| UNIPROT | P50280 |
| Иммуноген | RPA102Ra01-Recombinant Matrix Metalloproteinase 7 (MMP7) |
Polyclonal Antibody to Matrix Metalloproteinase 7 (MMP7) (PAA102Ra01)
Реактивность подтвержденная:
крыса
Источник (хозяин):
кролик
Валидировано для:
IHC
WB
Характеристики
Техническое описание
| Русское название | PAA102Ra01 Поликлональное антитело к MMP7 (крыса) <Cloud-Clone,Китай> |
| Каталожный номер | PAA102Ra01 |
| Название антигена | Matrix Metalloproteinase 7 (MMP7) |
| UNIPROT | P50280 |
| Иммуноген | RPA102Ra01-Recombinant Matrix Metalloproteinase 7 (MMP7) |
| Английские синонимы | MPSL1, MAT, PUMP-1, Matrilysin Uterine, Matrilysin, Matrin, Pump-1 Protease, Uterine Metalloproteinase, MMP-7 |
| Русские синонимы | ММП7, ММП-7, Матрилизин |
Реактивность подтвержденная Нужна другая реактивность? |
крыса |
| Источник (хозяин) | кролик |
| Клональность | поликлональное |
| Рекомбинантное | нет |
| Готовое к использованию | нет |
| Концентрация | 500 мкг/мл |
| Конъюгат | По запросу: HRP, biotin, PerCP, PE, Cy3, FITC, Cy7, Cy5.5, PE-Cy5, PE-Cy7, PerCp-Cy5.5, APC, Cy5, PE-Cy3, PE-Cy5.5, APC-Cy7, Biotin-APC, FITC-Biotin, TRITC, APC-Cy5, AF488, AF594, AF405, AF555, AF700, AF647, AF750 |
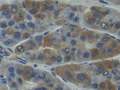
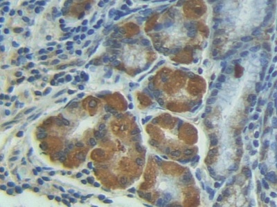
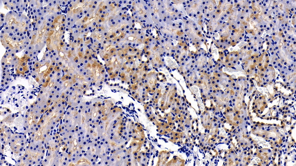
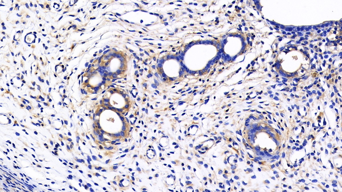
| Валидировано для | IHC WB Иммуногистохимия; Вестерн-блоттинг |
| Рекомендуемые разведения | WB: 0.5-2 мкг/мл; 1:500-2000; IHC: 5-20 мкг/мл; 1:50-200; ICC: 5-20 мкг/мл; 1:50-200; Оптимальное разведение определяется конечным потребителем |
| Метод очистки | Антигенспецифическая аффинная хроматография с последующей аффинной хроматографией с белком А |
| Состав буфера | 0.01M PBS, pH7.4, 0.05% Proclin-300, 50% глицерин |
| Условия доставки | термобокс с аккумуляторами холода |
| Условия хранения | Сразу после получения аликвотировать и хранить при -20ºС до 24 месяцев. Для частого использования хранить при +4ºС не более 2 недель. Избегать повторения циклов замерзания/оттаивания |
| Срок хранения | 24 месяца |
| Производитель | Cloud-Clone Corp. |
| Ссылка на страницу товара на сайте производителя | http://www.cloud-clone.com/products/PAA102Ra01.html |
|
Артикул
|
Наименование |
Производитель
|
|---|
|
Артикул
|
Наименование |
Производитель
|
|---|
|
Артикул
|
Наименование |
Производитель
|
|---|
|
Артикул
|
Наименование |
Производитель
|
|---|
|
Артикул
|
Наименование |
Производитель
|
|---|
|
Артикул
|
Наименование |
Производитель
|
|---|
|
Артикул
|
Наименование |
Производитель
|
|---|
Акции и предложения
Популярные продукты:
Rat exportin 6 ELISA Kit (E02X0018)
Организм: крыса
Guinea Pig Receptor Interacting Serine/threonine Kinase 3 ELISA kit (E05R0601)
Организм: морская свинка
Rat Acetyl CoA carboxylase 2(ACACB) ELISA kit (E02A1170)
Организм: крыса
Porcine Nuclear RNA Export Factor 1 ELISA kit (E07N0062)
Организм: свинья

