| UNIPROT | P56192 |
| Иммуноген | RPD005Hu01-Recombinant Methionyl tRNA Synthetase (MARS) |
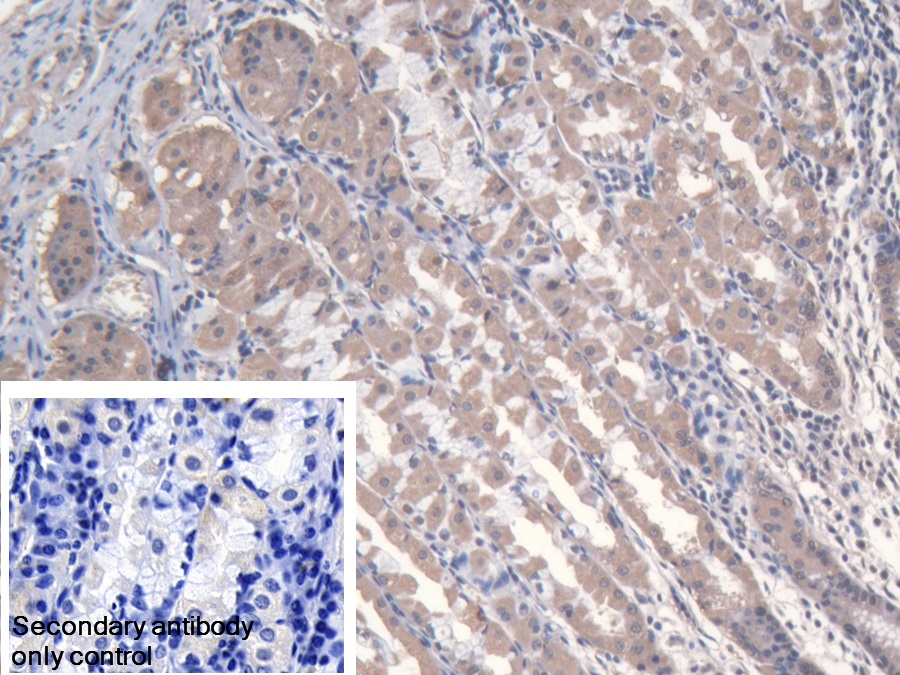
Polyclonal Antibody to Methionyl tRNA Synthetase (MARS) (PAD005Hu01)
Реактивность подтвержденная:
человек
Источник (хозяин):
кролик
Валидировано для:
IHC
WB
Характеристики
Техническое описание
| Русское название | PAD005Hu01 Поликлональное антитело к MARS (человек) <Cloud-Clone,Китай> |
| Каталожный номер | PAD005Hu01 |
| Название антигена | Methionyl tRNA Synthetase (MARS) |
| UNIPROT | P56192 |
| Иммуноген | RPD005Hu01-Recombinant Methionyl tRNA Synthetase (MARS) |
| Английские синонимы | METRS, MTRNS, MetRS, Methionine tRNA Ligase 1,Cytoplasmic |
Реактивность подтвержденная Нужна другая реактивность? |
человек |
| Источник (хозяин) | кролик |
| Клональность | поликлональное |
| Рекомбинантное | нет |
| Готовое к использованию | нет |
| Концентрация | 500 мкг/мл |
| Конъюгат | По запросу: HRP, biotin, PerCP, PE, Cy3, FITC, Cy7, Cy5.5, PE-Cy5, PE-Cy7, PerCp-Cy5.5, APC, Cy5, PE-Cy3, PE-Cy5.5, APC-Cy7, Biotin-APC, FITC-Biotin, TRITC, APC-Cy5, AF488, AF594, AF405, AF555, AF700, AF647, AF750 |
| Валидировано для | IHC WB Иммуногистохимия; Вестерн-блоттинг |
| Рекомендуемые разведения | WB: 0.5-2 мкг/мл; IHC: 5-20 мкг/мл; ICC: 5-20 мкг/мл; Оптимальное разведение определяется конечным потребителем |
| Метод очистки | Антигенспецифическая аффинная хроматография с последующей аффинной хроматографией с белком А |
| Состав буфера | 0.01M PBS, pH7.4, 0.05% Proclin-300, 50% глицерин |
| Условия доставки | термобокс с аккумуляторами холода |
| Условия хранения | Сразу после получения аликвотировать и хранить при -20ºС до 24 месяцев. Для частого использования хранить при +4ºС не более 2 недель. Избегать повторения циклов замерзания/оттаивания |
| Срок хранения | 24 месяца |
| Производитель | Cloud-Clone Corp. |
| Ссылка на страницу товара на сайте производителя | http://www.cloud-clone.com/products/PAD005Hu01.html |
|
Артикул
|
Наименование |
Производитель
|
|---|
|
Артикул
|
Наименование |
Производитель
|
|---|
|
Артикул
|
Наименование |
Производитель
|
|---|
|
Артикул
|
Наименование |
Производитель
|
|---|
Акции и предложения
Популярные продукты:
Monoclonal Antibody to Lymphatic Vessel Endothelial Hyaluronan Receptor 1 (LYVE1) (MAH848Hu22)
Источник (хозяин): мышь
Реактивность подтвержденная: человек
Валидировано для: WB
Реактивность подтвержденная: человек
Валидировано для: WB
Canine Genistein ELISA kit (E08G0608)
Организм: собака
Rat Zona pellucida binding protein 2(ZPBP2) ELISA kit (E02Z0032)
Организм: крыса
Anti-Mouse EPOR Antibody (Fs0378), AF488 (FMD32815)
Источник (хозяин): мышь
Реактивность подтвержденная: мышь
Валидировано для: ELISA, FCM
Реактивность подтвержденная: мышь
Валидировано для: ELISA, FCM
ELISA Kit DIY Materials for Slit Homolog 2 (Slit2) (KSA672Ra01)
Организм: крыса
Диапазон определения: 0.312-20 нг/мл
Чувствительность: 0.129 нг/мл
Диапазон определения: 0.312-20 нг/мл
Чувствительность: 0.129 нг/мл
Goat Cystinosin(CTNS) ELISA kit (E06C2155)
Организм: коза

