| UNIPROT | P80075 |
| Иммуноген | RPA088Hu01-Recombinant Monocyte Chemotactic Protein 2 (MCP2) |
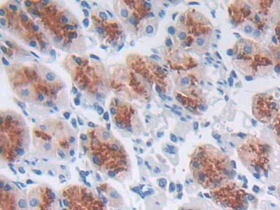
Polyclonal Antibody to Monocyte Chemotactic Protein 2 (MCP2) (PAA088Hu01)
Реактивность подтвержденная:
человек
Источник (хозяин):
кролик
Валидировано для:
IHC
Характеристики
Техническое описание
| Русское название | PAA088Hu01 Поликлональное антитело к MCP2 (человек) <Cloud-Clone,Китай> |
| Каталожный номер | PAA088Hu01 |
| Название антигена | Monocyte Chemotactic Protein 2 (MCP2) |
| UNIPROT | P80075 |
| Иммуноген | RPA088Hu01-Recombinant Monocyte Chemotactic Protein 2 (MCP2) |
| Английские синонимы | CCL8, CCL-8, SCYA8, MCP-2, HC14, Chemokine C-C-Motif Ligand 8, Small Inducible Cytokine Subfamily A(Cys-Cys)Member 8, Monocyte Chemoattractant Protein 2 |
Реактивность подтвержденная Нужна другая реактивность? |
человек |
| Реактивность предсказываемая | мышь, крыса |
| Источник (хозяин) | кролик |
| Клональность | поликлональное |
| Рекомбинантное | нет |
| Готовое к использованию | нет |
| Концентрация | 0.39 мг/мл |
| Конъюгат | По запросу: HRP, biotin, PerCP, PE, Cy3, FITC, Cy7, Cy5.5, PE-Cy5, PE-Cy7, PerCp-Cy5.5, APC, Cy5, PE-Cy3, PE-Cy5.5, APC-Cy7, Biotin-APC, FITC-Biotin, TRITC, APC-Cy5, AF488, AF594, AF405, AF555, AF700, AF647, AF750 |
| Валидировано для | IHC Иммуногистохимия |
| Рекомендуемые разведения | WB: 0.01-2 мкг/мл; IHC: 5-20 мкг/мл; ICC: 5-20 мкг/мл; Оптимальное разведение определяется конечным потребителем |
| Метод очистки | Антигенспецифическая аффинная хроматография с последующей аффинной хроматографией с белком А |
| Состав буфера | PBS, pH7.4, 0.02% NaN3, 50% глицерин |
| Условия доставки | термобокс с аккумуляторами холода |
| Условия хранения | Сразу после получения аликвотировать и хранить при -20ºС до 24 месяцев. Для частого использования хранить при +4ºС не более 2 недель. Избегать повторения циклов замерзания/оттаивания |
| Срок хранения | 24 месяца |
| Производитель | Cloud-Clone Corp. |
| Ссылка на страницу товара на сайте производителя | http://www.cloud-clone.com/products/PAA088Hu01.html |
|
Артикул
|
Наименование |
Производитель
|
|---|
|
Артикул
|
Наименование |
Производитель
|
|---|
|
Артикул
|
Наименование |
Производитель
|
|---|
|
Артикул
|
Наименование |
Производитель
|
|---|
|
Артикул
|
Наименование |
Производитель
|
|---|
|
Артикул
|
Наименование |
Производитель
|
|---|
Акции и предложения
Популярные продукты:
Human Platelet derived growth factor receptor A ELISA kit (E01P0032)
Организм: человек
Диапазон определения: 1-25 нг/мл
Чувствительность: 0.1 нг/мл
Диапазон определения: 1-25 нг/мл
Чувствительность: 0.1 нг/мл
Sheep Dynorphin ELISA kit (E14D0267)
Организм: овца
Canine Cadherin 6(CDH6) ELISA kit (E08C1548)
Организм: собака
Mouse Asprosin ELISA kit (E03A3100)
Организм: мышь

