| UNIPROT | P42898 |
| Иммуноген | RPH609Hu01-Recombinant Methylenetetrahydrofolate Reductase (MTHFR) |
Polyclonal Antibody to Methylenetetrahydrofolate Reductase (MTHFR) (PAH609Hu01)
Реактивность подтвержденная:
человек
Источник (хозяин):
кролик
Валидировано для:
IHC
WB
Характеристики
Техническое описание
| Русское название | PAH609Hu01 Поликлональное антитело к MTHFR (человек) <Cloud-Clone,Китай> |
| Каталожный номер | PAH609Hu01 |
| Название антигена | Methylenetetrahydrofolate Reductase (MTHFR) |
| UNIPROT | P42898 |
| Иммуноген | RPH609Hu01-Recombinant Methylenetetrahydrofolate Reductase (MTHFR) |
| Английские синонимы | 5,10-Methylenetetrahydrofolate Reductase(NADPH) |
Реактивность подтвержденная Нужна другая реактивность? |
человек |
| Реактивность предсказываемая | мышь, крыса |
| Источник (хозяин) | кролик |
| Клональность | поликлональное |
| Рекомбинантное | нет |
| Готовое к использованию | нет |
| Концентрация | 0.76 мг/мл |
| Конъюгат | По запросу: HRP, biotin, PerCP, PE, Cy3, FITC, Cy7, Cy5.5, PE-Cy5, PE-Cy7, PerCp-Cy5.5, APC, Cy5, PE-Cy3, PE-Cy5.5, APC-Cy7, Biotin-APC, FITC-Biotin, TRITC, APC-Cy5, AF488, AF594, AF405, AF555, AF700, AF647, AF750 |
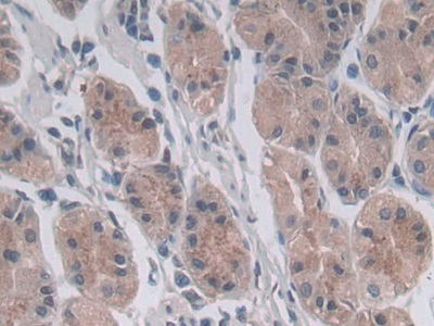
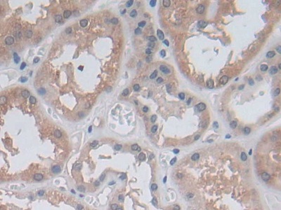
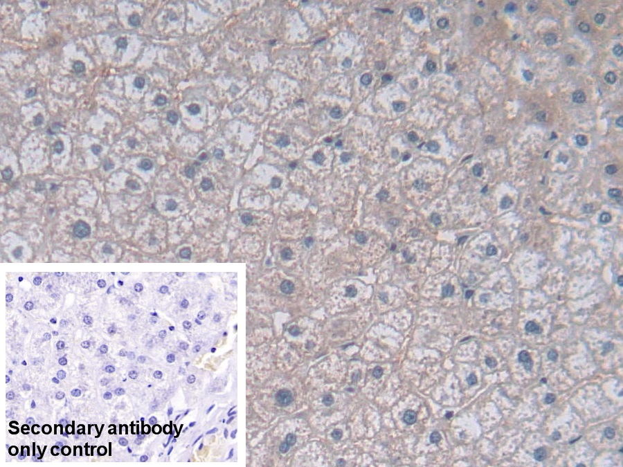
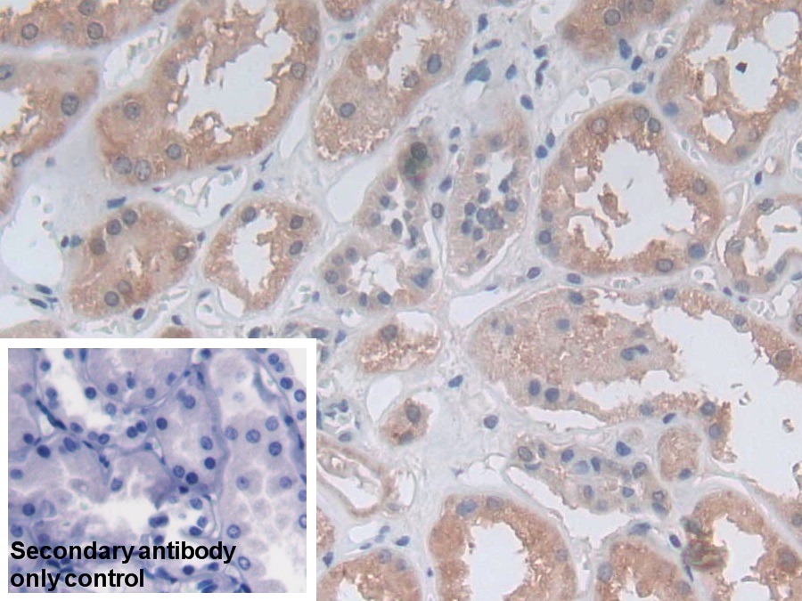
| Валидировано для | IHC WB Иммуногистохимия; Вестерн-блоттинг |
| Рекомендуемые разведения | WB: 0.5-2 мкг/мл; 1:380-1500; IHC: 5-20 мкг/мл; 1:38-150; ICC: 5-20 мкг/мл; 1:38-150; Оптимальное разведение определяется конечным потребителем |
| Метод очистки | Антигенспецифическая аффинная хроматография с последующей аффинной хроматографией с белком А |
| Состав буфера | PBS, pH7.4, 0.02% NaN3, 50% глицерин |
| Условия доставки | термобокс с аккумуляторами холода |
| Условия хранения | Сразу после получения аликвотировать и хранить при -20ºС до 24 месяцев. Для частого использования хранить при +4ºС не более 2 недель. Избегать повторения циклов замерзания/оттаивания |
| Срок хранения | 24 месяца |
| Производитель | Cloud-Clone Corp. |
| Ссылка на страницу товара на сайте производителя | http://www.cloud-clone.com/products/PAH609Hu01.html |
|
Артикул
|
Наименование |
Производитель
|
|---|
|
Артикул
|
Наименование |
Производитель
|
|---|
|
Артикул
|
Наименование |
Производитель
|
|---|
|
Артикул
|
Наименование |
Производитель
|
|---|
Акции и предложения
Популярные продукты:
ELISA Kit DIY Materials for Carboxypeptidase A1, Pancreatic (CPA1) (KSF315Ra01)
Организм: крыса
Диапазон определения: 1.56-100 нг/мл
Чувствительность: 0.53 нг/мл
Диапазон определения: 1.56-100 нг/мл
Чувствительность: 0.53 нг/мл
Canine Carbohyde sulfotransferase 8(CHST8) ELISA kit (E08C1715)
Организм: собака
Porcine Methylenetetrahydrofolate Reductase ELISA kit (E07M0691)
Организм: свинья
Rabbit Steroidogenic Factor 1 ELISA kit (E04S0093)
Организм: кролик
Anti-MMP14 Polyclonal Antibody (PHE75502)
Источник (хозяин): кролик
Реактивность подтвержденная: человек, мышь, крыса
Валидировано для: ELISA, IHC, WB
Реактивность подтвержденная: человек, мышь, крыса
Валидировано для: ELISA, IHC, WB
Anti-MTHFR Polyclonal Antibody (PHE38501)
Источник (хозяин): кролик
Реактивность подтвержденная: человек, мышь, крыса
Валидировано для: ELISA, IHC, WB
Реактивность подтвержденная: человек, мышь, крыса
Валидировано для: ELISA, IHC, WB

