| UNIPROT | Q99542 |
| Иммуноген | RPB853Hu01-Recombinant Matrix Metalloproteinase 19 (MMP19) |
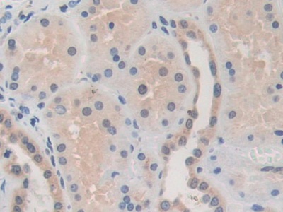
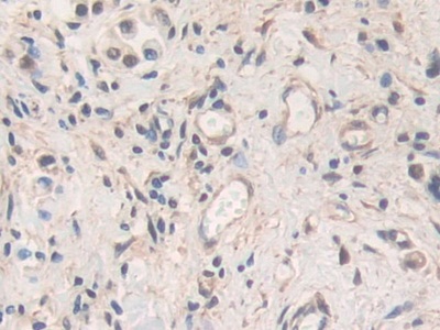
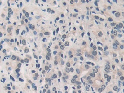
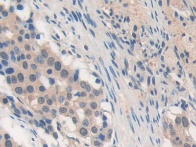
Polyclonal Antibody to Matrix Metalloproteinase 19 (MMP19) (PAB853Hu01)
Реактивность подтвержденная:
человек
Источник (хозяин):
кролик
Валидировано для:
IHC
WB
Характеристики
Техническое описание
| Русское название | PAB853Hu01 Поликлональное антитело к MMP19 (человек) <Cloud-Clone,Китай> |
| Каталожный номер | PAB853Hu01 |
| Название антигена | Matrix Metalloproteinase 19 (MMP19) |
| UNIPROT | Q99542 |
| Иммуноген | RPB853Hu01-Recombinant Matrix Metalloproteinase 19 (MMP19) |
| Английские синонимы | RASI-1, MMP18, Occasionally Referred To As Stromelysin-4, MMP-19 |
| Русские синонимы | ММП19, ММП-19, Стромелизин 4 |
Реактивность подтвержденная Нужна другая реактивность? |
человек |
| Источник (хозяин) | кролик |
| Клональность | поликлональное |
| Рекомбинантное | нет |
| Готовое к использованию | нет |
| Концентрация | 500 мкг/мл |
| Конъюгат | По запросу: HRP, biotin, PerCP, PE, Cy3, FITC, Cy7, Cy5.5, PE-Cy5, PE-Cy7, PerCp-Cy5.5, APC, Cy5, PE-Cy3, PE-Cy5.5, APC-Cy7, Biotin-APC, FITC-Biotin, TRITC, APC-Cy5, AF488, AF594, AF405, AF555, AF700, AF647, AF750 |
| Валидировано для | IHC WB Иммуногистохимия; Вестерн-блоттинг |
| Рекомендуемые разведения | WB: 1-5 мкг/мл; ICC (фиксация формалином): 5-20 мкг/мл; IHC (замороженные срезы): 5-20 мкг/мл; IHC (парафиновые срезы): 5-20 мкг/мл; ELISA: 0.05-2 мкг/мл; Оптимальное разведение определяется конечным потребителем |
| Метод очистки | Антигенспецифическая аффинная хроматография с последующей аффинной хроматографией с белком А |
| Состав буфера | 0.01M PBS, pH7.4, 0.05% Proclin-300, 50% глицерин |
| Условия доставки | термобокс с аккумуляторами холода |
| Условия хранения | Сразу после получения аликвотировать и хранить при -20ºС до 24 месяцев. Для частого использования хранить при +4ºС не более 2 недель. Избегать повторения циклов замерзания/оттаивания |
| Срок хранения | 24 месяца |
| Производитель | Cloud-Clone Corp. |
| Ссылка на страницу товара на сайте производителя | http://www.cloud-clone.com/products/PAB853Hu01.html |
|
Артикул
|
Наименование |
Производитель
|
|---|
|
Артикул
|
Наименование |
Производитель
|
|---|
|
Артикул
|
Наименование |
Производитель
|
|---|
|
Артикул
|
Наименование |
Производитель
|
|---|
|
Артикул
|
Наименование |
Производитель
|
|---|
Акции и предложения
Популярные продукты:
Anti-Stratifin (SFN) Polyclonal Antibody (FAH179Hu01)
Источник (хозяин): кролик
Реактивность подтвержденная: человек
Валидировано для: FCM
Реактивность подтвержденная: человек
Валидировано для: FCM
ELISA Kit DIY Materials for Interleukin 12B (IL12B) (KSA058Ga01)
Организм: курица
Диапазон определения: 15.6-1000 пг/мл
Чувствительность: 5.5 пг/мл
Диапазон определения: 15.6-1000 пг/мл
Чувствительность: 5.5 пг/мл
Bovine Inositol monophosphatase 1(IMPA1) ELISA kit (E11I0435)
Организм: корова
Porcine Matrix metalloproteinase 16 ELISA kit (E07M1106)
Организм: свинья
Canine Taxilin Alpha /IL 14 ELISA kit (E08T0375)
Организм: собака

