| UNIPROT | O14793 |
| Иммуноген | RPB653Hu01-Recombinant Myostatin (MSTN) |
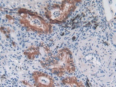
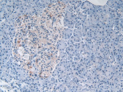
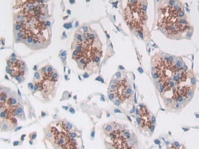
Polyclonal Antibody to Myostatin (MSTN) (PAB653Hu01)
Реактивность подтвержденная:
человек
Источник (хозяин):
кролик
Валидировано для:
IHC
WB
Характеристики
Техническое описание
| Русское название | PAB653Hu01 Поликлональное антитело к MSTN (человек) <Cloud-Clone,Китай> |
| Каталожный номер | PAB653Hu01 |
| Название антигена | Myostatin (MSTN) |
| UNIPROT | O14793 |
| Иммуноген | RPB653Hu01-Recombinant Myostatin (MSTN) |
| Английские синонимы | GDF8, Growth Differentiation Factor 8 |
| Русские синонимы | Фактор роста и дифференцировки 8 |
Реактивность подтвержденная Нужна другая реактивность? |
человек |
| Реактивность предсказываемая | мышь, крыса |
| Источник (хозяин) | кролик |
| Клональность | поликлональное |
| Рекомбинантное | нет |
| Готовое к использованию | нет |
| Концентрация | 0.5 мг/мл |
| Конъюгат | По запросу: HRP, biotin, PerCP, PE, Cy3, FITC, Cy7, Cy5.5, PE-Cy5, PE-Cy7, PerCp-Cy5.5, APC, Cy5, PE-Cy3, PE-Cy5.5, APC-Cy7, Biotin-APC, FITC-Biotin, TRITC, APC-Cy5, AF488, AF594, AF405, AF555, AF700, AF647, AF750 |
| Валидировано для | IHC WB Иммуногистохимия; Вестерн-блоттинг |
| Рекомендуемые разведения | WB: 0.01-3 мкг/мл; IHC: 5-30 мкг/мл; ICC: 5-30 мкг/мл; Оптимальное разведение определяется конечным потребителем |
| Метод очистки | Антигенспецифическая аффинная хроматография с последующей аффинной хроматографией с белком А |
| Состав буфера | PBS, pH7.4, 0.02% NaN3, 50% глицерин |
| Условия доставки | термобокс с аккумуляторами холода |
| Условия хранения | Сразу после получения аликвотировать и хранить при -20ºС до 24 месяцев. Для частого использования хранить при +4ºС не более 2 недель. Избегать повторения циклов замерзания/оттаивания |
| Срок хранения | 24 месяца |
| Производитель | Cloud-Clone Corp. |
| Ссылка на страницу товара на сайте производителя | http://www.cloud-clone.com/products/PAB653Hu01.html |
|
Артикул
|
Наименование |
Производитель
|
|---|
|
Артикул
|
Наименование |
Производитель
|
|---|
|
Артикул
|
Наименование |
Производитель
|
|---|
|
Артикул
|
Наименование |
Производитель
|
|---|
|
Артикул
|
Наименование |
Производитель
|
|---|
|
Артикул
|
Наименование |
Производитель
|
|---|
|
Артикул
|
Наименование |
Производитель
|
|---|
|
Артикул
|
Наименование |
Производитель
|
|---|
|
Артикул
|
Наименование |
Производитель
|
|---|
|
Артикул
|
Наименование |
Производитель
|
|---|
Акции и предложения
Популярные продукты:
Anti-Citrulline Antibody (SAb2283) (RGP15701)
Источник (хозяин): мышь
Реактивность подтвержденная: для всех
Валидировано для: ELISA, SPR
Реактивность подтвержденная: для всех
Валидировано для: ELISA, SPR
Monoclonal Antibody to Perillaldehyde (PA) (MAV865Ge22)
Источник (хозяин): мышь
Реактивность подтвержденная: для всех
Валидировано для: ELISA
Реактивность подтвержденная: для всех
Валидировано для: ELISA
Monkey Cadherin 9(CDH9) ELISA kit (E09C1551)
Организм: обезьяна
Human Cyclin dependent kinase inhibitor 1B(CDKN1B) ELISA kit (E01C1571)
Организм: человек
Sheep Ataxin 7(ATXN7) ELISA kit (E14A1770)
Организм: овца
Porcine Troponin I, fast skeletal muscle(TNNI2) ELISA kit (E07T0719)
Организм: свинья

