| UNIPROT | O35312 |
| Иммуноген | RPB653Ra01-Recombinant Myostatin (MSTN) |
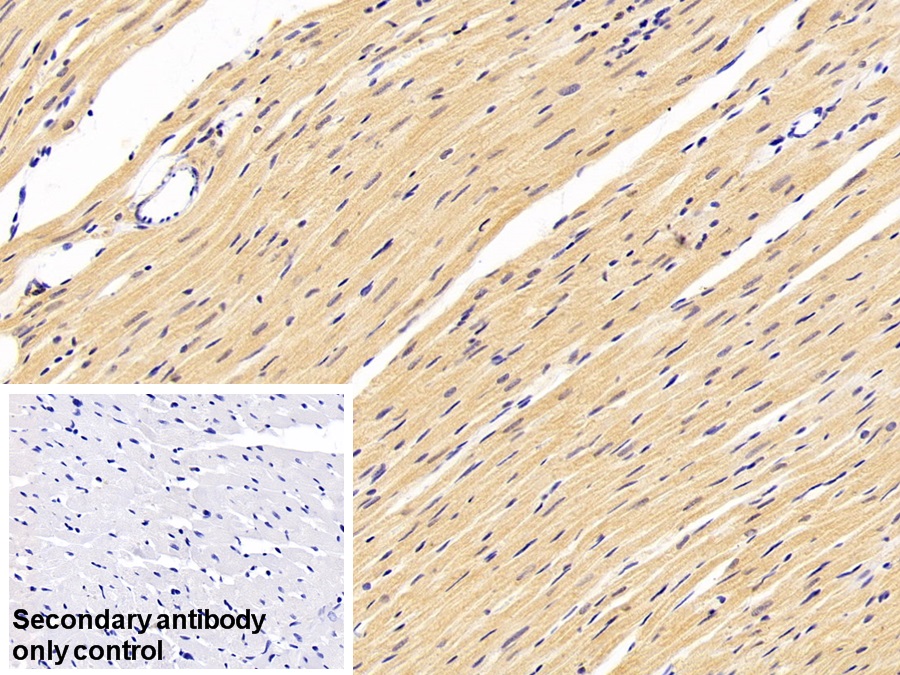
Polyclonal Antibody to Myostatin (MSTN) (PAB653Ra01)
Реактивность подтвержденная:
крыса
Источник (хозяин):
кролик
Валидировано для:
IHC
WB
Характеристики
Техническое описание
| Русское название | PAB653Ra01 Поликлональное антитело к MSTN (крыса) <Cloud-Clone,Китай> |
| Каталожный номер | PAB653Ra01 |
| Название антигена | Myostatin (MSTN) |
| UNIPROT | O35312 |
| Иммуноген | RPB653Ra01-Recombinant Myostatin (MSTN) |
| Английские синонимы | GDF8, Growth Differentiation Factor 8 |
| Русские синонимы | Фактор роста и дифференцировки 8 |
Реактивность подтвержденная Нужна другая реактивность? |
крыса |
| Реактивность предсказываемая | человек |
| Источник (хозяин) | кролик |
| Клональность | поликлональное |
| Рекомбинантное | нет |
| Готовое к использованию | нет |
| Концентрация | 0.5 мг/мл |
| Конъюгат | По запросу: HRP, biotin, PerCP, PE, Cy3, FITC, Cy7, Cy5.5, PE-Cy5, PE-Cy7, PerCp-Cy5.5, APC, Cy5, PE-Cy3, PE-Cy5.5, APC-Cy7, Biotin-APC, FITC-Biotin, TRITC, APC-Cy5, AF488, AF594, AF405, AF555, AF700, AF647, AF750 |
| Валидировано для | IHC WB Иммуногистохимия; Вестерн-блоттинг |
| Рекомендуемые разведения | WB: 0.01-2 мкг/мл; IHC: 5-30 мкг/мл; Оптимальное разведение определяется конечным потребителем |
| Метод очистки | Антигенспецифическая аффинная хроматография с последующей аффинной хроматографией с белком А |
| Состав буфера | 0.01M PBS, pH7.4, 0.05% Proclin-300, 50% глицерин |
| Условия доставки | термобокс с аккумуляторами холода |
| Условия хранения | Сразу после получения аликвотировать и хранить при -20ºС до 24 месяцев. Для частого использования хранить при +4ºС не более 2 недель. Избегать повторения циклов замерзания/оттаивания |
| Срок хранения | 24 месяца |
| Производитель | Cloud-Clone Corp. |
| Ссылка на страницу товара на сайте производителя | http://www.cloud-clone.com/products/PAB653Ra01.html |
|
Артикул
|
Наименование |
Производитель
|
|---|
|
Артикул
|
Наименование |
Производитель
|
|---|
|
Артикул
|
Наименование |
Производитель
|
|---|
|
Артикул
|
Наименование |
Производитель
|
|---|
|
Артикул
|
Наименование |
Производитель
|
|---|
|
Артикул
|
Наименование |
Производитель
|
|---|
|
Артикул
|
Наименование |
Производитель
|
|---|
|
Артикул
|
Наименование |
Производитель
|
|---|
|
Артикул
|
Наименование |
Производитель
|
|---|
|
Артикул
|
Наименование |
Производитель
|
|---|
Акции и предложения
Популярные продукты:
Anti-Citrulline Antibody (SAb2283) (RGP15701)
Источник (хозяин): мышь
Реактивность подтвержденная: для всех
Валидировано для: ELISA, SPR
Реактивность подтвержденная: для всех
Валидировано для: ELISA, SPR
Monkey Cadherin 9(CDH9) ELISA kit (E09C1551)
Организм: обезьяна
Sheep Ataxin 7(ATXN7) ELISA kit (E14A1770)
Организм: овца
Rat Cytohesin 3(CYTH3) ELISA kit (E02C2266)
Организм: крыса
Porcine Translin(TSN) ELISA kit (E07T0740)
Организм: свинья
Goat Taste receptor type 1 member 1 ELISA kit (E06T0882)
Организм: коза

