| UNIPROT | P10916 |
| Иммуноген | RPB102Hu01-Recombinant Myosin Light Chain 2 (MYL2) |
Polyclonal Antibody to Myosin Light Chain 2 (MYL2) (PAB102Hu01)
Реактивность подтвержденная:
человек
Источник (хозяин):
кролик
Валидировано для:
IHC
WB
Характеристики
Техническое описание
| Русское название | PAB102Hu01 Поликлональное антитело к MYL2 (человек) <Cloud-Clone,Китай> |
| Каталожный номер | PAB102Hu01 |
| Название антигена | Myosin Light Chain 2, Regulatory, Cardiac (MYL2) |
| UNIPROT | P10916 |
| Иммуноген | RPB102Hu01-Recombinant Myosin Light Chain 2 (MYL2) |
| Английские синонимы | CMH10, MLC2, Myosin,Light Chain 2,Regulatory,Cardiac,Slow, Myosin regulatory light chain 2, ventricular/cardiac muscle isoform |
Реактивность подтвержденная Нужна другая реактивность? |
человек |
| Реактивность предсказываемая | мышь, крыса, свинья |
| Источник (хозяин) | кролик |
| Клональность | поликлональное |
| Рекомбинантное | нет |
| Готовое к использованию | нет |
| Концентрация | 0.33 мг/мл |
| Конъюгат | По запросу: HRP, biotin, PerCP, PE, Cy3, FITC, Cy7, Cy5.5, PE-Cy5, PE-Cy7, PerCp-Cy5.5, APC, Cy5, PE-Cy3, PE-Cy5.5, APC-Cy7, Biotin-APC, FITC-Biotin, TRITC, APC-Cy5, AF488, AF594, AF405, AF555, AF700, AF647, AF750 |
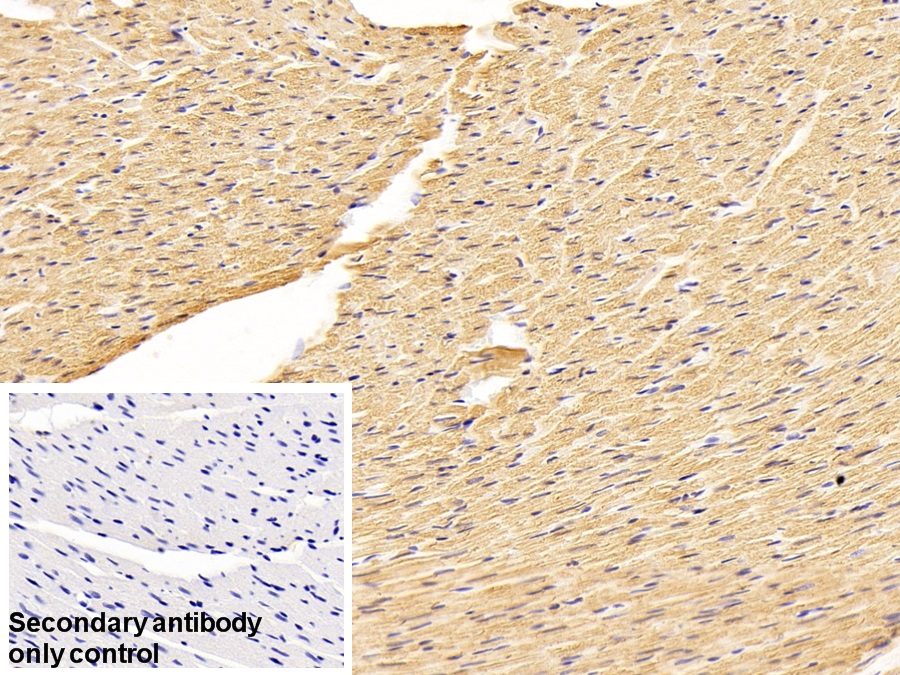
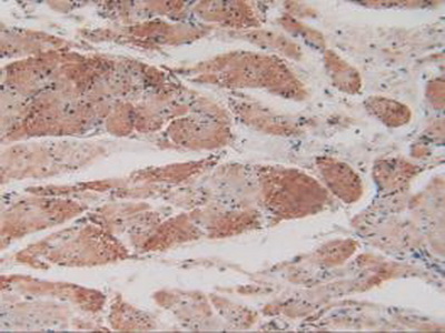
| Валидировано для | IHC WB Иммуногистохимия; Вестерн-блоттинг |
| Рекомендуемые разведения | WB: 0.01-2 мкг/мл; IHC: 5-20 мкг/мл; ICC: 5-20 мкг/мл; Оптимальное разведение определяется конечным потребителем |
| Метод очистки | Антигенспецифическая аффинная хроматография с последующей аффинной хроматографией с белком А |
| Состав буфера | PBS, pH7.4, 0.02% NaN3, 50% глицерин |
| Условия доставки | термобокс с аккумуляторами холода |
| Условия хранения | Сразу после получения аликвотировать и хранить при -20ºС до 24 месяцев. Для частого использования хранить при +4ºС не более 2 недель. Избегать повторения циклов замерзания/оттаивания |
| Срок хранения | 24 месяца |
| Производитель | Cloud-Clone Corp. |
| Ссылка на страницу товара на сайте производителя | http://www.cloud-clone.com/products/PAB102Hu01.html |
|
Артикул
|
Наименование |
Производитель
|
|---|
|
Артикул
|
Наименование |
Производитель
|
|---|
|
Артикул
|
Наименование |
Производитель
|
|---|
Акции и предложения
Популярные продукты:
Cofilin Mouse Monoclonal Antibody (BF8171)
Источник (хозяин): мышь
Реактивность подтвержденная: человек, мышь, крыса
Валидировано для: WB
Реактивность подтвержденная: человек, мышь, крыса
Валидировано для: WB
Anti-Chemokine (C-X-C Motif) Ligand 14 (CXCL14) Polyclonal Antibody (FAB607Hu01)
Источник (хозяин): кролик
Реактивность подтвержденная: человек
Валидировано для: FCM
Реактивность подтвержденная: человек
Валидировано для: FCM
ELISA Kit DIY Materials for Biliverdin Reductase A (BLVRA) (KSJ551Hu01)
Организм: человек
Диапазон определения: 0.625-40 нг/мл
Чувствительность: 0.274 нг/мл
Диапазон определения: 0.625-40 нг/мл
Чувствительность: 0.274 нг/мл
Guinea Pig Angiopoietin 4 ELISA kit (E05A0637)
Организм: морская свинка
Rat Condensin complex subunit 2(NCAPH) ELISA kit (E02C2357)
Организм: крыса
Chicken Coronin 1B(CORO1B) ELISA kit (E12C1951)
Организм: курица

