| UNIPROT | P55083 |
| Иммуноген | RPF589Hu01-Recombinant Microfibrillar Associated Protein 4 (MFAP4) |
Polyclonal Antibody to Microfibrillar Associated Protein 4 (MFAP4) (PAF589Hu01)
Реактивность подтвержденная:
человек
Источник (хозяин):
кролик
Валидировано для:
IHC
WB
Характеристики
Публикации
Техническое описание
| Русское название | PAF589Hu01 Поликлональное антитело к MFAP4 (человек) <Cloud-Clone,Китай> |
| Каталожный номер | PAF589Hu01 |
| Название антигена | Microfibrillar Associated Protein 4 (MFAP4) |
| UNIPROT | P55083 |
| Иммуноген | RPF589Hu01-Recombinant Microfibrillar Associated Protein 4 (MFAP4) |
| Английские синонимы | Microfibril-Associated Glycoprotein 4 |
Реактивность подтвержденная Нужна другая реактивность? |
человек |
| Реактивность предсказываемая | мышь, крыса, свинья |
| Источник (хозяин) | кролик |
| Клональность | поликлональное |
| Рекомбинантное | нет |
| Готовое к использованию | нет |
| Концентрация | 0.43 мг/мл |
| Конъюгат | По запросу: HRP, biotin, PerCP, PE, Cy3, FITC, Cy7, Cy5.5, PE-Cy5, PE-Cy7, PerCp-Cy5.5, APC, Cy5, PE-Cy3, PE-Cy5.5, APC-Cy7, Biotin-APC, FITC-Biotin, TRITC, APC-Cy5, AF488, AF594, AF405, AF555, AF700, AF647, AF750 |
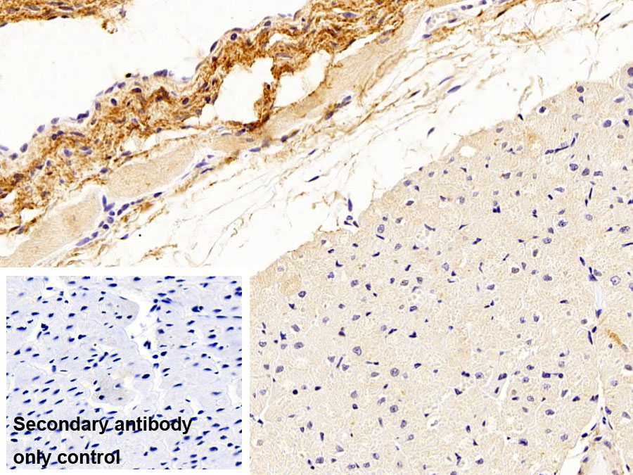
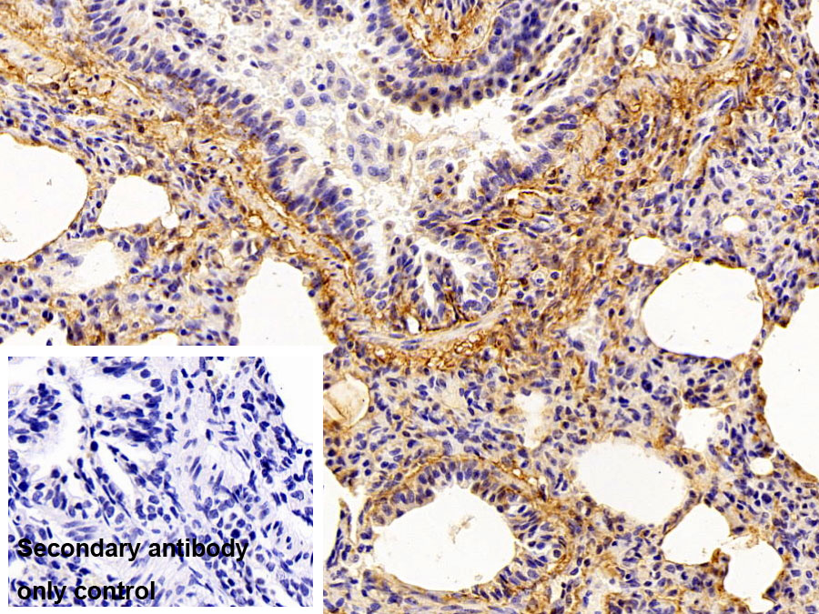
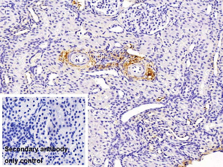
| Валидировано для | IHC WB Иммуногистохимия; Вестерн-блоттинг |
| Рекомендуемые разведения | WB: 0.01-2 мкг/мл; IHC: 5-20 мкг/мл; ICC: 5-20 мкг/мл; Оптимальное разведение определяется конечным потребителем |
| Метод очистки | Антигенспецифическая аффинная хроматография с последующей аффинной хроматографией с белком А |
| Состав буфера | 0.01M PBS, pH7.4, 0.05% Proclin-300, 50% глицерин |
| Условия доставки | термобокс с аккумуляторами холода |
| Условия хранения | Сразу после получения аликвотировать и хранить при -20ºС до 24 месяцев. Для частого использования хранить при +4ºС не более 2 недель. Избегать повторения циклов замерзания/оттаивания |
| Срок хранения | 24 месяца |
| Производитель | Cloud-Clone Corp. |
| Ссылка на страницу товара на сайте производителя | http://www.cloud-clone.com/products/PAF589Hu01.html |
|
Артикул
|
Наименование |
Производитель
|
|---|
|
Артикул
|
Наименование |
Производитель
|
|---|
|
Артикул
|
Наименование |
Производитель
|
|---|
Акции и предложения
Популярные продукты:
Goat Protein dachsous homolog 2 ELISA kit (E06D0585)
Организм: коза
Mouse Protein dachsous homolog 2 ELISA kit (E03D0585)
Организм: мышь
Mouse Acetoacetyl CoA synthetase ELISA kit (E03A0083)
Организм: мышь
Chicken Acetoacetyl CoA synthetase ELISA kit (E12A0083)
Организм: курица
Chicken Galanin Receptor 2 ELISA kit (E12G0078)
Организм: курица
Bovine Nucleoporin 205kDa ELISA kit (E11N0055)
Организм: корова

