| UNIPROT | Q14764 |
| Иммуноген | RPB764Hu01-Recombinant Major Vault Protein (MVP) |
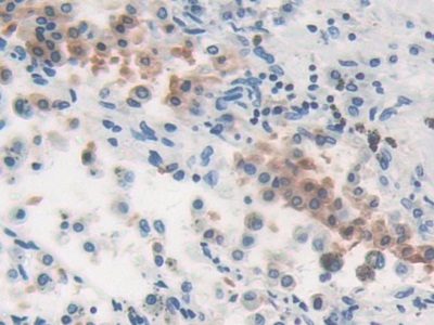
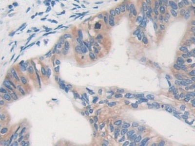
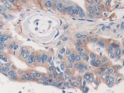
Polyclonal Antibody to Major Vault Protein (MVP) (PAB764Hu01)
Реактивность подтвержденная:
человек
Источник (хозяин):
кролик
Валидировано для:
IHC
WB
Характеристики
Техническое описание
| Русское название | PAB764Hu01 Поликлональное антитело к MVP (человек) <Cloud-Clone,Китай> |
| Каталожный номер | PAB764Hu01 |
| Название антигена | Major Vault Protein (MVP) |
| UNIPROT | Q14764 |
| Иммуноген | RPB764Hu01-Recombinant Major Vault Protein (MVP) |
| Английские синонимы | LRP, VAULT1, Lung resistance-related protein |
Реактивность подтвержденная Нужна другая реактивность? |
человек |
| Реактивность предсказываемая | мышь, крыса |
| Источник (хозяин) | кролик |
| Клональность | поликлональное |
| Рекомбинантное | нет |
| Готовое к использованию | нет |
| Концентрация | 0.5 мг/мл |
| Конъюгат | По запросу: HRP, biotin, PerCP, PE, Cy3, FITC, Cy7, Cy5.5, PE-Cy5, PE-Cy7, PerCp-Cy5.5, APC, Cy5, PE-Cy3, PE-Cy5.5, APC-Cy7, Biotin-APC, FITC-Biotin, TRITC, APC-Cy5, AF488, AF594, AF405, AF555, AF700, AF647, AF750 |
| Валидировано для | IHC WB Иммуногистохимия; Вестерн-блоттинг |
| Рекомендуемые разведения | WB: 0.5-5 мкг/мл; ICC (фиксация формалином): 5-20 мкг/мл; IHC (замороженные срезы): 5-20 мкг/мл; IHC (парафиновые срезы): 5-20 мкг/мл; Оптимальное разведение определяется конечным потребителем |
| Метод очистки | Антигенспецифическая аффинная хроматография с последующей аффинной хроматографией с белком А |
| Состав буфера | 0.01M PBS, pH7.4, 0.05% Proclin-300, 50% глицерин |
| Условия доставки | термобокс с аккумуляторами холода |
| Условия хранения | Сразу после получения аликвотировать и хранить при -20ºС до 24 месяцев. Для частого использования хранить при +4ºС не более 2 недель. Избегать повторения циклов замерзания/оттаивания |
| Срок хранения | 24 месяца |
| Производитель | Cloud-Clone Corp. |
| Ссылка на страницу товара на сайте производителя | http://www.cloud-clone.com/products/PAB764Hu01.html |
|
Артикул
|
Наименование |
Производитель
|
|---|
|
Артикул
|
Наименование |
Производитель
|
|---|
Акции и предложения
Популярные продукты:
Porcine Cytohesin 3(CYTH3) ELISA kit (E07C2266)
Организм: свинья
Anti-Major Vault Protein (MVP) Polyclonal Antibody (FAB764Hu01)
Источник (хозяин): кролик
Реактивность подтвержденная: человек
Валидировано для: FCM
Реактивность подтвержденная: человек
Валидировано для: FCM
ELISA Kit DIY Materials for Major Vault Protein (MVP) (KSB764Hu01)
Организм: человек
Диапазон определения: 0.156-10 нг/мл
Чувствительность: 0.054 нг/мл
Диапазон определения: 0.156-10 нг/мл
Чувствительность: 0.054 нг/мл
ELISA Kit DIY Materials for Gamma-cystathionase (CTH) (KSB538Ra01)
Организм: крыса
Диапазон определения: 0.312-20 нг/мл
Чувствительность: 0.117 нг/мл
Диапазон определения: 0.312-20 нг/мл
Чувствительность: 0.117 нг/мл
ELISA Kit DIY Materials for Integrin Alpha V (ITGaV) (KSB282Hu01)
Организм: человек
Диапазон определения: 0.156-10 нг/мл
Чувствительность: 0.057 нг/мл
Диапазон определения: 0.156-10 нг/мл
Чувствительность: 0.057 нг/мл
ELISA Kit DIY Materials for Thyroid Peroxidase (TPO) (KSA557Hu01)
Организм: человек
Диапазон определения: 0.78-50 нг/мл
Чувствительность: 0.31 нг/мл
Диапазон определения: 0.78-50 нг/мл
Чувствительность: 0.31 нг/мл

