| UNIPROT | Q4G075 |
| Иммуноген | RPD387Ra01-Recombinant Leukocyte Elastase Inhibitor (LEI) |
Polyclonal Antibody to Leukocyte Elastase Inhibitor (LEI) (PAD387Ra01)
Реактивность подтвержденная:
крыса
Источник (хозяин):
кролик
Валидировано для:
IHC
WB
Характеристики
Техническое описание
| Русское название | PAD387Ra01 Поликлональное антитело к LEI (крыса) <Cloud-Clone,Китай> |
| Каталожный номер | PAD387Ra01 |
| Название антигена | Leukocyte Elastase Inhibitor (LEI) |
| UNIPROT | Q4G075 |
| Иммуноген | RPD387Ra01-Recombinant Leukocyte Elastase Inhibitor (LEI) |
| Английские синонимы | SERPINB1, EI, ELANH2, LEI, M/NEI, MNEI, PI2, Serpin Peptidase Inhibitor Clade B Member 1, Anti-Elastase, Monocyte/Neutrophil Elastase Inhibitor |
Реактивность подтвержденная Нужна другая реактивность? |
крыса |
| Реактивность предсказываемая | мышь |
| Источник (хозяин) | кролик |
| Клональность | поликлональное |
| Рекомбинантное | нет |
| Готовое к использованию | нет |
| Концентрация | 0.5 мг/мл |
| Конъюгат | По запросу: HRP, biotin, PerCP, PE, Cy3, FITC, Cy7, Cy5.5, PE-Cy5, PE-Cy7, PerCp-Cy5.5, APC, Cy5, PE-Cy3, PE-Cy5.5, APC-Cy7, Biotin-APC, FITC-Biotin, TRITC, APC-Cy5, AF488, AF594, AF405, AF555, AF700, AF647, AF750 |
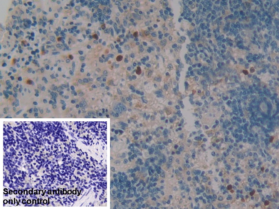
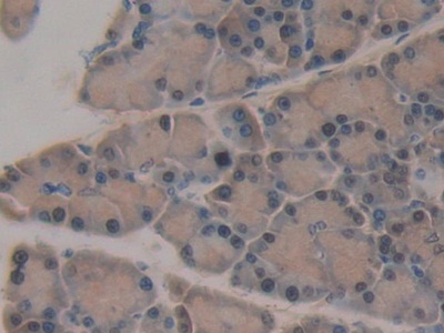
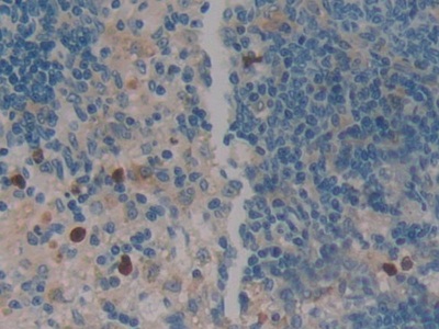
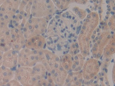
| Валидировано для | IHC WB Иммуногистохимия; Вестерн-блоттинг |
| Рекомендуемые разведения | WB: 0.01-3 мкг/мл; IHC: 5-20 мкг/мл; ICC: 5-20 мкг/мл; Оптимальное разведение определяется конечным потребителем |
| Метод очистки | Антигенспецифическая аффинная хроматография с последующей аффинной хроматографией с белком А |
| Состав буфера | 0.01M PBS, pH7.4, 0.05% Proclin-300, 50% глицерин |
| Условия доставки | термобокс с аккумуляторами холода |
| Условия хранения | Сразу после получения аликвотировать и хранить при -20ºС до 24 месяцев. Для частого использования хранить при +4ºС не более 2 недель. Избегать повторения циклов замерзания/оттаивания |
| Срок хранения | 24 месяца |
| Производитель | Cloud-Clone Corp. |
| Ссылка на страницу товара на сайте производителя | http://www.cloud-clone.com/products/PAD387Ra01.html |
|
Артикул
|
Наименование |
Производитель
|
|---|
|
Артикул
|
Наименование |
Производитель
|
|---|
Акции и предложения
Популярные продукты:
Porcine Keratin 10 ELISA kit (E07K0201)
Организм: свинья
Chicken Galanin ELISA kit (E12G0033)
Организм: курица
Recombinant Human CCL13 Protein(Trx Tag) (PDEH100512)
Источник (хозяин): E.coli
Организм: человек
Фрагмент: Gln24-Thr98
Теги: N-Trx
Биоактивность: нет
Организм: человек
Фрагмент: Gln24-Thr98
Теги: N-Trx
Биоактивность: нет
Recombinant Human CCL15/MIP-1δ Protein(Trx Tag) (PDEH100617)
Источник (хозяин): E.coli
Организм: человек
Фрагмент: Gln22-Iie113
Теги: N-Trx
Биоактивность: нет
Организм: человек
Фрагмент: Gln22-Iie113
Теги: N-Trx
Биоактивность: нет
Recombinant Human CCL14a/HCC-1 Protein(Sumo Tag) (PDEH100598)
Источник (хозяин): E.coli
Организм: человек
Фрагмент: Gly28-Asn93
Теги: N-Sumo
Биоактивность: нет
Организм: человек
Фрагмент: Gly28-Asn93
Теги: N-Sumo
Биоактивность: нет

