| UNIPROT | O70138 |
| Иммуноген | RPA103Mu01-Recombinant Matrix Metalloproteinase 8 (MMP8) |
Polyclonal Antibody to Matrix Metalloproteinase 8 (MMP8) (PAA103Mu01)
Реактивность подтвержденная:
мышь
Источник (хозяин):
кролик
Валидировано для:
IHC
WB
Характеристики
Техническое описание
| Русское название | PAA103Mu01 Поликлональное антитело к MMP8 (мышь) <Cloud-Clone,Китай> |
| Каталожный номер | PAA103Mu01 |
| Название антигена | Matrix Metalloproteinase 8 (MMP8) |
| UNIPROT | O70138 |
| Иммуноген | RPA103Mu01-Recombinant Matrix Metalloproteinase 8 (MMP8) |
| Английские синонимы | CLG2, HNC, PMNL-CL, Collagenase 2, Neutrophil Collagenase, PMNL collagenase, MMP-8 |
| Русские синонимы | ММП8, ММП-8, Нейтрофильная коллагеназа |
Реактивность подтвержденная Нужна другая реактивность? |
мышь |
| Реактивность предсказываемая | крыса |
| Источник (хозяин) | кролик |
| Клональность | поликлональное |
| Рекомбинантное | нет |
| Готовое к использованию | нет |
| Концентрация | 0.5 мг/мл |
| Конъюгат | По запросу: HRP, biotin, PerCP, PE, Cy3, FITC, Cy7, Cy5.5, PE-Cy5, PE-Cy7, PerCp-Cy5.5, APC, Cy5, PE-Cy3, PE-Cy5.5, APC-Cy7, Biotin-APC, FITC-Biotin, TRITC, APC-Cy5, AF488, AF594, AF405, AF555, AF700, AF647, AF750 |
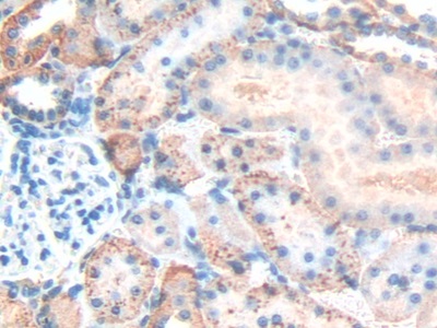
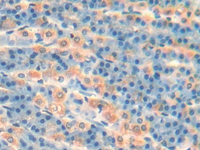
| Валидировано для | IHC WB Иммуногистохимия; Вестерн-блоттинг |
| Рекомендуемые разведения | WB: 0.2-2 мкг/мл; 1:250-2500; IHC: 5-20 мкг/мл; 1:25-100; ICC: 5-20 мкг/мл; 1:25-100; Оптимальное разведение определяется конечным потребителем |
| Метод очистки | Антигенспецифическая аффинная хроматография с последующей аффинной хроматографией с белком А |
| Состав буфера | 0.01M PBS, pH7.4, 0.05% Proclin-300, 50% глицерин |
| Условия доставки | термобокс с аккумуляторами холода |
| Условия хранения | Сразу после получения аликвотировать и хранить при -20ºС до 24 месяцев. Для частого использования хранить при +4ºС не более 2 недель. Избегать повторения циклов замерзания/оттаивания |
| Срок хранения | 24 месяца |
| Производитель | Cloud-Clone Corp. |
| Ссылка на страницу товара на сайте производителя | http://www.cloud-clone.com/products/PAA103Mu01.html |
|
Артикул
|
Наименование |
Производитель
|
|---|
|
Артикул
|
Наименование |
Производитель
|
|---|
|
Артикул
|
Наименование |
Производитель
|
|---|
|
Артикул
|
Наименование |
Производитель
|
|---|
|
Артикул
|
Наименование |
Производитель
|
|---|
Акции и предложения
Популярные продукты:
Chicken AKT interacting protein(AKTIP) ELISA kit (E12A1379)
Организм: курица
Canine cluster of differentiation 45(CD45) ELISA kit (E08C2410)
Организм: собака
Sheep Vasoactive intestinal peptide ELISA kit (E14V0037)
Организм: овца
Bovine Vasoactive intestinal peptide ELISA kit (E11V0037)
Организм: корова
Anti-Clostridium botulinum botA/BOTOX Nanobody (SAA0936) (RXX00916)
Источник (хозяин): альпака
Реактивность подтвержденная: бактерии
Валидировано для: ELISA
Реактивность подтвержденная: бактерии
Валидировано для: ELISA
GAP43 Polyclonal Antibody (E-AB-61918)
Источник (хозяин): кролик
Реактивность подтвержденная: человек, мышь, крыса
Валидировано для: WB
Реактивность подтвержденная: человек, мышь, крыса
Валидировано для: WB

