| UNIPROT | Q16819 |
| Иммуноген | RPA171Hu01-Recombinant Meprin A Alpha (MEP1a) |
Polyclonal Antibody to Meprin A Alpha (MEP1a) (PAA171Hu01)
Реактивность подтвержденная:
человек
Источник (хозяин):
кролик
Валидировано для:
IHC
WB
Характеристики
Техническое описание
| Русское название | PAA171Hu01 Поликлональное антитело к MEP1a (человек) <Cloud-Clone,Китай> |
| Каталожный номер | PAA171Hu01 |
| Название антигена | Meprin A Alpha (MEP1a) |
| UNIPROT | Q16819 |
| Иммуноген | RPA171Hu01-Recombinant Meprin A Alpha (MEP1a) |
| Английские синонимы | PPHA, PABA Peptide Hydrolase, Endopeptidase-2, N-benzoyl-L-tyrosyl-P-amino-Benzoic Acid Hydrolase Subunit Alpha |
Реактивность подтвержденная Нужна другая реактивность? |
человек |
| Реактивность предсказываемая | мышь, крыса |
| Источник (хозяин) | кролик |
| Клональность | поликлональное |
| Рекомбинантное | нет |
| Готовое к использованию | нет |
| Концентрация | 0.32 мг/мл |
| Конъюгат | По запросу: HRP, biotin, PerCP, PE, Cy3, FITC, Cy7, Cy5.5, PE-Cy5, PE-Cy7, PerCp-Cy5.5, APC, Cy5, PE-Cy3, PE-Cy5.5, APC-Cy7, Biotin-APC, FITC-Biotin, TRITC, APC-Cy5, AF488, AF594, AF405, AF555, AF700, AF647, AF750 |
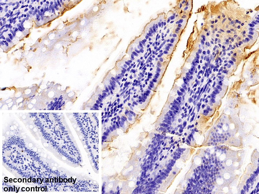
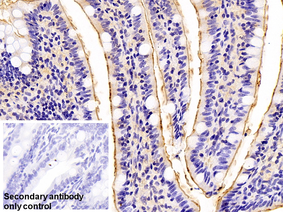
| Валидировано для | IHC WB Иммуногистохимия; Вестерн-блоттинг |
| Рекомендуемые разведения | WB: 0.01-2 мкг/мл; IHC: 5-20 мкг/мл; ICC: 5-20 мкг/мл; Оптимальное разведение определяется конечным потребителем |
| Метод очистки | Антигенспецифическая аффинная хроматография с последующей аффинной хроматографией с белком А |
| Состав буфера | PBS, pH7.4, 0.02% NaN3, 50% глицерин |
| Условия доставки | термобокс с аккумуляторами холода |
| Условия хранения | Сразу после получения аликвотировать и хранить при -20ºС до 24 месяцев. Для частого использования хранить при +4ºС не более 2 недель. Избегать повторения циклов замерзания/оттаивания |
| Срок хранения | 24 месяца |
| Производитель | Cloud-Clone Corp. |
| Ссылка на страницу товара на сайте производителя | http://www.cloud-clone.com/products/PAA171Hu01.html |
|
Артикул
|
Наименование |
Производитель
|
|---|
|
Артикул
|
Наименование |
Производитель
|
|---|
Акции и предложения
Популярные продукты:
ELISA Kit DIY Materials for Glutaminyl Peptide Cyclotransferase (QPCT) (KSH274Hu01)
Организм: человек
Диапазон определения: 0.156-10 нг/мл
Чувствительность: 0.057 нг/мл
Диапазон определения: 0.156-10 нг/мл
Чувствительность: 0.057 нг/мл
Anti-HPIV3 NP/Nucleoprotein Antibody (SAb2371) (RVV42401)
Источник (хозяин): мышь
Реактивность подтвержденная: вирусы
Валидировано для: ELISA
Реактивность подтвержденная: вирусы
Валидировано для: ELISA
Anti-Cyclophilin A (CYPA) Polyclonal Antibody (FAA979Bo01)
Источник (хозяин): кролик
Реактивность подтвержденная: корова
Валидировано для: FCM
Реактивность подтвержденная: корова
Валидировано для: FCM
Anti-Vitamin D Binding Protein (DBP) Monoclonal Antibody (FAB810Ra06)
Источник (хозяин): мышь
Реактивность подтвержденная: крыса
Валидировано для: FCM
Реактивность подтвержденная: крыса
Валидировано для: FCM
Anti-FK506 Binding Protein Like Protein (FKBPL) Polyclonal Antibody (FAL523Mu01)
Источник (хозяин): кролик
Реактивность подтвержденная: мышь
Валидировано для: FCM
Реактивность подтвержденная: мышь
Валидировано для: FCM
ELISA Kit DIY Materials for S100 Calcium Binding Protein A12 (S100A12) (KSB080Bo01)
Организм: корова
Диапазон определения: 78-5000 пг/мл
Чувствительность: 31 пг/мл
Диапазон определения: 78-5000 пг/мл
Чувствительность: 31 пг/мл

