| UNIPROT | Q9EPL5 |
| Иммуноген | RPA097Mu01-Recombinant Matrix Metalloproteinase 1 (MMP1) |
Polyclonal Antibody to Matrix Metalloproteinase 1 (MMP1) (PAA097Mu01)
Реактивность подтвержденная:
мышь
Источник (хозяин):
кролик
Валидировано для:
IHC
WB
Характеристики
Техническое описание
| Русское название | PAA097Mu01 Поликлональное антитело к MMP1 (мышь) <Cloud-Clone,Китай> |
| Каталожный номер | PAA097Mu01 |
| Название антигена | Matrix Metalloproteinase 1 (MMP1) |
| UNIPROT | Q9EPL5 |
| Иммуноген | RPA097Mu01-Recombinant Matrix Metalloproteinase 1 (MMP1) |
| Английские синонимы | CLGN, CLG1, Collagenase, Interstitial Collagenase, Vertebrate Collagenase, Fibroblast Collagenase, MMP-1 |
| Русские синонимы | ММП1, ММП-1, Внутритканевая коллагеназа |
Реактивность подтвержденная Нужна другая реактивность? |
мышь |
| Реактивность предсказываемая | человек, свинья, коза, овца |
| Источник (хозяин) | кролик |
| Клональность | поликлональное |
| Рекомбинантное | нет |
| Готовое к использованию | нет |
| Концентрация | 0.5 мг/мл |
| Конъюгат | По запросу: HRP, biotin, PerCP, PE, Cy3, FITC, Cy7, Cy5.5, PE-Cy5, PE-Cy7, PerCp-Cy5.5, APC, Cy5, PE-Cy3, PE-Cy5.5, APC-Cy7, Biotin-APC, FITC-Biotin, TRITC, APC-Cy5, AF488, AF594, AF405, AF555, AF700, AF647, AF750 |
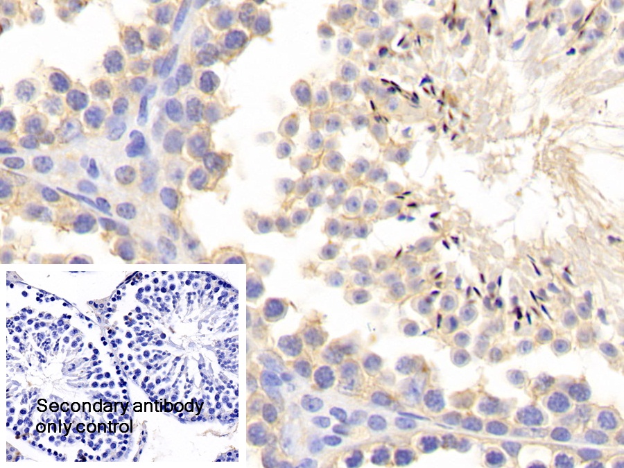
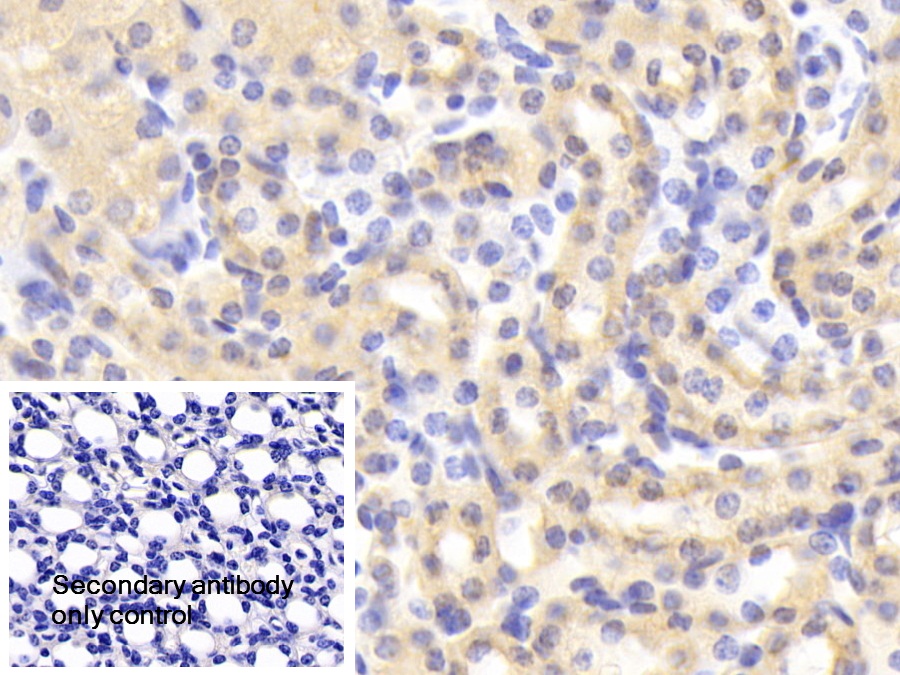
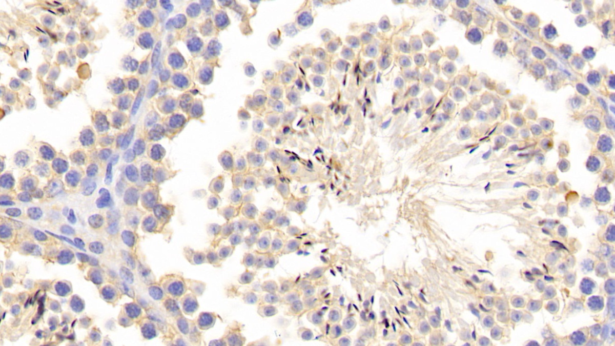
| Валидировано для | IHC WB Иммуногистохимия; Вестерн-блоттинг |
| Рекомендуемые разведения | WB: 0.01-2 мкг/мл; IHC: 5-20 мкг/мл; Оптимальное разведение определяется конечным потребителем |
| Метод очистки | Антигенспецифическая аффинная хроматография с последующей аффинной хроматографией с белком А |
| Состав буфера | 0.01M PBS, pH7.4, 0.05% Proclin-300, 50% глицерин |
| Условия доставки | термобокс с аккумуляторами холода |
| Условия хранения | Сразу после получения аликвотировать и хранить при -20ºС до 24 месяцев. Для частого использования хранить при +4ºС не более 2 недель. Избегать повторения циклов замерзания/оттаивания |
| Срок хранения | 24 месяца |
| Производитель | Cloud-Clone Corp. |
| Ссылка на страницу товара на сайте производителя | http://www.cloud-clone.com/products/PAA097Mu01.html |
|
Артикул
|
Наименование |
Производитель
|
|---|
|
Артикул
|
Наименование |
Производитель
|
|---|
|
Артикул
|
Наименование |
Производитель
|
|---|
|
Артикул
|
Наименование |
Производитель
|
|---|
|
Артикул
|
Наименование |
Производитель
|
|---|
|
Артикул
|
Наименование |
Производитель
|
|---|
|
Артикул
|
Наименование |
Производитель
|
|---|
|
Артикул
|
Наименование |
Производитель
|
|---|
|
Артикул
|
Наименование |
Производитель
|
|---|
Акции и предложения
Популярные продукты:
Human Peroxiredoxin 3 ELISA kit (E01P1251)
Организм: человек
Bovine 5-hydroxytryptamine receptor 6 ELISA Kit (E11H1453)
Организм: корова
Human Complement component receptor 1 like protein ELISA kit (E01C2035)
Организм: человек
Chicken Glypican 6 ELISA kit (E12G0668)
Организм: курица
Sheep High Density Lipoprotein ELISA kit (E14H0211)
Организм: овца
Rabbit Ceruloplasmin ELISA kit (E04C0090)
Организм: кролик

