| UNIPROT | Q15046 |
| Иммуноген | RPD002Hu01-Recombinant Lysyl tRNA Synthetase (KARS) |
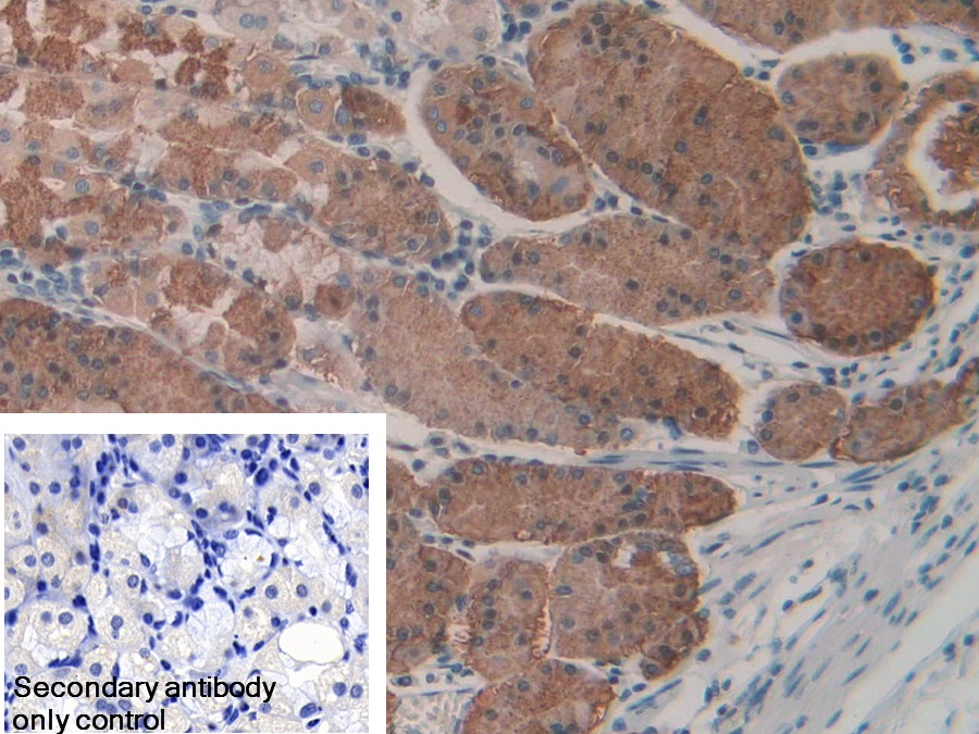
Polyclonal Antibody to Lysyl tRNA Synthetase (KARS) (PAD002Hu01)
Реактивность подтвержденная:
человек
Источник (хозяин):
кролик
Валидировано для:
IHC
WB
Характеристики
Техническое описание
| Русское название | PAD002Hu01 Поликлональное антитело к KARS (человек) <Cloud-Clone,Китай> |
| Каталожный номер | PAD002Hu01 |
| Название антигена | Lysyl tRNA Synthetase (KARS) |
| UNIPROT | Q15046 |
| Иммуноген | RPD002Hu01-Recombinant Lysyl tRNA Synthetase (KARS) |
| Английские синонимы | KARS2, LysRS, Lysine tRNA Ligase |
Реактивность подтвержденная Нужна другая реактивность? |
человек |
| Источник (хозяин) | кролик |
| Клональность | поликлональное |
| Рекомбинантное | нет |
| Готовое к использованию | нет |
| Концентрация | 0.5 мг/мл |
| Конъюгат | По запросу: HRP, biotin, PerCP, PE, Cy3, FITC, Cy7, Cy5.5, PE-Cy5, PE-Cy7, PerCp-Cy5.5, APC, Cy5, PE-Cy3, PE-Cy5.5, APC-Cy7, Biotin-APC, FITC-Biotin, TRITC, APC-Cy5, AF488, AF594, AF405, AF555, AF700, AF647, AF750 |
| Валидировано для | IHC WB Иммуногистохимия; Вестерн-блоттинг |
| Рекомендуемые разведения | WB: 0.01-3 мкг/мл; IHC: 5-20 мкг/мл; Оптимальное разведение определяется конечным потребителем |
| Метод очистки | Антигенспецифическая аффинная хроматография с последующей аффинной хроматографией с белком А |
| Состав буфера | 0.01M PBS, pH7.4, 0.05% Proclin-300, 50% глицерин |
| Условия доставки | термобокс с аккумуляторами холода |
| Условия хранения | Сразу после получения аликвотировать и хранить при -20ºС до 24 месяцев. Для частого использования хранить при +4ºС не более 2 недель. Избегать повторения циклов замерзания/оттаивания |
| Срок хранения | 24 месяца |
| Производитель | Cloud-Clone Corp. |
| Ссылка на страницу товара на сайте производителя | http://www.cloud-clone.com/products/PAD002Hu01.html |
|
Артикул
|
Наименование |
Производитель
|
|---|
|
Артикул
|
Наименование |
Производитель
|
|---|
|
Артикул
|
Наименование |
Производитель
|
|---|
Акции и предложения
Популярные продукты:
Monoclonal Antibody to Amyloid Beta Precursor Like Protein 1 (APLP1) (MAG121Hu21)
Источник (хозяин): мышь
Реактивность подтвержденная: человек
Валидировано для: ICC, IHC, IP, WB
Реактивность подтвержденная: человек
Валидировано для: ICC, IHC, IP, WB
ELISA Kit for Lysyl tRNA Synthetase (KARS) (SED002Mu)
Организм: мышь
Диапазон определения: 0.312-20 нг/мл
Чувствительность: 0.123 нг/мл
Диапазон определения: 0.312-20 нг/мл
Чувствительность: 0.123 нг/мл
Bovine Omentin ELISA kit (E11O0010)
Организм: корова
Rat Nesprin 2 ELISA kit (E02N0672)
Организм: крыса

