| UNIPROT | P46821 |
| Иммуноген | RPC975Hu01-Recombinant Microtubule Associated Protein 1B (MAP1B) |
Polyclonal Antibody to Microtubule Associated Protein 1B (MAP1B) (PAC975Hu01)
Реактивность подтвержденная:
человек
Источник (хозяин):
кролик
Валидировано для:
IHC
Характеристики
Техническое описание
| Русское название | PAC975Hu01 Поликлональное антитело к MAP1B (человек) <Cloud-Clone,Китай> |
| Каталожный номер | PAC975Hu01 |
| Название антигена | Microtubule Associated Protein 1B (MAP1B) |
| UNIPROT | P46821 |
| Иммуноген | RPC975Hu01-Recombinant Microtubule Associated Protein 1B (MAP1B) |
| Английские синонимы | FUTSCH, MAP5 |
Реактивность подтвержденная Нужна другая реактивность? |
человек |
| Реактивность предсказываемая | мышь, крыса |
| Источник (хозяин) | кролик |
| Клональность | поликлональное |
| Рекомбинантное | нет |
| Готовое к использованию | нет |
| Концентрация | 0.24 мг/мл |
| Конъюгат | По запросу: HRP, biotin, PerCP, PE, Cy3, FITC, Cy7, Cy5.5, PE-Cy5, PE-Cy7, PerCp-Cy5.5, APC, Cy5, PE-Cy3, PE-Cy5.5, APC-Cy7, Biotin-APC, FITC-Biotin, TRITC, APC-Cy5, AF488, AF594, AF405, AF555, AF700, AF647, AF750 |
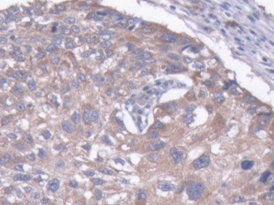
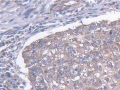
| Валидировано для | IHC Иммуногистохимия |
| Рекомендуемые разведения | WB: 0.5-2 мкг/мл; 1:120-480; IHC: 5-20 мкг/мл; 1:12-48; ICC: 5-20 мкг/мл; 1:12-48; Оптимальное разведение определяется конечным потребителем |
| Метод очистки | Антигенспецифическая аффинная хроматография с последующей аффинной хроматографией с белком А |
| Состав буфера | 0.01M PBS, pH7.4, 0.05% Proclin-300, 50% глицерин |
| Условия доставки | термобокс с аккумуляторами холода |
| Условия хранения | Сразу после получения аликвотировать и хранить при -20ºС до 24 месяцев. Для частого использования хранить при +4ºС не более 2 недель. Избегать повторения циклов замерзания/оттаивания |
| Срок хранения | 24 месяца |
| Производитель | Cloud-Clone Corp. |
| Ссылка на страницу товара на сайте производителя | http://www.cloud-clone.com/products/PAC975Hu01.html |
|
Артикул
|
Наименование |
Производитель
|
|---|
|
Артикул
|
Наименование |
Производитель
|
|---|
Акции и предложения
Популярные продукты:
Anti-β-agonists/β2-AR Monoclonal Antibody (1A464) (MGN56511)
Источник (хозяин): мышь
Реактивность подтвержденная: для всех
Валидировано для: ELISA
Реактивность подтвержденная: для всех
Валидировано для: ELISA
ELISA Kit DIY Materials for Procollagen Lysine-1,2-Oxoglutarate-5-Dioxygenase 1 (PLOD1) (KSE256Hu01)
Организм: человек
Диапазон определения: 0.156-10 нг/мл
Чувствительность: 0.055 нг/мл
Диапазон определения: 0.156-10 нг/мл
Чувствительность: 0.055 нг/мл
Sheep Conglutinin(CGN1) ELISA kit (E14C1645)
Организм: овца
Chicken Conglutinin(CGN1) ELISA kit (E12C1645)
Организм: курица

