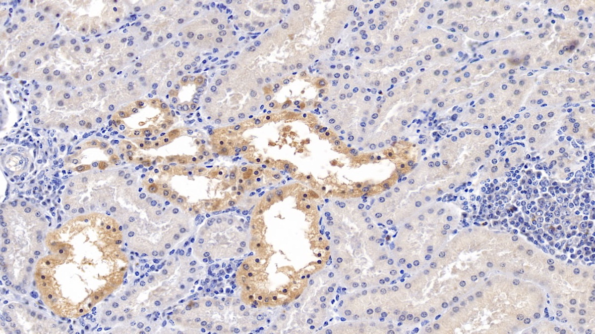
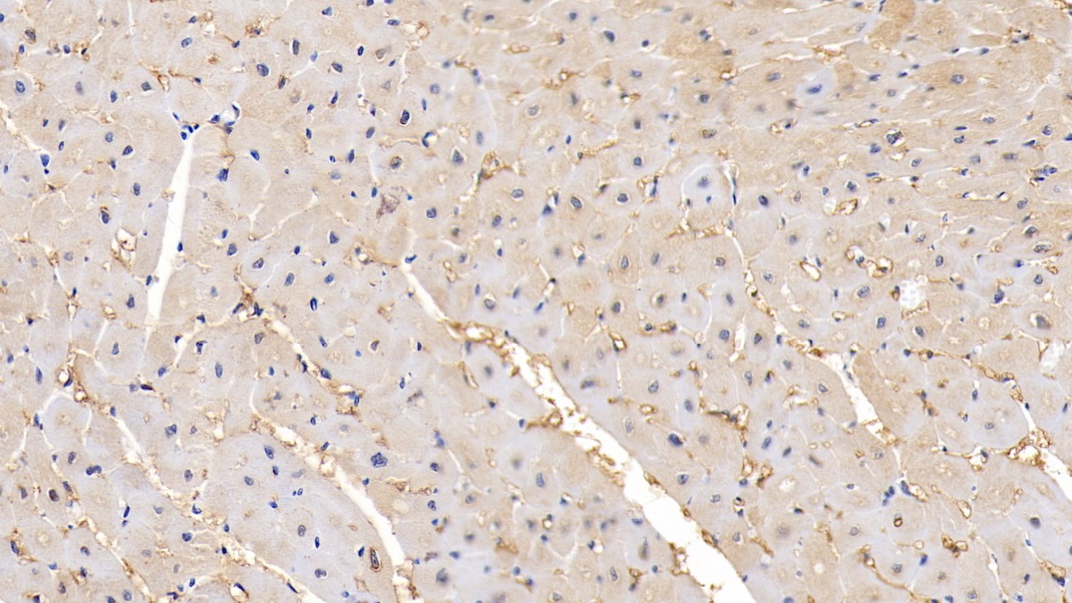
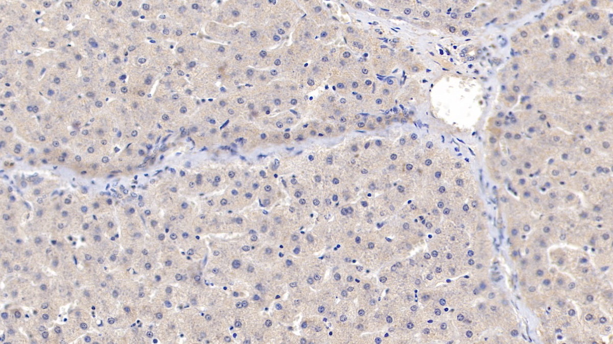
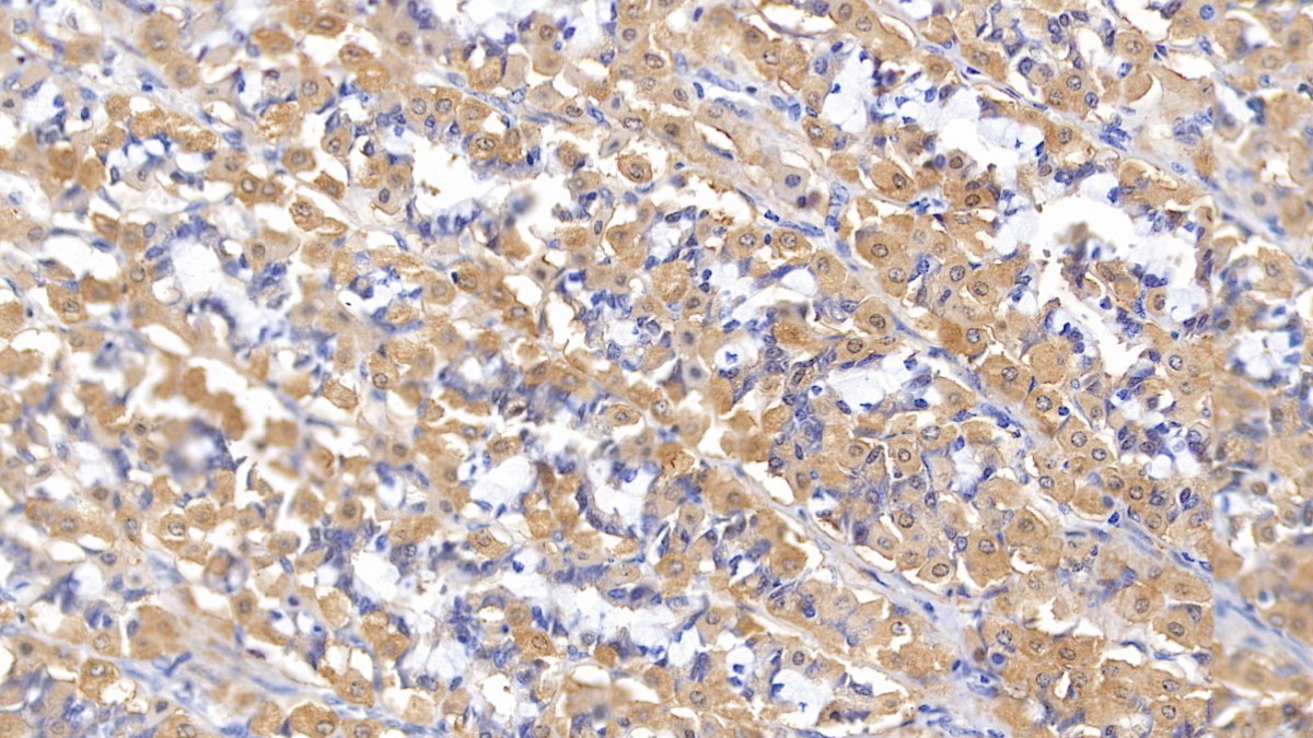
Polyclonal Antibody to Matrix Metalloproteinase 2 (MMP2) (PAA100Ra01)
Реактивность подтвержденная:
крыса
Источник (хозяин):
кролик
Валидировано для:
IHC
WB
Характеристики
Техническое описание
| Русское название | PAA100Ra01 Поликлональное антитело к MMP2 (крыса) <Cloud-Clone,Китай> |
| Каталожный номер | PAA100Ra01 |
| Название антигена | Matrix Metalloproteinase 2 (MMP2) |
| Иммуноген | RPA100Ra01-Recombinant Matrix Metalloproteinase 2 (MMP2) |
| Английские синонимы | CLG4, CLG4A, MMP-II, MONA, TBE-1, PEX, Gelatinase A, 72kDa Gelatinase, 72kDa Type IV Collagenase, MMP-2 |
| Русские синонимы | ММП2, ММП-2, Желатиназа A |
Реактивность подтвержденная Нужна другая реактивность? |
крыса |
| Реактивность предсказываемая | человек |
| Источник (хозяин) | кролик |
| Клональность | поликлональное |
| Рекомбинантное | нет |
| Готовое к использованию | нет |
| Концентрация | 500 мкг/мл |
| Конъюгат | По запросу: HRP, biotin, PerCP, PE, Cy3, FITC, Cy7, Cy5.5, PE-Cy5, PE-Cy7, PerCp-Cy5.5, APC, Cy5, PE-Cy3, PE-Cy5.5, APC-Cy7, Biotin-APC, FITC-Biotin, TRITC, APC-Cy5, AF488, AF594, AF405, AF555, AF700, AF647, AF750 |
| Валидировано для | IHC WB Иммуногистохимия; Вестерн-блоттинг |
| Рекомендуемые разведения | WB: 0.5-2 мкг/мл; IHC: 5-20 мкг/мл; ICC: 5-20 мкг/мл; Оптимальное разведение определяется конечным потребителем |
| Метод очистки | Антигенспецифическая аффинная хроматография с последующей аффинной хроматографией с белком А |
| Состав буфера | PBS, pH7.4, 0.02% NaN3, 50% глицерин |
| Условия доставки | термобокс с аккумуляторами холода |
| Условия хранения | Сразу после получения аликвотировать и хранить при -20ºС до 24 месяцев. Для частого использования хранить при +4ºС не более 2 недель. Избегать повторения циклов замерзания/оттаивания |
| Срок хранения | 24 месяца |
| Производитель | Cloud-Clone Corp. |
| Ссылка на страницу товара на сайте производителя | http://www.cloud-clone.com/products/PAA100Ra01.html |
|
Артикул
|
Наименование |
Производитель
|
|---|
|
Артикул
|
Наименование |
Производитель
|
|---|
|
Артикул
|
Наименование |
Производитель
|
|---|
|
Артикул
|
Наименование |
Производитель
|
|---|
|
Артикул
|
Наименование |
Производитель
|
|---|
|
Артикул
|
Наименование |
Производитель
|
|---|
|
Артикул
|
Наименование |
Производитель
|
|---|
|
Артикул
|
Наименование |
Производитель
|
|---|
|
Артикул
|
Наименование |
Производитель
|
|---|
|
Артикул
|
Наименование |
Производитель
|
|---|
Акции и предложения
Популярные продукты:
Polyclonal Antibody to Prostate-specific Membrane Antigen (PMSA) (PAC512Hu01)
Источник (хозяин): кролик
Реактивность подтвержденная: человек
Валидировано для: IHC, WB
Реактивность подтвержденная: человек
Валидировано для: IHC, WB
CLIA Kit for Carboxylesterase 1 (CES1) (SCC374Hu)
Организм: человек
Диапазон определения: 0.14-100 нг/мл
Чувствительность: 0.055 нг/мл
Диапазон определения: 0.14-100 нг/мл
Чувствительность: 0.055 нг/мл
Bovine Carboxylesterase 1 ELISA kit (E11C0060)
Организм: корова
Porcine Carboxylesterase 1 ELISA kit (E07C0060)
Организм: свинья
Rabbit calpain 1(CAPN1) ELISA kit (E04C1353)
Организм: кролик
Canine Glutathione ELISA kit (E08G0233)
Организм: собака

