| UNIPROT | P34949 |
| Иммуноген | RPH620Hu01-Recombinant Mannose Phosphate Isomerase (MPI) |
Polyclonal Antibody to Mannose Phosphate Isomerase (MPI) (PAH620Hu01)
Реактивность подтвержденная:
человек
Источник (хозяин):
кролик
Валидировано для:
IHC
WB
Характеристики
Техническое описание
| Русское название | PAH620Hu01 Поликлональное антитело к MPI (человек) <Cloud-Clone,Китай> |
| Каталожный номер | PAH620Hu01 |
| Название антигена | Mannose Phosphate Isomerase (MPI) |
| UNIPROT | P34949 |
| Иммуноген | RPH620Hu01-Recombinant Mannose Phosphate Isomerase (MPI) |
| Английские синонимы | PMI1, Mannose-6-Phosphate Isomerase, Phosphohexomutase, Phosphomannose isomerase |
Реактивность подтвержденная Нужна другая реактивность? |
человек |
| Реактивность предсказываемая | свинья |
| Источник (хозяин) | кролик |
| Клональность | поликлональное |
| Рекомбинантное | нет |
| Готовое к использованию | нет |
| Концентрация | 0.5 мг/мл |
| Конъюгат | По запросу: HRP, biotin, PerCP, PE, Cy3, FITC, Cy7, Cy5.5, PE-Cy5, PE-Cy7, PerCp-Cy5.5, APC, Cy5, PE-Cy3, PE-Cy5.5, APC-Cy7, Biotin-APC, FITC-Biotin, TRITC, APC-Cy5, AF488, AF594, AF405, AF555, AF700, AF647, AF750 |
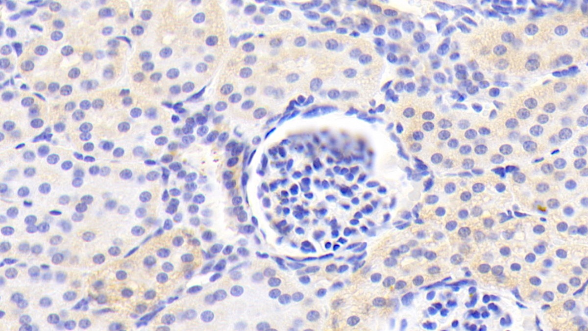
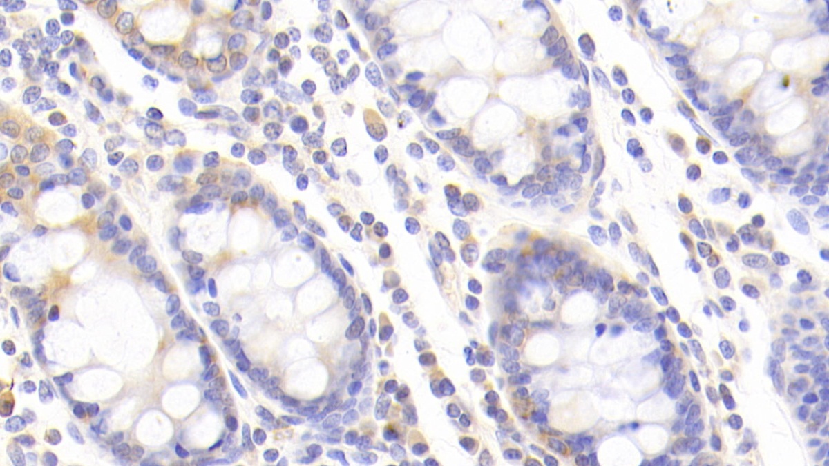
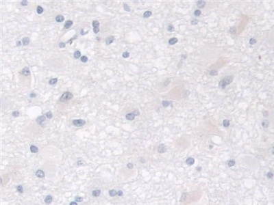
| Валидировано для | IHC WB Иммуногистохимия; Вестерн-блоттинг |
| Рекомендуемые разведения | WB: 0.01-3 мкг/мл; IHC: 5-30 мкг/мл; ICC: 5-30 мкг/мл; Оптимальное разведение определяется конечным потребителем |
| Метод очистки | Антигенспецифическая аффинная хроматография с последующей аффинной хроматографией с белком А |
| Состав буфера | 0.01M PBS, pH7.4, 0.05% Proclin-300, 50% глицерин |
| Условия доставки | термобокс с аккумуляторами холода |
| Условия хранения | Сразу после получения аликвотировать и хранить при -20ºС до 24 месяцев. Для частого использования хранить при +4ºС не более 2 недель. Избегать повторения циклов замерзания/оттаивания |
| Срок хранения | 24 месяца |
| Производитель | Cloud-Clone Corp. |
| Ссылка на страницу товара на сайте производителя | http://www.cloud-clone.com/products/PAH620Hu01.html |
|
Артикул
|
Наименование |
Производитель
|
|---|
|
Артикул
|
Наименование |
Производитель
|
|---|
Акции и предложения
Популярные продукты:
Anti-Ubiquitin (Ub) Monoclonal Antibody (FAA164Hu04)
Источник (хозяин): мышь
Реактивность подтвержденная: человек
Валидировано для: FCM
Реактивность подтвержденная: человек
Валидировано для: FCM
ELISA Kit DIY Materials for PTEN Induced Putative Kinase 1 (PINK1) (KSL057Mu01)
Организм: мышь
Диапазон определения: 0.156-10 нг/мл
Чувствительность: 0.061 нг/мл
Диапазон определения: 0.156-10 нг/мл
Чувствительность: 0.061 нг/мл
ELISA Kit DIY Materials for Cluster Of Differentiation 40 Ligand (CD40L) (KSA119Po01)
Организм: свинья
Диапазон определения: 0.156-10 нг/мл
Чувствительность: 0.055 нг/мл
Диапазон определения: 0.156-10 нг/мл
Чувствительность: 0.055 нг/мл
Human Arylacetamide deacetylase(AADAC) ELISA kit (E01A1115)
Организм: человек
Диапазон определения: 1-25 нг/мл
Чувствительность: 0.1 нг/мл
Диапазон определения: 1-25 нг/мл
Чувствительность: 0.1 нг/мл
Human Ceramide kinase(CERK) ELISA kit (E01C1622)
Организм: человек
Rabbit Leucyl Cystinyl aminopeptidase ELISA kit (E04L0290)
Организм: кролик

