| UNIPROT | P33992 |
| Иммуноген | RPE651Hu01-Recombinant Minichromosome Maintenance Deficient 5 (MCM5) |
Polyclonal Antibody to Minichromosome Maintenance Deficient 5 (MCM5) (PAE651Hu01)
Реактивность подтвержденная:
человек
Источник (хозяин):
кролик
Валидировано для:
IHC
Характеристики
Техническое описание
| Русское название | PAE651Hu01 Поликлональное антитело к MCM5 (человек) <Cloud-Clone,Китай> |
| Каталожный номер | PAE651Hu01 |
| Название антигена | Minichromosome Maintenance Deficient 5 (MCM5) |
| UNIPROT | P33992 |
| Иммуноген | RPE651Hu01-Recombinant Minichromosome Maintenance Deficient 5 (MCM5) |
| Английские синонимы | CDC46, P1-CDC46, Cell Division Cycle 46, DNA replication licensing factor MCM5 |
Реактивность подтвержденная Нужна другая реактивность? |
человек |
| Реактивность предсказываемая | мышь, крыса |
| Источник (хозяин) | кролик |
| Клональность | поликлональное |
| Рекомбинантное | нет |
| Готовое к использованию | нет |
| Концентрация | 0.5 мг/мл |
| Конъюгат | По запросу: HRP, biotin, PerCP, PE, Cy3, FITC, Cy7, Cy5.5, PE-Cy5, PE-Cy7, PerCp-Cy5.5, APC, Cy5, PE-Cy3, PE-Cy5.5, APC-Cy7, Biotin-APC, FITC-Biotin, TRITC, APC-Cy5, AF488, AF594, AF405, AF555, AF700, AF647, AF750 |
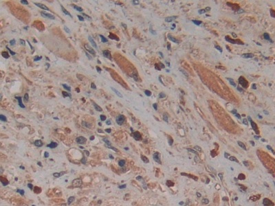
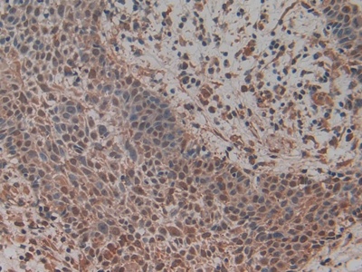
| Валидировано для | IHC Иммуногистохимия |
| Рекомендуемые разведения | WB: 0.5-2 мкг/мл; 1:250-1000; IHC: 5-20 мкг/мл; 1:25-100; ICC: 5-20 мкг/мл; 1:25-100; Оптимальное разведение определяется конечным потребителем |
| Метод очистки | Антигенспецифическая аффинная хроматография с последующей аффинной хроматографией с белком А |
| Состав буфера | 0.01M PBS, pH7.4, 0.05% Proclin-300, 50% глицерин |
| Условия доставки | термобокс с аккумуляторами холода |
| Условия хранения | Сразу после получения аликвотировать и хранить при -20ºС до 24 месяцев. Для частого использования хранить при +4ºС не более 2 недель. Избегать повторения циклов замерзания/оттаивания |
| Срок хранения | 24 месяца |
| Производитель | Cloud-Clone Corp. |
| Ссылка на страницу товара на сайте производителя | http://www.cloud-clone.com/products/PAE651Hu01.html |
|
Артикул
|
Наименование |
Производитель
|
|---|
|
Артикул
|
Наименование |
Производитель
|
|---|
|
Артикул
|
Наименование |
Производитель
|
|---|
|
Артикул
|
Наименование |
Производитель
|
|---|
Акции и предложения
Популярные продукты:
Bovine Cyclophosphamide ELISA kit (E11C0842)
Организм: корова
Goat Calmin(CLMN) ELISA kit (E06C1803)
Организм: коза
Canine Carbohyde sulfotransferase 14(CHST14) ELISA kit (E08C1708)
Организм: собака
Monkey Triosephosphate isomerase(TPI1) ELISA kit (E09T0727)
Организм: обезьяна
Bovine Synaptopodin ELISA kit (E11S0219)
Организм: корова
Rabbit Glypican 2 ELISA kit (E04G0227)
Организм: кролик

