| UNIPROT | Q15746 |
| Иммуноген | RPB106Hu01-Recombinant Myosin Light Chain Kinase (MYLK) |
Polyclonal Antibody to Myosin Light Chain Kinase (MYLK) (PAB106Hu01)
Реактивность подтвержденная:
человек
Источник (хозяин):
кролик
Валидировано для:
IHC
WB
Характеристики
Техническое описание
| Русское название | PAB106Hu01 Поликлональное антитело к MYLK (человек) <Cloud-Clone,Китай> |
| Каталожный номер | PAB106Hu01 |
| Название антигена | Myosin Light Chain Kinase (MYLK) |
| UNIPROT | Q15746 |
| Иммуноген | RPB106Hu01-Recombinant Myosin Light Chain Kinase (MYLK) |
| Английские синонимы | KRP, MLCK108, MLCK210, MSTP083, MLCK, smMLCK, MYLK1, MLCK1, Telokin, Myosin Light Chain Kinase, Smooth Muscle, deglutamylated form, Kinase-related protein |
Реактивность подтвержденная Нужна другая реактивность? |
человек |
| Реактивность предсказываемая | крыса |
| Источник (хозяин) | кролик |
| Клональность | поликлональное |
| Рекомбинантное | нет |
| Готовое к использованию | нет |
| Концентрация | 0.5 мг/мл |
| Конъюгат | По запросу: HRP, biotin, PerCP, PE, Cy3, FITC, Cy7, Cy5.5, PE-Cy5, PE-Cy7, PerCp-Cy5.5, APC, Cy5, PE-Cy3, PE-Cy5.5, APC-Cy7, Biotin-APC, FITC-Biotin, TRITC, APC-Cy5, AF488, AF594, AF405, AF555, AF700, AF647, AF750 |
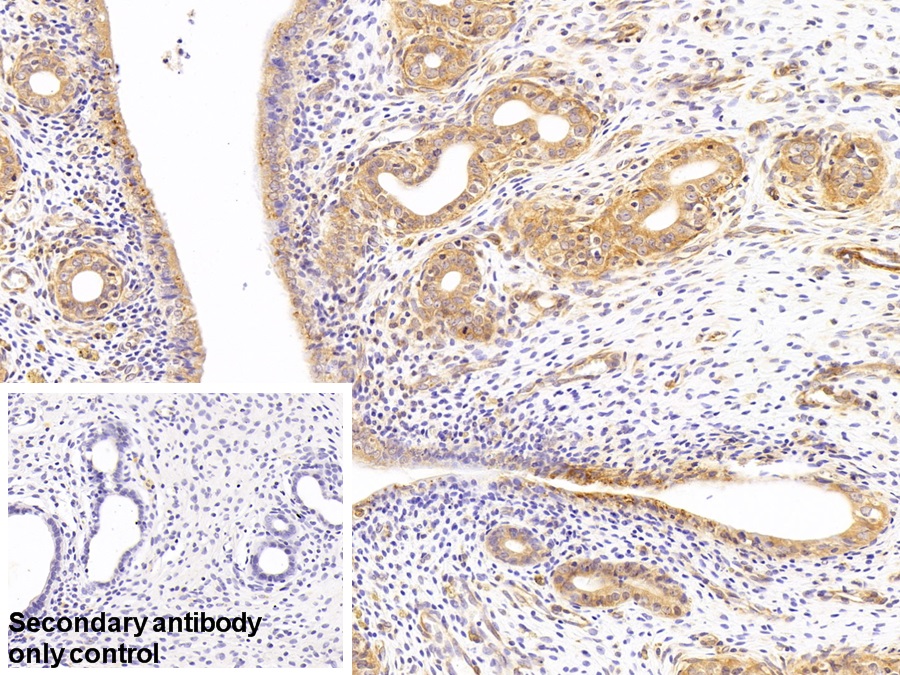
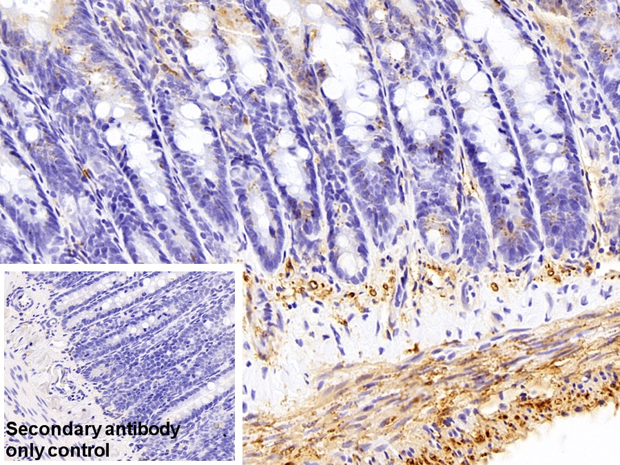
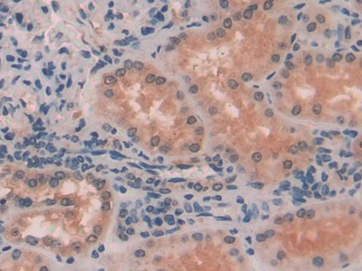
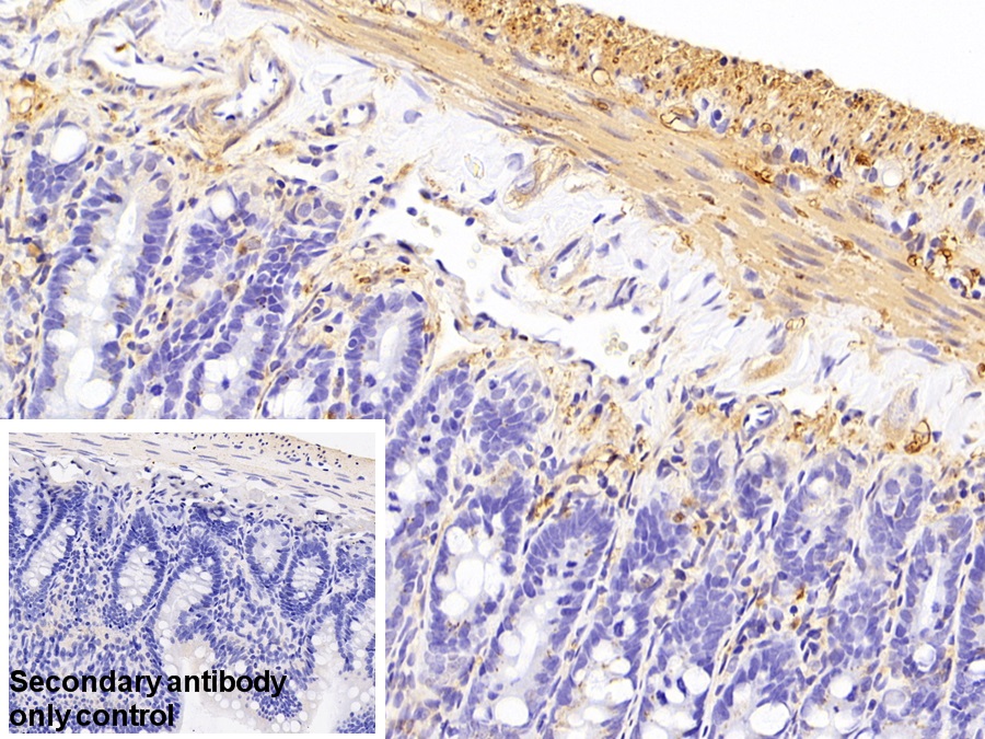
| Валидировано для | IHC WB Иммуногистохимия; Вестерн-блоттинг |
| Рекомендуемые разведения | WB: 0.01-2 мкг/мл; IHC: 5-20 мкг/мл; Оптимальное разведение определяется конечным потребителем |
| Метод очистки | Антигенспецифическая аффинная хроматография с последующей аффинной хроматографией с белком А |
| Состав буфера | 0.01M PBS, pH7.4, 0.05% Proclin-300, 50% глицерин |
| Условия доставки | термобокс с аккумуляторами холода |
| Условия хранения | Сразу после получения аликвотировать и хранить при -20ºС до 24 месяцев. Для частого использования хранить при +4ºС не более 2 недель. Избегать повторения циклов замерзания/оттаивания |
| Срок хранения | 24 месяца |
| Производитель | Cloud-Clone Corp. |
| Ссылка на страницу товара на сайте производителя | http://www.cloud-clone.com/products/PAB106Hu01.html |
|
Артикул
|
Наименование |
Производитель
|
|---|
|
Артикул
|
Наименование |
Производитель
|
|---|
|
Артикул
|
Наименование |
Производитель
|
|---|
|
Артикул
|
Наименование |
Производитель
|
|---|
|
Артикул
|
Наименование |
Производитель
|
|---|
Акции и предложения
Популярные продукты:
InVivoMAb Anti-Mouse B220 Antibody (RA3.3A1/6.1) (VMC34001)
Источник (хозяин): крыса
Реактивность подтвержденная: мышь
Валидировано для: ELISA, FuncS
Реактивность подтвержденная: мышь
Валидировано для: ELISA, FuncS
ELISA Kit for Glutamate Receptor, Ionotropic, AMPA 1 (GRIA1) (SEE801Ra)
Организм: крыса
Диапазон определения: 0.312-20 нг/мл
Чувствительность: 0.061 нг/мл
Диапазон определения: 0.312-20 нг/мл
Чувствительность: 0.061 нг/мл
Monkey Neuropeptide FF receptor 1 ELISA kit (E09N0678)
Организм: обезьяна

