| UNIPROT | P12882 |
| Иммуноген | RPA754Hu01-Recombinant Myosin Heavy Chain 1 (MYH1) |
Polyclonal Antibody to Myosin Heavy Chain 1 (MYH1) (PAA754Hu01)
Реактивность подтвержденная:
человек
Источник (хозяин):
кролик
Валидировано для:
IHC
WB
Характеристики
Техническое описание
| Русское название | PAA754Hu01 Поликлональное антитело к MYH1 (человек) <Cloud-Clone,Китай> |
| Каталожный номер | PAA754Hu01 |
| Название антигена | Myosin Heavy Chain 1, Skeletal Muscle, Adult (MYH1) |
| UNIPROT | P12882 |
| Иммуноген | RPA754Hu01-Recombinant Myosin Heavy Chain 1 (MYH1) |
| Английские синонимы | MYHSA1, MYHa, MyHC-2X/D, Myosin-1, Myosin Heavy Chain IIx/d |
| Русские синонимы | Миозин II |
Реактивность подтвержденная Нужна другая реактивность? |
человек |
| Реактивность предсказываемая | мышь, крыса, свинья |
| Источник (хозяин) | кролик |
| Клональность | поликлональное |
| Рекомбинантное | нет |
| Готовое к использованию | нет |
| Концентрация | 0.5 мг/мл |
| Конъюгат | По запросу: HRP, biotin, PerCP, PE, Cy3, FITC, Cy7, Cy5.5, PE-Cy5, PE-Cy7, PerCp-Cy5.5, APC, Cy5, PE-Cy3, PE-Cy5.5, APC-Cy7, Biotin-APC, FITC-Biotin, TRITC, APC-Cy5, AF488, AF594, AF405, AF555, AF700, AF647, AF750 |
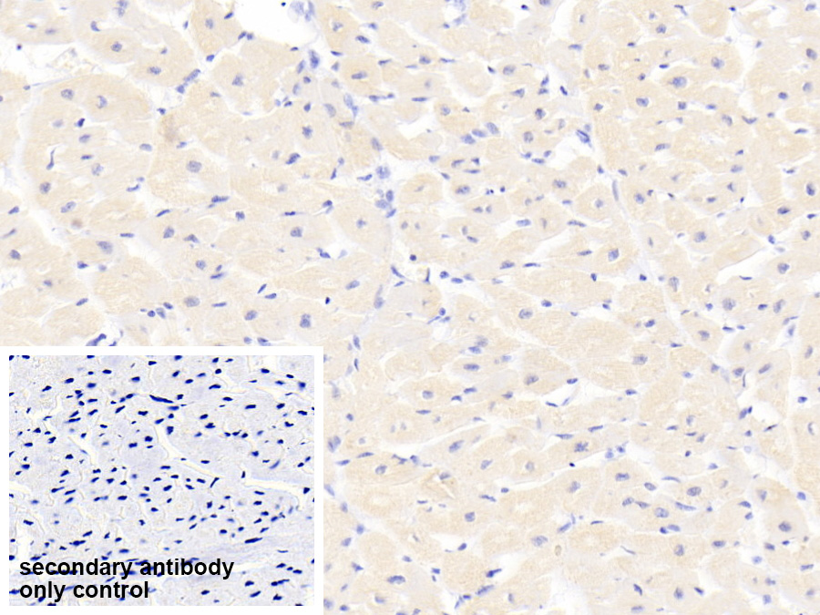
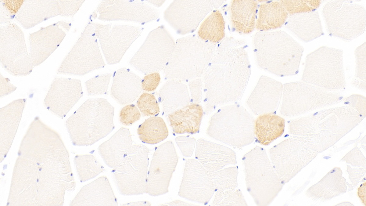
| Валидировано для | IHC WB Иммуногистохимия; Вестерн-блоттинг |
| Рекомендуемые разведения | WB: 0.01-2 мкг/мл; IHC: 5-20 мкг/мл; Оптимальное разведение определяется конечным потребителем |
| Метод очистки | Антигенспецифическая аффинная хроматография с последующей аффинной хроматографией с белком А |
| Состав буфера | 0.01M PBS, pH7.4, 0.05% Proclin-300, 50% глицерин |
| Условия доставки | термобокс с аккумуляторами холода |
| Условия хранения | Сразу после получения аликвотировать и хранить при -20ºС до 24 месяцев. Для частого использования хранить при +4ºС не более 2 недель. Избегать повторения циклов замерзания/оттаивания |
| Срок хранения | 24 месяца |
| Производитель | Cloud-Clone Corp. |
| Ссылка на страницу товара на сайте производителя | http://www.cloud-clone.com/products/PAA754Hu01.html |
|
Артикул
|
Наименование |
Производитель
|
|---|
|
Артикул
|
Наименование |
Производитель
|
|---|
|
Артикул
|
Наименование |
Производитель
|
|---|
|
Артикул
|
Наименование |
Производитель
|
|---|
|
Артикул
|
Наименование |
Производитель
|
|---|
|
Артикул
|
Наименование |
Производитель
|
|---|
|
Артикул
|
Наименование |
Производитель
|
|---|
Акции и предложения
Популярные продукты:
Goat Catechol O-methyltransferase ELISA kit (E06E0200)
Организм: коза
Guinea Pig AP 1 complex subunit gamma like 2(AP1G2) ELISA kit (E05A1556)
Организм: морская свинка
Monkey Cytoskeleton associated protein 5(CKAP5) ELISA kit (E09C1742)
Организм: обезьяна
Sheep Cullin 1(CUL1) ELISA kit (E14C2181)
Организм: овца
Porcine Activating Transcription Factor 6 ELISA kit (E07A0536)
Организм: свинья

