| UNIPROT | Q64133 |
| Иммуноген | RPB954Mu01-Recombinant Monoamine Oxidase A (MAOA) |
Polyclonal Antibody to Monoamine Oxidase A (MAOA) (PAB954Mu01)
Реактивность подтвержденная:
мышь
Источник (хозяин):
кролик
Валидировано для:
WB
Характеристики
Техническое описание
| Русское название | PAB954Mu01 Поликлональное антитело к MAOA (мышь) <Cloud-Clone,Китай> |
| Каталожный номер | PAB954Mu01 |
| Название антигена | Monoamine Oxidase A (MAOA) |
| UNIPROT | Q64133 |
| Иммуноген | RPB954Mu01-Recombinant Monoamine Oxidase A (MAOA) |
| Английские синонимы | MAO-A, Amine oxidase [flavin-containing] A |
| Русские синонимы | МАОА, МАО А |
Реактивность подтвержденная Нужна другая реактивность? |
мышь |
| Реактивность предсказываемая | человек, крыса |
| Источник (хозяин) | кролик |
| Клональность | поликлональное |
| Рекомбинантное | нет |
| Готовое к использованию | нет |
| Концентрация | 0.5 мг/мл |
| Конъюгат | По запросу: HRP, biotin, PerCP, PE, Cy3, FITC, Cy7, Cy5.5, PE-Cy5, PE-Cy7, PerCp-Cy5.5, APC, Cy5, PE-Cy3, PE-Cy5.5, APC-Cy7, Biotin-APC, FITC-Biotin, TRITC, APC-Cy5, AF488, AF594, AF405, AF555, AF700, AF647, AF750 |
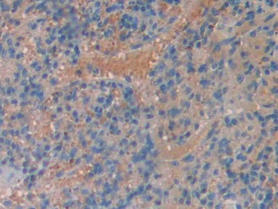
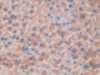
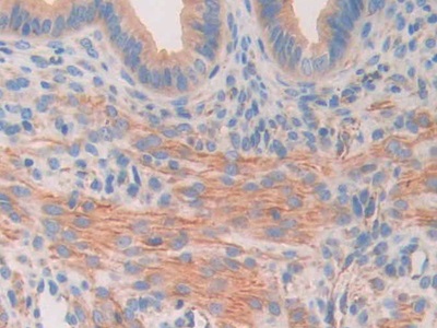
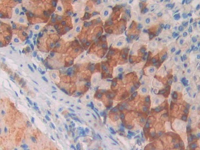
| Валидировано для | WB Вестерн-блоттинг |
| Рекомендуемые разведения | WB: 0.01-2 мкг/мл; IHC: 5-30 мкг/мл; ICC: 5-30 мкг/мл; Оптимальное разведение определяется конечным потребителем |
| Метод очистки | Антигенспецифическая аффинная хроматография с последующей аффинной хроматографией с белком А |
| Состав буфера | PBS, pH7.4, 0.02% NaN3, 50% глицерин |
| Условия доставки | термобокс с аккумуляторами холода |
| Условия хранения | Сразу после получения аликвотировать и хранить при -20ºС до 24 месяцев. Для частого использования хранить при +4ºС не более 2 недель. Избегать повторения циклов замерзания/оттаивания |
| Срок хранения | 24 месяца |
| Производитель | Cloud-Clone Corp. |
| Ссылка на страницу товара на сайте производителя | http://www.cloud-clone.com/products/PAB954Mu01.html |
|
Артикул
|
Наименование |
Производитель
|
|---|
|
Артикул
|
Наименование |
Производитель
|
|---|
|
Артикул
|
Наименование |
Производитель
|
|---|
|
Артикул
|
Наименование |
Производитель
|
|---|
|
Артикул
|
Наименование |
Производитель
|
|---|
Акции и предложения
Популярные продукты:
Bovine Dual oxidase 1(DUOX1) ELISA kit (E11D0296)
Организм: корова
Canine Protein Kinase C Theta ELISA kit (E08P0105)
Организм: собака
Rat Interleukin 13 ELISA kit (E02I0036)
Организм: крыса
Диапазон определения: 50-1000 пг/мл
Чувствительность: 1 пг/мл
Диапазон определения: 50-1000 пг/мл
Чувствительность: 1 пг/мл
Recombinant Human IL-21 Protein (PDEH100721)
Источник (хозяин): E.coli
Организм: человек
Фрагмент: Gln30-Ser162
Теги: N-His
Биоактивность: нет
Организм: человек
Фрагмент: Gln30-Ser162
Теги: N-His
Биоактивность: нет
Anti-Human MAOA Polyclonal Antibody (PHD45401)
Источник (хозяин): кролик
Реактивность подтвержденная: человек
Валидировано для: ELISA, IHC, WB
Реактивность подтвержденная: человек
Валидировано для: ELISA, IHC, WB
Anti-Human DOK2 Polyclonal Antibody (PHA92601)
Источник (хозяин): кролик
Реактивность подтвержденная: человек
Валидировано для: ELISA, IHC, WB
Реактивность подтвержденная: человек
Валидировано для: ELISA, IHC, WB

