| UNIPROT | P50282 |
| Иммуноген | RPA553Ra01-Recombinant Matrix Metalloproteinase 9 (MMP9) |
Polyclonal Antibody to Matrix Metalloproteinase 9 (MMP9) (PAA553Ra01)
Реактивность подтвержденная:
крыса
Источник (хозяин):
кролик
Валидировано для:
IHC
WB
Характеристики
Публикации
Техническое описание
| Русское название | PAA553Ra01 Поликлональное антитело к MMP9 (крыса) <Cloud-Clone,Китай> |
| Каталожный номер | PAA553Ra01 |
| Название антигена | Matrix Metalloproteinase 9 (MMP9) |
| UNIPROT | P50282 |
| Иммуноген | RPA553Ra01-Recombinant Matrix Metalloproteinase 9 (MMP9) |
| Английские синонимы | GELB, Gelatinase B, CLG4B, CLG4-B, 92 KDa Gelatinase, 92kDa Type IV Collagenase, MMP-9 |
| Русские синонимы | ММП9, ММП-9, Желатиназа В |
Реактивность подтвержденная Нужна другая реактивность? |
крыса |
| Реактивность предсказываемая | человек |
| Источник (хозяин) | кролик |
| Клональность | поликлональное |
| Рекомбинантное | нет |
| Готовое к использованию | нет |
| Концентрация | 0.5 мг/мл |
| Конъюгат | По запросу: HRP, biotin, PerCP, PE, Cy3, FITC, Cy7, Cy5.5, PE-Cy5, PE-Cy7, PerCp-Cy5.5, APC, Cy5, PE-Cy3, PE-Cy5.5, APC-Cy7, Biotin-APC, FITC-Biotin, TRITC, APC-Cy5, AF488, AF594, AF405, AF555, AF700, AF647, AF750 |
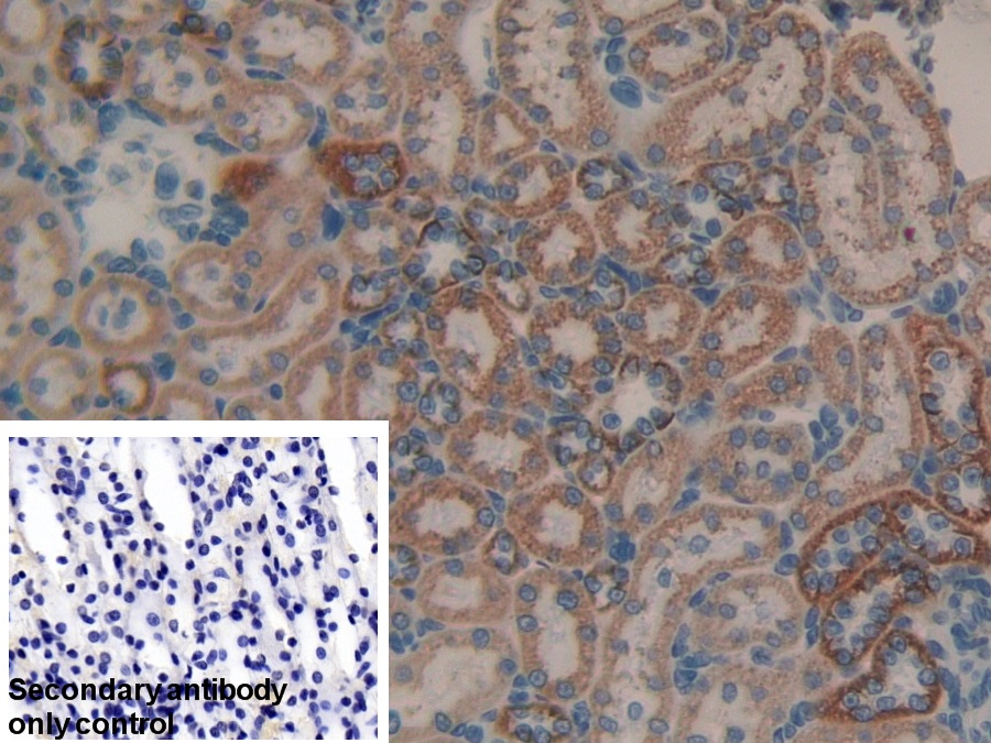
| Валидировано для | IHC WB Иммуногистохимия; Вестерн-блоттинг |
| Рекомендуемые разведения | WB: 0.01-2 мкг/мл; IHC: 5-20 мкг/мл; Оптимальное разведение определяется конечным потребителем |
| Метод очистки | Антигенспецифическая аффинная хроматография с последующей аффинной хроматографией с белком А |
| Состав буфера | 0.01M PBS, pH7.4, 0.05% Proclin-300, 50% глицерин |
| Условия доставки | термобокс с аккумуляторами холода |
| Условия хранения | Сразу после получения аликвотировать и хранить при -20ºС до 24 месяцев. Для частого использования хранить при +4ºС не более 2 недель. Избегать повторения циклов замерзания/оттаивания |
| Срок хранения | 24 месяца |
| Производитель | Cloud-Clone Corp. |
| Ссылка на страницу товара на сайте производителя | http://www.cloud-clone.com/products/PAA553Ra01.html |
|
Артикул
|
Наименование |
Производитель
|
|---|
|
Артикул
|
Наименование |
Производитель
|
|---|
|
Артикул
|
Наименование |
Производитель
|
|---|
|
Артикул
|
Наименование |
Производитель
|
|---|
|
Артикул
|
Наименование |
Производитель
|
|---|
|
Артикул
|
Наименование |
Производитель
|
|---|
|
Артикул
|
Наименование |
Производитель
|
|---|
|
Артикул
|
Наименование |
Производитель
|
|---|
|
Артикул
|
Наименование |
Производитель
|
|---|
|
Артикул
|
Наименование |
Производитель
|
|---|
|
Артикул
|
Наименование |
Производитель
|
|---|
|
Артикул
|
Наименование |
Производитель
|
|---|
|
Артикул
|
Наименование |
Производитель
|
|---|
|
Артикул
|
Наименование |
Производитель
|
|---|
Акции и предложения
Популярные продукты:
Guinea Pig Anti Calmodulin specific antibody ELISA kit (E05C0681)
Организм: морская свинка
Guinea Pig Matrix metalloproteinase 9 ELISA kit (E05M0329)
Организм: морская свинка
Multiplex Assay Kit for Matrix Metalloproteinase 9 (MMP9) (LMA553Eq)
Организм: лошадь
Диапазон определения: 0.01-10 нг/мл
Чувствительность: 0.003 нг/мл
Диапазон определения: 0.01-10 нг/мл
Чувствительность: 0.003 нг/мл
Polyclonal Antibody to Toll Like Receptor 9 (TLR9) (PAA709Rb01)
Источник (хозяин): кролик
Реактивность подтвержденная: кролик
Валидировано для: ICC, IHC, WB
Реактивность подтвержденная: кролик
Валидировано для: ICC, IHC, WB

