| UNIPROT | P31153 |
| Иммуноген | RPG469Hu01-Recombinant Methionine Adenosyltransferase II Alpha (MAT2a) |
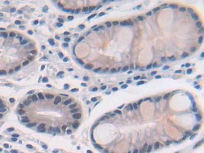
Polyclonal Antibody to Methionine Adenosyltransferase II Alpha (MAT2a) (PAG469Hu01)
Реактивность подтвержденная:
человек
Источник (хозяин):
кролик
Валидировано для:
IHC
WB
Характеристики
Техническое описание
| Русское название | PAG469Hu01 Поликлональное антитело к MAT2a (человек) <Cloud-Clone,Китай> |
| Каталожный номер | PAG469Hu01 |
| Название антигена | Methionine Adenosyltransferase II Alpha (MAT2a) |
| UNIPROT | P31153 |
| Иммуноген | RPG469Hu01-Recombinant Methionine Adenosyltransferase II Alpha (MAT2a) |
| Английские синонимы | SAMS2, MATA2, AMS2, MATII, S-adenosylmethionine synthase isoform type-2 |
Реактивность подтвержденная Нужна другая реактивность? |
человек |
| Источник (хозяин) | кролик |
| Клональность | поликлональное |
| Рекомбинантное | нет |
| Готовое к использованию | нет |
| Концентрация | 0.5 мг/мл |
| Конъюгат | По запросу: HRP, biotin, PerCP, PE, Cy3, FITC, Cy7, Cy5.5, PE-Cy5, PE-Cy7, PerCp-Cy5.5, APC, Cy5, PE-Cy3, PE-Cy5.5, APC-Cy7, Biotin-APC, FITC-Biotin, TRITC, APC-Cy5, AF488, AF594, AF405, AF555, AF700, AF647, AF750 |
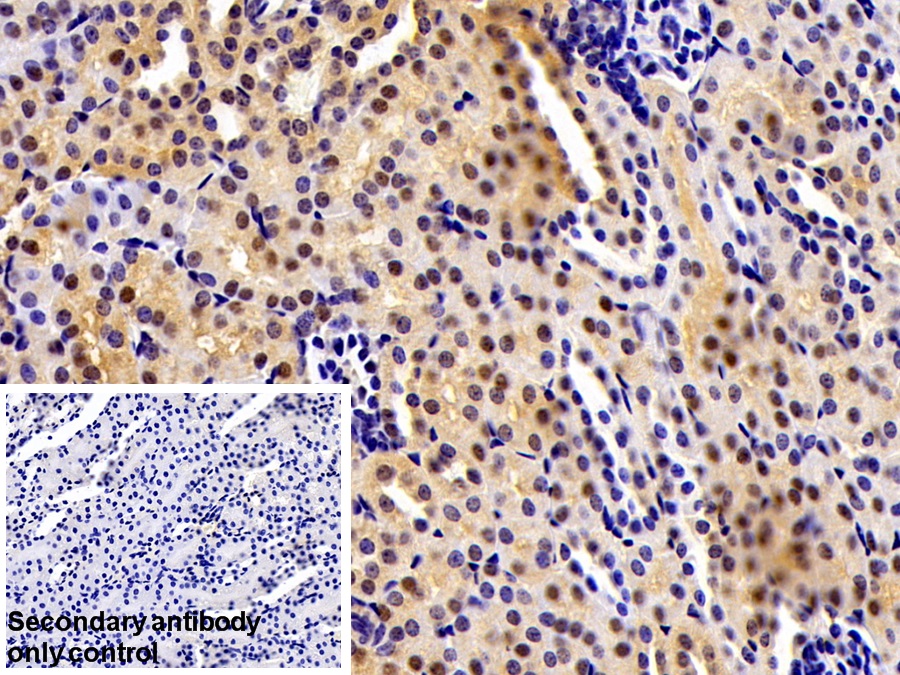
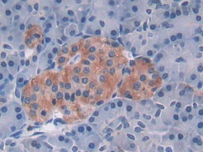
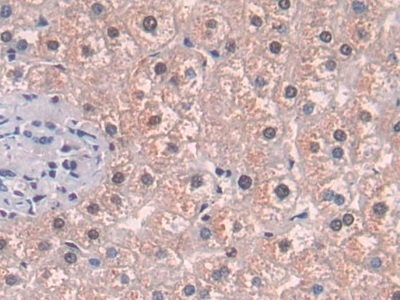
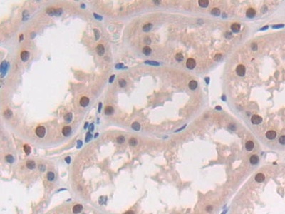
| Валидировано для | IHC WB Иммуногистохимия; Вестерн-блоттинг |
| Рекомендуемые разведения | WB: 0.5-3 мкг/мл; IHC: 5-30 мкг/мл; IF: 5-20 мкг/мл; Оптимальное разведение определяется конечным потребителем |
| Метод очистки | Антигенспецифическая аффинная хроматография с последующей аффинной хроматографией с белком А |
| Состав буфера | 0.01M PBS, pH7.4, 0.05% Proclin-300, 50% глицерин |
| Условия доставки | термобокс с аккумуляторами холода |
| Условия хранения | Сразу после получения аликвотировать и хранить при -20ºС до 24 месяцев. Для частого использования хранить при +4ºС не более 2 недель. Избегать повторения циклов замерзания/оттаивания |
| Срок хранения | 24 месяца |
| Производитель | Cloud-Clone Corp. |
| Ссылка на страницу товара на сайте производителя | http://www.cloud-clone.com/products/PAG469Hu01.html |
|
Артикул
|
Наименование |
Производитель
|
|---|
|
Артикул
|
Наименование |
Производитель
|
|---|
|
Артикул
|
Наименование |
Производитель
|
|---|
Акции и предложения
Популярные продукты:
Sheep 14 3 3 protein epsilon(YWHAE) ELISA kit (E14P0211)
Организм: овца
Rat Prostaglandin reductase 1(PTGR1) ELISA kit (E02P0881)
Организм: крыса
Porcine Hexokinase 2 ELISA kit (E07H1249)
Организм: свинья
Rabbit Centromere Protein E ELISA kit (E04C0648)
Организм: кролик
Anti-MECP2 Antibody (N227/11) (RHE84001)
Источник (хозяин): мышь
Реактивность подтвержденная: для всех
Валидировано для: IHC, WB
Реактивность подтвержденная: для всех
Валидировано для: IHC, WB
Anti-MAP3K14 Antibody (R2T16) (RHN05602)
Источник (хозяин): мышь
Реактивность подтвержденная: человек
Валидировано для: ELISA, FCM, IHC
Реактивность подтвержденная: человек
Валидировано для: ELISA, FCM, IHC

