| UNIPROT | O60502 |
| Иммуноген | RPA069Hu02-Recombinant Meningioma Expressed Antigen 5 (MGEA5) |
Polyclonal Antibody to Meningioma Expressed Antigen 5 (MGEA5) (PAA069Hu02)
Реактивность подтвержденная:
человек
Источник (хозяин):
кролик
Валидировано для:
IHC
Характеристики
Техническое описание
| Русское название | PAA069Hu02 Поликлональное антитело к MGEA5 (человек) <Cloud-Clone,Китай> |
| Каталожный номер | PAA069Hu02 |
| Название антигена | N-Acetyl Beta-D-Glucosaminidase (NAGase) |
| UNIPROT | O60502 |
| Иммуноген | RPA069Hu02-Recombinant Meningioma Expressed Antigen 5 (MGEA5) |
| Английские синонимы | MGEA5, MEA5, NCOAT, Hexosaminidase C, N-Acetylhexosaminidase, Hyaluronidase, Meningioma-Expressed Antigen 5, Nuclear Cytoplasmic O-GlcNAcase And Acetyltransferase |
Реактивность подтвержденная Нужна другая реактивность? |
человек |
| Реактивность предсказываемая | мышь |
| Источник (хозяин) | кролик |
| Клональность | поликлональное |
| Рекомбинантное | нет |
| Готовое к использованию | нет |
| Концентрация | 0.45 мг/мл |
| Конъюгат | По запросу: HRP, biotin, PerCP, PE, Cy3, FITC, Cy7, Cy5.5, PE-Cy5, PE-Cy7, PerCp-Cy5.5, APC, Cy5, PE-Cy3, PE-Cy5.5, APC-Cy7, Biotin-APC, FITC-Biotin, TRITC, APC-Cy5, AF488, AF594, AF405, AF555, AF700, AF647, AF750 |
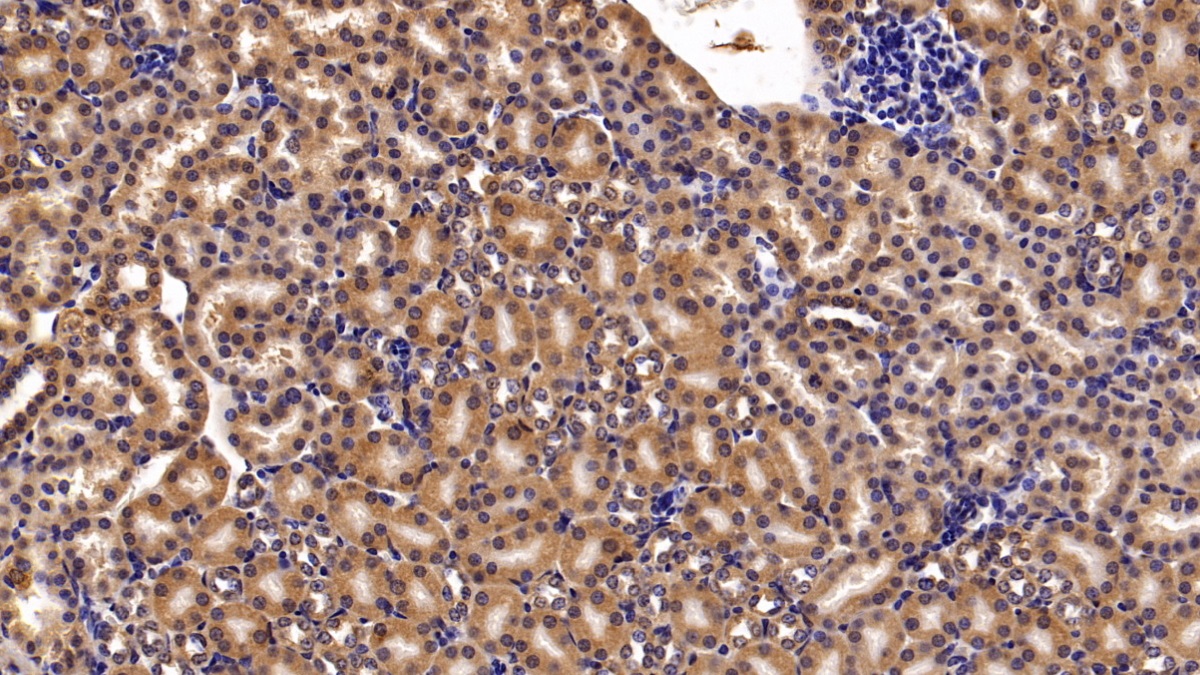
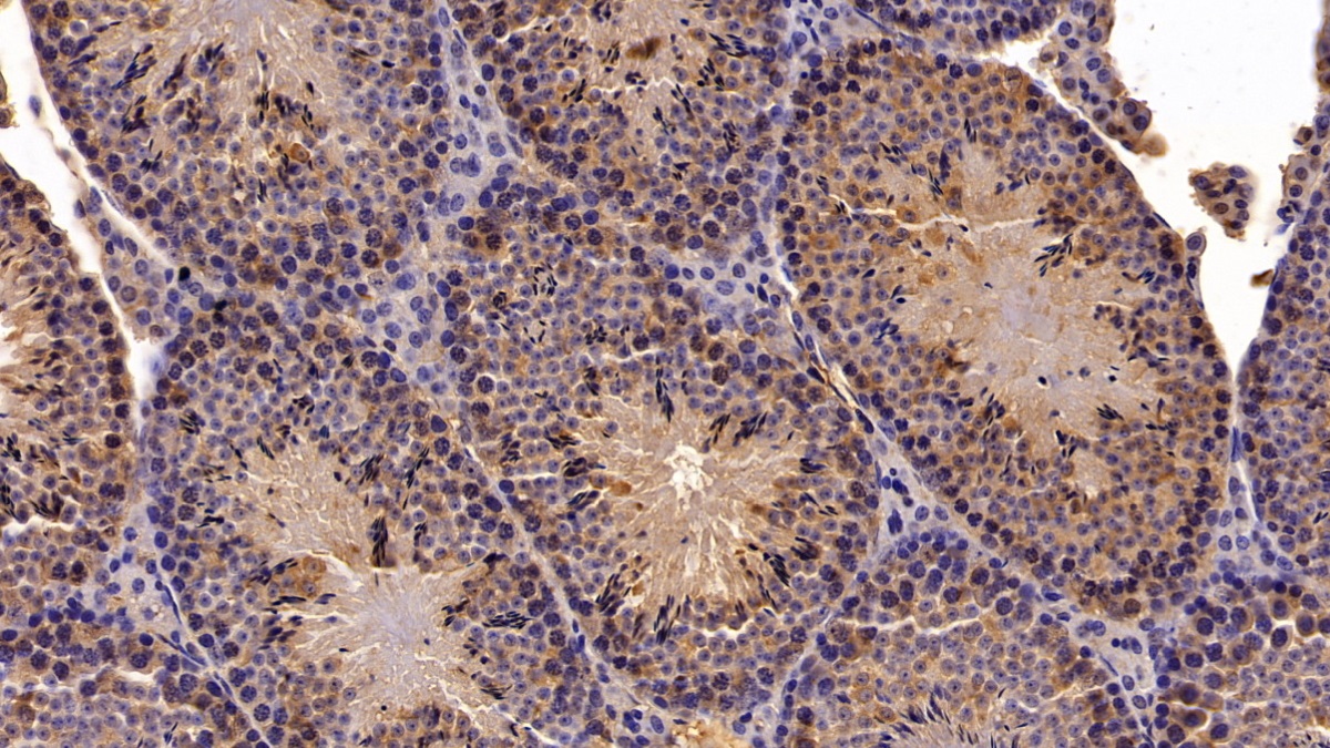
| Валидировано для | IHC Иммуногистохимия |
| Рекомендуемые разведения | WB: 0.01-2 мкг/мл; IHC: 5-20 мкг/мл; ICC: 5-20 мкг/мл; Оптимальное разведение определяется конечным потребителем |
| Метод очистки | Антигенспецифическая аффинная хроматография с последующей аффинной хроматографией с белком А |
| Состав буфера | 0.01M PBS, pH7.4, 0.05% Proclin-300, 50% глицерин |
| Условия доставки | термобокс с аккумуляторами холода |
| Условия хранения | Сразу после получения аликвотировать и хранить при -20ºС до 24 месяцев. Для частого использования хранить при +4ºС не более 2 недель. Избегать повторения циклов замерзания/оттаивания |
| Срок хранения | 24 месяца |
| Производитель | Cloud-Clone Corp. |
| Ссылка на страницу товара на сайте производителя | http://www.cloud-clone.com/products/PAA069Hu02.html |
|
Артикул
|
Наименование |
Производитель
|
|---|
|
Артикул
|
Наименование |
Производитель
|
|---|
|
Артикул
|
Наименование |
Производитель
|
|---|
|
Артикул
|
Наименование |
Производитель
|
|---|
|
Артикул
|
Наименование |
Производитель
|
|---|
|
Артикул
|
Наименование |
Производитель
|
|---|
|
Артикул
|
Наименование |
Производитель
|
|---|
Акции и предложения
Популярные продукты:
Anti-HPV16/18 E7/Protein E7 Antibody (R4D96) (RVV08911)
Источник (хозяин): мышь
Реактивность подтвержденная: вирусы
Валидировано для: ELISA
Реактивность подтвержденная: вирусы
Валидировано для: ELISA
Anti-HPV16 E6/Protein E6 Polyclonal Antibody (PVV09002)
Источник (хозяин): кролик
Реактивность подтвержденная: вирусы
Валидировано для: ELISA, IHC, WB
Реактивность подтвержденная: вирусы
Валидировано для: ELISA, IHC, WB
Anti-HPV16 E6/Protein E6 Antibody (R4D94) (RVV09005)
Источник (хозяин): мышь
Реактивность подтвержденная: вирусы
Валидировано для: ELISA
Реактивность подтвержденная: вирусы
Валидировано для: ELISA
HPV16/18 E7/Protein E7 ELISA Kit (KVV08903)
Организм: вирусы
Диапазон определения: 15.63 - 1,000 пг/мл
Чувствительность: 8.28 пг/мл
Диапазон определения: 15.63 - 1,000 пг/мл
Чувствительность: 8.28 пг/мл
ELISA Kit DIY Materials for Small Breast Epithelial Mucin (SBEM) (KSB840Hu01)
Организм: человек
Диапазон определения: 0.312-20 нг/мл
Чувствительность: 0.127 нг/мл
Диапазон определения: 0.312-20 нг/мл
Чувствительность: 0.127 нг/мл
ELISA Kit DIY Materials for A Disintegrin And Metalloproteinase With Thrombospondin 5 (ADAMTS5) (KSK205Ra01)
Организм: крыса
Диапазон определения: 0.312-20 нг/мл
Чувствительность: 0.116 нг/мл
Диапазон определения: 0.312-20 нг/мл
Чувствительность: 0.116 нг/мл

