| UNIPROT | Q8K4B0 |
| Иммуноген | RPC630Mu01-Recombinant Metastasis Associated Protein 1 (MTA1) |
Polyclonal Antibody to Metastasis Associated Protein 1 (MTA1) (PAC630Mu01)
Реактивность подтвержденная:
мышь
Источник (хозяин):
кролик
Валидировано для:
IHC
Характеристики
Техническое описание
| Русское название | PAC630Mu01 Поликлональное антитело к MTA1 (мышь) <Cloud-Clone,Китай> |
| Каталожный номер | PAC630Mu01 |
| Название антигена | Metastasis Associated Protein 1 (MTA1) |
| UNIPROT | Q8K4B0 |
| Иммуноген | RPC630Mu01-Recombinant Metastasis Associated Protein 1 (MTA1) |
Реактивность подтвержденная Нужна другая реактивность? |
мышь |
| Реактивность предсказываемая | человек, крыса |
| Источник (хозяин) | кролик |
| Клональность | поликлональное |
| Рекомбинантное | нет |
| Готовое к использованию | нет |
| Концентрация | 500 мкг/мл |
| Конъюгат | По запросу: HRP, biotin, PerCP, PE, Cy3, FITC, Cy7, Cy5.5, PE-Cy5, PE-Cy7, PerCp-Cy5.5, APC, Cy5, PE-Cy3, PE-Cy5.5, APC-Cy7, Biotin-APC, FITC-Biotin, TRITC, APC-Cy5, AF488, AF594, AF405, AF555, AF700, AF647, AF750 |
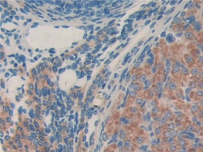
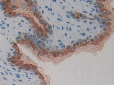
| Валидировано для | IHC Иммуногистохимия |
| Рекомендуемые разведения | WB: 0.2-2 мкг/мл; 1:250-2500; IHC: 5-20 мкг/мл; 1:25-100; ICC: 5-20 мкг/мл; 1:25-100; Оптимальное разведение определяется конечным потребителем |
| Метод очистки | Антигенспецифическая аффинная хроматография с последующей аффинной хроматографией с белком А |
| Состав буфера | 0.01M PBS, pH7.4, 0.05% Proclin-300, 50% глицерин |
| Условия доставки | термобокс с аккумуляторами холода |
| Условия хранения | Сразу после получения аликвотировать и хранить при -20ºС до 24 месяцев. Для частого использования хранить при +4ºС не более 2 недель. Избегать повторения циклов замерзания/оттаивания |
| Срок хранения | 24 месяца |
| Производитель | Cloud-Clone Corp. |
| Ссылка на страницу товара на сайте производителя | http://www.cloud-clone.com/products/PAC630Mu01.html |
|
Артикул
|
Наименование |
Производитель
|
|---|
|
Артикул
|
Наименование |
Производитель
|
|---|
|
Артикул
|
Наименование |
Производитель
|
|---|
Акции и предложения
Популярные продукты:
Sheep Glucosidase Alpha, Neutral C ELISA kit (E14G0582)
Организм: овца
Goat Glucosidase Alpha, Neutral C ELISA kit (E06G0582)
Организм: коза
Rat Glucosidase Alpha, Neutral C ELISA kit (E02G0582)
Организм: крыса
Rat Gap Junction Protein β 1 ELISA kit (E02G0181)
Организм: крыса
Bovine Carnosine ELISA kit (E11C0361)
Организм: корова
Goat Ornithine Decarboxylase ELISA kit (E06O0013)
Организм: коза

