin Peptidase Inhibitor Clade B Member 1, Anti-Elastase, Monocyte/Neutrophil Elastase Inhibitor |
Реактивность подтвержденная Нужна другая реактивность? |
мышь |
| Реактивность предсказываемая | человек |
| Источник (хозяин) | кролик |
| Клональность | поликлональное |
| Рекомбинантное | нет |
| Готовое к использованию | нет |
| Концентрация | 0.5 мг/мл |
| Конъюгат | По запросу: HRP, biotin, PerCP, PE, Cy3, FITC, Cy7, Cy5.5, PE-Cy5, PE-Cy7, PerCp-Cy5.5, APC, Cy5, PE-Cy3, PE-Cy5.5, APC-Cy7, Biotin-APC, FITC-Biotin, TRITC, APC-Cy5, AF488, AF594, AF405, AF555, AF700, AF647, AF750 |
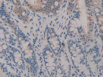
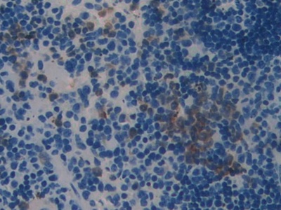
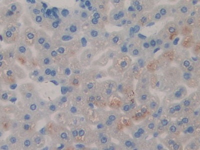
| Валидировано для | IHC WB Иммуногистохимия; Вестерн-блоттинг |
| Рекомендуемые разведения | WB: 0.01-3 мкг/мл; IHC: 5-20 мкг/мл; IF: 5-20 мкг/мл; Оптимальное разведение определяется конечным потребителем |
| Метод очистки | Антигенспецифическая аффинная хроматография с последующей аффинной хроматографией с белком А |
| Состав буфера | 0.01M PBS, pH7.4, 0.05% Proclin-300, 50% глицерин |
| Условия доставки | термобокс с аккумуляторами холода |
| Условия хранения | Сразу после получения аликвотировать и хранить при -20ºС до 24 месяцев. Для частого использования хранить при +4ºС не более 2 недель. Избегать повторения циклов замерзания/оттаивания |
| Срок хранения | 24 месяца |
| Производитель | Cloud-Clone Corp. |
| Ссылка на страницу товара на сайте производителя | http://www.cloud-clone.com/products/PAD387Mu01.html |
|
Артикул
|
Наименование |
Производитель
|
|---|
|
Артикул
|
Наименование |
Производитель
|
|---|
|
Артикул
|
Наименование |
Производитель
|
|---|
Акции и предложения
Популярные продукты:
Chicken Galanin ELISA kit (E12G0033)
Организм: курица
Recombinant Human CCL13 Protein(Trx Tag) (PDEH100512)
Источник (хозяин): E.coli
Организм: человек
Фрагмент: Gln24-Thr98
Теги: N-Trx
Биоактивность: нет
Организм: человек
Фрагмент: Gln24-Thr98
Теги: N-Trx
Биоактивность: нет
Recombinant Human CCL14/HCC-3 Protein (His Tag) (PKSH032187)
Источник (хозяин): HEK293
Организм: человек
Фрагмент: Thr 20-Asn93
Теги: C-His
Биоактивность: нет
Организм: человек
Фрагмент: Thr 20-Asn93
Теги: C-His
Биоактивность: нет
Recombinant Human CCL14 Protein (PDEH100732)
Источник (хозяин): E.coli
Организм: человек
Фрагмент: Thr20-Asn93
Теги: N-His
Биоактивность: нет
Организм: человек
Фрагмент: Thr20-Asn93
Теги: N-His
Биоактивность: нет
Recombinant Human CCL11/Eotaxin Protein (PKSH032186)
Источник (хозяин): E.coli
Организм: человек
Фрагмент: Gly24-Pro97
Теги: без тега
Биоактивность: нет
Организм: человек
Фрагмент: Gly24-Pro97
Теги: без тега
Биоактивность: нет
FITC Mouse IgG2a, κ Isotype Control (IS067-Mu82)
Источник (хозяин): мышь
Валидировано для: CTRL, FCM
Валидировано для: CTRL, FCM

