| UNIPROT | P55851 |
| Иммуноген | RPC586Hu01-Recombinant Mitochondrial Uncoupling Protein 2 (UCP2) |
Polyclonal Antibody to Mitochondrial Uncoupling Protein 2 (UCP2) (PAC586Hu01)
Реактивность подтвержденная:
человек
Источник (хозяин):
кролик
Валидировано для:
IHC
Характеристики
Техническое описание
| Русское название | PAC586Hu01 Поликлональное антитело к UCP2 (человек) <Cloud-Clone,Китай> |
| Каталожный номер | PAC586Hu01 |
| Название антигена | Uncoupling Protein 2, Mitochondrial (UCP2) |
| UNIPROT | P55851 |
| Иммуноген | RPC586Hu01-Recombinant Mitochondrial Uncoupling Protein 2 (UCP2) |
| Английские синонимы | SLC25A8, UCPH, Solute carrier family 25 member 8 |
Реактивность подтвержденная Нужна другая реактивность? |
человек |
| Реактивность предсказываемая | мышь, крыса |
| Источник (хозяин) | кролик |
| Клональность | поликлональное |
| Рекомбинантное | нет |
| Готовое к использованию | нет |
| Концентрация | 0.5 мг/мл |
| Конъюгат | По запросу: HRP, biotin, PerCP, PE, Cy3, FITC, Cy7, Cy5.5, PE-Cy5, PE-Cy7, PerCp-Cy5.5, APC, Cy5, PE-Cy3, PE-Cy5.5, APC-Cy7, Biotin-APC, FITC-Biotin, TRITC, APC-Cy5, AF488, AF594, AF405, AF555, AF700, AF647, AF750 |
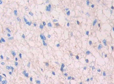
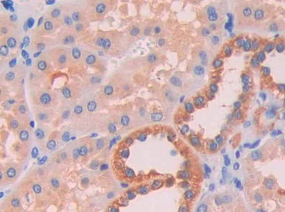
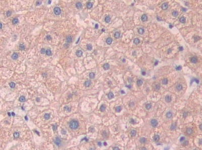
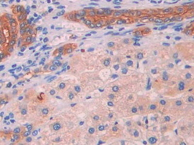
| Валидировано для | IHC Иммуногистохимия |
| Рекомендуемые разведения | WB: 0.01-2 мкг/мл; IHC: 5-30 мкг/мл; ICC: 5-30 мкг/мл; Оптимальное разведение определяется конечным потребителем |
| Метод очистки | Антигенспецифическая аффинная хроматография с последующей аффинной хроматографией с белком А |
| Состав буфера | PBS, pH7.4, 0.02% NaN3, 50% глицерин |
| Условия доставки | термобокс с аккумуляторами холода |
| Условия хранения | Сразу после получения аликвотировать и хранить при -20ºС до 24 месяцев. Для частого использования хранить при +4ºС не более 2 недель. Избегать повторения циклов замерзания/оттаивания |
| Срок хранения | 24 месяца |
| Производитель | Cloud-Clone Corp. |
| Ссылка на страницу товара на сайте производителя | http://www.cloud-clone.com/products/PAC586Hu01.html |
|
Артикул
|
Наименование |
Производитель
|
|---|
|
Артикул
|
Наименование |
Производитель
|
|---|
|
Артикул
|
Наименование |
Производитель
|
|---|
|
Артикул
|
Наименование |
Производитель
|
|---|
Акции и предложения
Популярные продукты:
Rat Leucyl Cystinyl aminopeptidase ELISA kit (E02L0290)
Организм: крыса
Диапазон определения: 0.5-10 нг/мл
Чувствительность: 0.1 нг/мл
Диапазон определения: 0.5-10 нг/мл
Чувствительность: 0.1 нг/мл
Human Xeroderma Pigmentosum, Complementation Group F ELISA kit (E01X0006)
Организм: человек
Диапазон определения: 0.5-10 нг/мл
Чувствительность: 0.1 нг/мл
Диапазон определения: 0.5-10 нг/мл
Чувствительность: 0.1 нг/мл
Guinea Pig Krueppel-like factor 17(KLF17) ELISA kit (E05K0090)
Организм: морская свинка
Monkey Cytochrome b 245 heavy chain(CYBB) ELISA kit (E09C2212)
Организм: обезьяна
Human Cyclin L1(CCNL1) ELISA kit (E01C1167)
Организм: человек
Диапазон определения: 10-250 нг/мл
Чувствительность: 1 нг/мл
Диапазон определения: 10-250 нг/мл
Чувствительность: 1 нг/мл
Sheep Cathepsin E(CTSE) ELISA kit (E14C2163)
Организм: овца

