| UNIPROT | P36941 |
| Иммуноген | RPA481Hu01-Recombinant Lymphotoxin Beta Receptor (LTbR) |
Polyclonal Antibody to Lymphotoxin Beta Receptor (LTbR) (PAA481Hu01)
Реактивность подтвержденная:
человек
Источник (хозяин):
кролик
Валидировано для:
IHC
WB
Характеристики
Техническое описание
| Русское название | PAA481Hu01 Поликлональное антитело к LTbR (человек) <Cloud-Clone,Китай> |
| Каталожный номер | PAA481Hu01 |
| Название антигена | Lymphotoxin Beta Receptor (LTbR) |
| UNIPROT | P36941 |
| Иммуноген | RPA481Hu01-Recombinant Lymphotoxin Beta Receptor (LTbR) |
| Английские синонимы | TNFCR, TNFR-RP, TNFR-III, TNFR2-RP, TNFRSF3, Tumor Necrosis Factor Superfamily Member 3, Tumor necrosis factor C receptor, Tumor necrosis factor receptor type III |
Реактивность подтвержденная Нужна другая реактивность? |
человек |
| Источник (хозяин) | кролик |
| Клональность | поликлональное |
| Рекомбинантное | нет |
| Готовое к использованию | нет |
| Концентрация | 0.5 мг/мл |
| Конъюгат | По запросу: HRP, biotin, PerCP, PE, Cy3, FITC, Cy7, Cy5.5, PE-Cy5, PE-Cy7, PerCp-Cy5.5, APC, Cy5, PE-Cy3, PE-Cy5.5, APC-Cy7, Biotin-APC, FITC-Biotin, TRITC, APC-Cy5, AF488, AF594, AF405, AF555, AF700, AF647, AF750 |
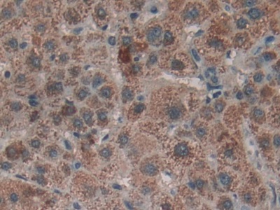
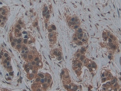
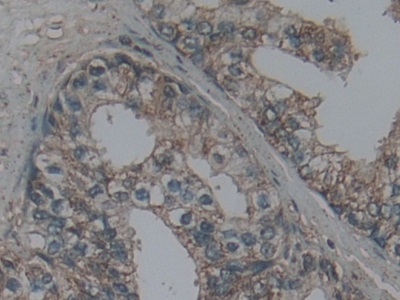
| Валидировано для | IHC WB Иммуногистохимия; Вестерн-блоттинг |
| Рекомендуемые разведения | WB: 0.01-2 мкг/мл; IHC: 5-20 мкг/мл; ICC: 5-20 мкг/мл; Оптимальное разведение определяется конечным потребителем |
| Метод очистки | Антигенспецифическая аффинная хроматография с последующей аффинной хроматографией с белком А |
| Состав буфера | 0.01M PBS, pH7.4, 0.05% Proclin-300, 50% глицерин |
| Условия доставки | термобокс с аккумуляторами холода |
| Условия хранения | Сразу после получения аликвотировать и хранить при -20ºС до 24 месяцев. Для частого использования хранить при +4ºС не более 2 недель. Избегать повторения циклов замерзания/оттаивания |
| Срок хранения | 24 месяца |
| Производитель | Cloud-Clone Corp. |
| Ссылка на страницу товара на сайте производителя | http://www.cloud-clone.com/products/PAA481Hu01.html |
|
Артикул
|
Наименование |
Производитель
|
|---|
|
Артикул
|
Наименование |
Производитель
|
|---|
|
Артикул
|
Наименование |
Производитель
|
|---|
|
Артикул
|
Наименование |
Производитель
|
|---|
Акции и предложения
Популярные продукты:
Mouse Hormone Sensitive Lipase ELISA kit (E03H0281)
Организм: мышь
Диапазон определения: 0.5-10 нг/мл
Чувствительность: 0.1 нг/мл
Диапазон определения: 0.5-10 нг/мл
Чувствительность: 0.1 нг/мл
ELISA Kit DIY Materials for Activin A Receptor Type II A (ACVR2A) (KSC117Hu01)
Организм: человек
Диапазон определения: 0.156-10 нг/мл
Чувствительность: 0.054 нг/мл
Диапазон определения: 0.156-10 нг/мл
Чувствительность: 0.054 нг/мл
Chicken Phosphatidylinositol 3 kinase ELISA kit (E12P0185)
Организм: курица
Goat Phosphatidylinositol 3 kinase ELISA kit (E06P0185)
Организм: коза
Canine 14-3-3 protein eta(YWHAH) ELISA kit (E08Y0007)
Организм: собака

