| UNIPROT | Q9NZW5 |
| Иммуноген | RPA700Hu01-Recombinant Membrane Protein, Palmitoylated 6 (MPP6) |
Polyclonal Antibody to Membrane Protein, Palmitoylated 6 (MPP6) (PAA700Hu01)
Реактивность подтвержденная:
человек
Источник (хозяин):
кролик
Валидировано для:
IHC
WB
Характеристики
Техническое описание
| Русское название | PAA700Hu01 Поликлональное антитело к MPP6 (человек) <Cloud-Clone,Китай> |
| Каталожный номер | PAA700Hu01 |
| Название антигена | Membrane Protein, Palmitoylated 6 (MPP6) |
| UNIPROT | Q9NZW5 |
| Иммуноген | RPA700Hu01-Recombinant Membrane Protein, Palmitoylated 6 (MPP6) |
| Английские синонимы | PALS2, VAM1, P55T, MAGUK P55 Subfamily Member 6, Veli-associated MAGUK 1 |
Реактивность подтвержденная Нужна другая реактивность? |
человек |
| Реактивность предсказываемая | мышь, крыса, свинья |
| Источник (хозяин) | кролик |
| Клональность | поликлональное |
| Рекомбинантное | нет |
| Готовое к использованию | нет |
| Концентрация | 500 мкг/мл |
| Конъюгат | По запросу: HRP, biotin, PerCP, PE, Cy3, FITC, Cy7, Cy5.5, PE-Cy5, PE-Cy7, PerCp-Cy5.5, APC, Cy5, PE-Cy3, PE-Cy5.5, APC-Cy7, Biotin-APC, FITC-Biotin, TRITC, APC-Cy5, AF488, AF594, AF405, AF555, AF700, AF647, AF750 |
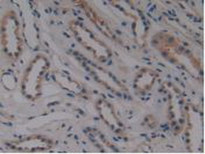
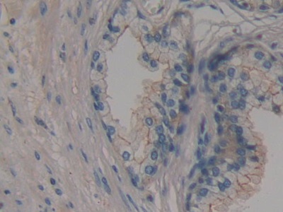
| Валидировано для | IHC WB Иммуногистохимия; Вестерн-блоттинг |
| Рекомендуемые разведения | WB: 0.5-2 мкг/мл; IHC: 5-20 мкг/мл; ICC: 5-20 мкг/мл; Оптимальное разведение определяется конечным потребителем |
| Метод очистки | Антигенспецифическая аффинная хроматография с последующей аффинной хроматографией с белком А |
| Состав буфера | 0.01M PBS, pH7.4, 0.05% Proclin-300, 50% глицерин |
| Условия доставки | термобокс с аккумуляторами холода |
| Условия хранения | Сразу после получения аликвотировать и хранить при -20ºС до 24 месяцев. Для частого использования хранить при +4ºС не более 2 недель. Избегать повторения циклов замерзания/оттаивания |
| Срок хранения | 24 месяца |
| Производитель | Cloud-Clone Corp. |
| Ссылка на страницу товара на сайте производителя | http://www.cloud-clone.com/products/PAA700Hu01.html |
|
Артикул
|
Наименование |
Производитель
|
|---|
|
Артикул
|
Наименование |
Производитель
|
|---|
|
Артикул
|
Наименование |
Производитель
|
|---|
|
Артикул
|
Наименование |
Производитель
|
|---|
Акции и предложения
Популярные продукты:
Guinea Pig Inter Alpha trypsin inhibitor heavy chain H2(ITIH2) ELISA kit (E05I0446)
Организм: морская свинка
Guinea Pig Hyaluronan Binding Protein 2 ELISA kit (E05H1456)
Организм: морская свинка
Goat Heat Shock Protein 70 ELISA kit (E06H0022)
Организм: коза
Диапазон определения: 0.5-10 нг/мл
Чувствительность: 0.1 нг/мл
Диапазон определения: 0.5-10 нг/мл
Чувствительность: 0.1 нг/мл
Anti-Human EP300 IP Antibody (SAA0246) (RHG20701)
Источник (хозяин): мышь
Реактивность подтвержденная: человек
Валидировано для: ELISA, IF, IP
Реактивность подтвержденная: человек
Валидировано для: ELISA, IF, IP
Recombinant Human ATXN1 Protein, N-His (YHF02501)
Источник (хозяин): E.coli
Организм: человек
Фрагмент: Thr569-Ile807
Теги: N-His
Биоактивность: нет
Организм: человек
Фрагмент: Thr569-Ile807
Теги: N-His
Биоактивность: нет

