| UNIPROT | P14873 |
| Иммуноген | RPC975Mu01-Recombinant Microtubule Associated Protein 1B (MAP1B) |
Polyclonal Antibody to Microtubule Associated Protein 1B (MAP1B) (PAC975Mu01)
Реактивность подтвержденная:
мышь
Источник (хозяин):
кролик
Валидировано для:
IHC
Характеристики
Техническое описание
| Русское название | PAC975Mu01 Поликлональное антитело к MAP1B (мышь) <Cloud-Clone,Китай> |
| Каталожный номер | PAC975Mu01 |
| Название антигена | Microtubule Associated Protein 1B (MAP1B) |
| UNIPROT | P14873 |
| Иммуноген | RPC975Mu01-Recombinant Microtubule Associated Protein 1B (MAP1B) |
| Английские синонимы | FUTSCH, MAP5 |
Реактивность подтвержденная Нужна другая реактивность? |
мышь |
| Реактивность предсказываемая | человек, крыса |
| Источник (хозяин) | кролик |
| Клональность | поликлональное |
| Рекомбинантное | нет |
| Готовое к использованию | нет |
| Концентрация | 1 мг/мл |
| Конъюгат | По запросу: HRP, biotin, PerCP, PE, Cy3, FITC, Cy7, Cy5.5, PE-Cy5, PE-Cy7, PerCp-Cy5.5, APC, Cy5, PE-Cy3, PE-Cy5.5, APC-Cy7, Biotin-APC, FITC-Biotin, TRITC, APC-Cy5, AF488, AF594, AF405, AF555, AF700, AF647, AF750 |
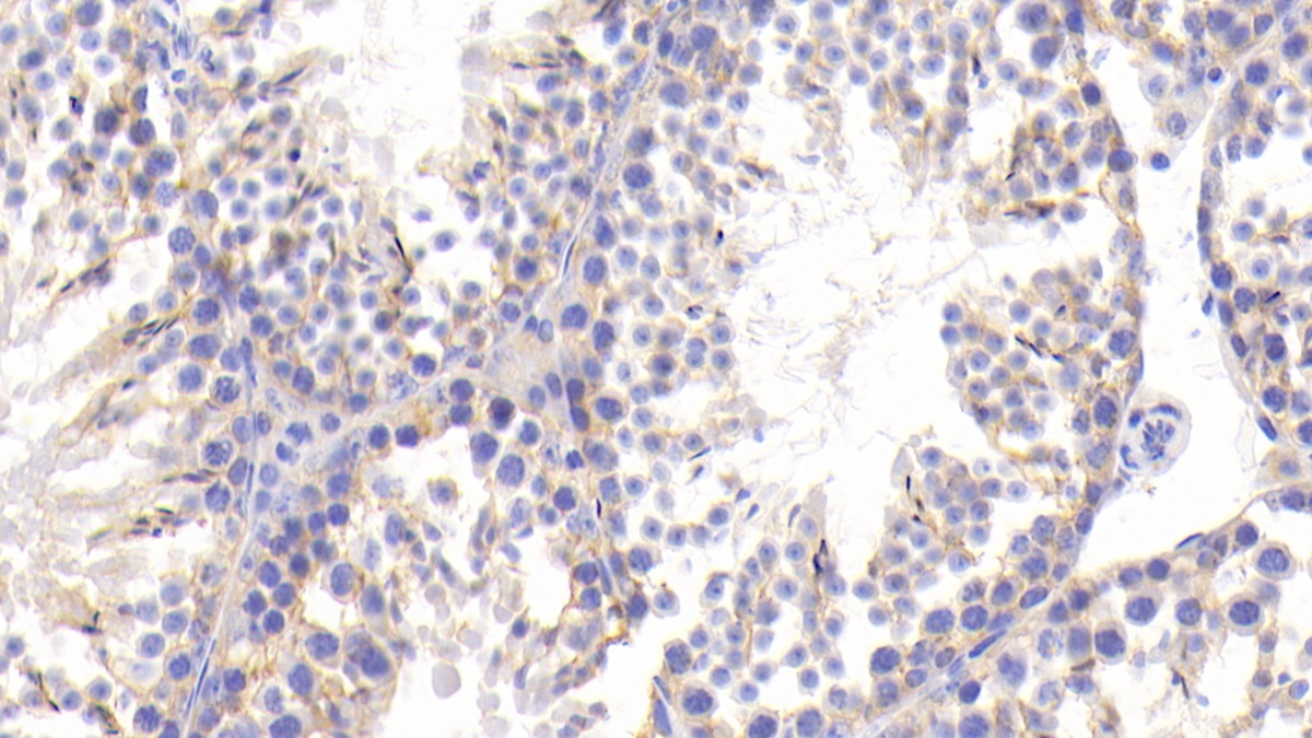
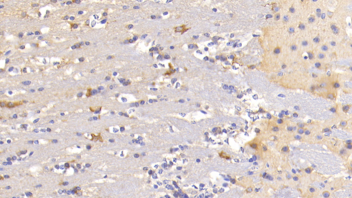
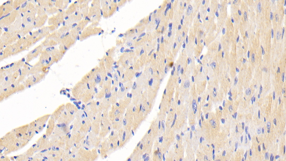
| Валидировано для | IHC Иммуногистохимия |
| Рекомендуемые разведения | WB: 0.5-2 мкг/мл; 1:500-2000; IHC: 5-20 мкг/мл; 1:50-200; ICC: 5-20 мкг/мл; 1:50-200; Оптимальное разведение определяется конечным потребителем |
| Метод очистки | Антигенспецифическая аффинная хроматография с последующей аффинной хроматографией с белком А |
| Состав буфера | 0.01M PBS, pH7.4, 0.05% Proclin-300, 50% глицерин |
| Условия доставки | термобокс с аккумуляторами холода |
| Условия хранения | Сразу после получения аликвотировать и хранить при -20ºС до 24 месяцев. Для частого использования хранить при +4ºС не более 2 недель. Избегать повторения циклов замерзания/оттаивания |
| Срок хранения | 24 месяца |
| Производитель | Cloud-Clone Corp. |
| Ссылка на страницу товара на сайте производителя | http://www.cloud-clone.com/products/PAC975Mu01.html |
|
Артикул
|
Наименование |
Производитель
|
|---|
|
Артикул
|
Наименование |
Производитель
|
|---|
Акции и предложения
Популярные продукты:
Mouse Acylphosphatase 2(ACYP2) ELISA kit (E03A1238)
Организм: мышь
Human Acylphosphatase 2(ACYP2) ELISA kit (E01A1238)
Организм: человек
Диапазон определения: 0.5-10 нг/мл
Чувствительность: 0.1 нг/мл
Диапазон определения: 0.5-10 нг/мл
Чувствительность: 0.1 нг/мл
PE Anti-Mouse CD64/FcγRI Antibody[X54-5/7.1] (FCE3258)
Источник (хозяин): мышь
Реактивность подтвержденная: мышь
Валидировано для: FCM
Реактивность подтвержденная: мышь
Валидировано для: FCM
PE Anti-Mouse CD64/FcγRI Antibody[X54-5/7.1] (FCE3252)
Источник (хозяин): мышь
Реактивность подтвержденная: мышь
Валидировано для: FCM
Реактивность подтвержденная: мышь
Валидировано для: FCM
InVivoMAb Anti-Human IL11 Antibody (X203) (VHD42201)
Источник (хозяин): мышь
Реактивность подтвержденная: человек
Валидировано для: FuncS
Реактивность подтвержденная: человек
Валидировано для: FuncS
PE Anti-Mouse CD3ε Antibody[145-2C11] (E-AB-F1103D)
Источник (хозяин): хомяк
Реактивность подтвержденная: мышь
Валидировано для: FCM
Реактивность подтвержденная: мышь
Валидировано для: FCM

