| UNIPROT | Q9EQQ9 |
| Иммуноген | RPA069Mu01-Recombinant Meningioma Expressed Antigen 5 (MGEA5) |
Polyclonal Antibody to Meningioma Expressed Antigen 5 (MGEA5) (PAA069Mu01)
Реактивность подтвержденная:
мышь
Источник (хозяин):
кролик
Валидировано для:
IHC
Характеристики
Техническое описание
| Русское название | PAA069Mu01 Поликлональное антитело к MGEA5 (мышь) <Cloud-Clone,Китай> |
| Каталожный номер | PAA069Mu01 |
| Название антигена | N-Acetyl Beta-D-Glucosaminidase (NAGase) |
| UNIPROT | Q9EQQ9 |
| Иммуноген | RPA069Mu01-Recombinant Meningioma Expressed Antigen 5 (MGEA5) |
| Английские синонимы | MGEA5, MEA5, NCOAT, Hexosaminidase C, N-Acetylhexosaminidase, Hyaluronidase, Meningioma-Expressed Antigen 5, Nuclear Cytoplasmic O-GlcNAcase And Acetyltransferase |
Реактивность подтвержденная Нужна другая реактивность? |
мышь |
| Реактивность предсказываемая | человек, крыса |
| Источник (хозяин) | кролик |
| Клональность | поликлональное |
| Рекомбинантное | нет |
| Готовое к использованию | нет |
| Концентрация | 0.71 мг/мл |
| Конъюгат | По запросу: HRP, biotin, PerCP, PE, Cy3, FITC, Cy7, Cy5.5, PE-Cy5, PE-Cy7, PerCp-Cy5.5, APC, Cy5, PE-Cy3, PE-Cy5.5, APC-Cy7, Biotin-APC, FITC-Biotin, TRITC, APC-Cy5, AF488, AF594, AF405, AF555, AF700, AF647, AF750 |
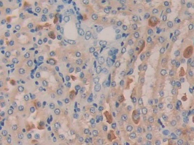
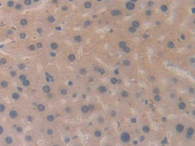
| Валидировано для | IHC Иммуногистохимия |
| Рекомендуемые разведения | WB: 0.5-3 мкг/мл; IHC: 5-30 мкг/мл; ICC: 5-30 мкг/мл; Оптимальное разведение определяется конечным потребителем |
| Метод очистки | Антигенспецифическая аффинная хроматография с последующей аффинной хроматографией с белком А |
| Состав буфера | PBS, pH7.4, 0.02% NaN3, 50% глицерин |
| Условия доставки | термобокс с аккумуляторами холода |
| Условия хранения | Сразу после получения аликвотировать и хранить при -20ºС до 24 месяцев. Для частого использования хранить при +4ºС не более 2 недель. Избегать повторения циклов замерзания/оттаивания |
| Срок хранения | 24 месяца |
| Производитель | Cloud-Clone Corp. |
| Ссылка на страницу товара на сайте производителя | http://www.cloud-clone.com/products/PAA069Mu01.html |
|
Артикул
|
Наименование |
Производитель
|
|---|
|
Артикул
|
Наименование |
Производитель
|
|---|
|
Артикул
|
Наименование |
Производитель
|
|---|
|
Артикул
|
Наименование |
Производитель
|
|---|
|
Артикул
|
Наименование |
Производитель
|
|---|
|
Артикул
|
Наименование |
Производитель
|
|---|
|
Артикул
|
Наименование |
Производитель
|
|---|
Акции и предложения
Популярные продукты:
Porcine Zinc finger protein neuro d4(DPF1) ELISA kit (E07Z0006)
Организм: свинья
Guinea Pig Alpha 1,3/1,6 mannosyltransferase ALG2(ALG2) ELISA kit (E05A1390)
Организм: морская свинка
Porcine GTPase NRas(NRAS) ELISA kit (E07G0453)
Организм: свинья
Monkey Jun Dimerization Protein 2 ELISA kit (E09J0010)
Организм: обезьяна

