| UNIPROT | P20591 |
| Иммуноген | RPL763Hu01-Recombinant Myxovirus Resistance 1 (MX1) |
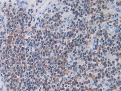
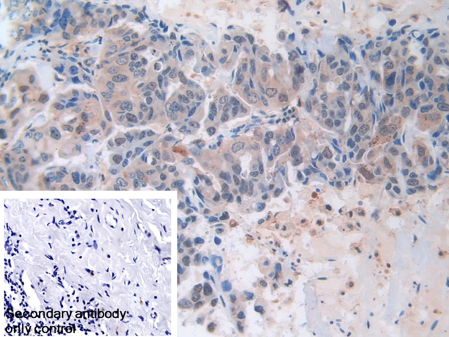
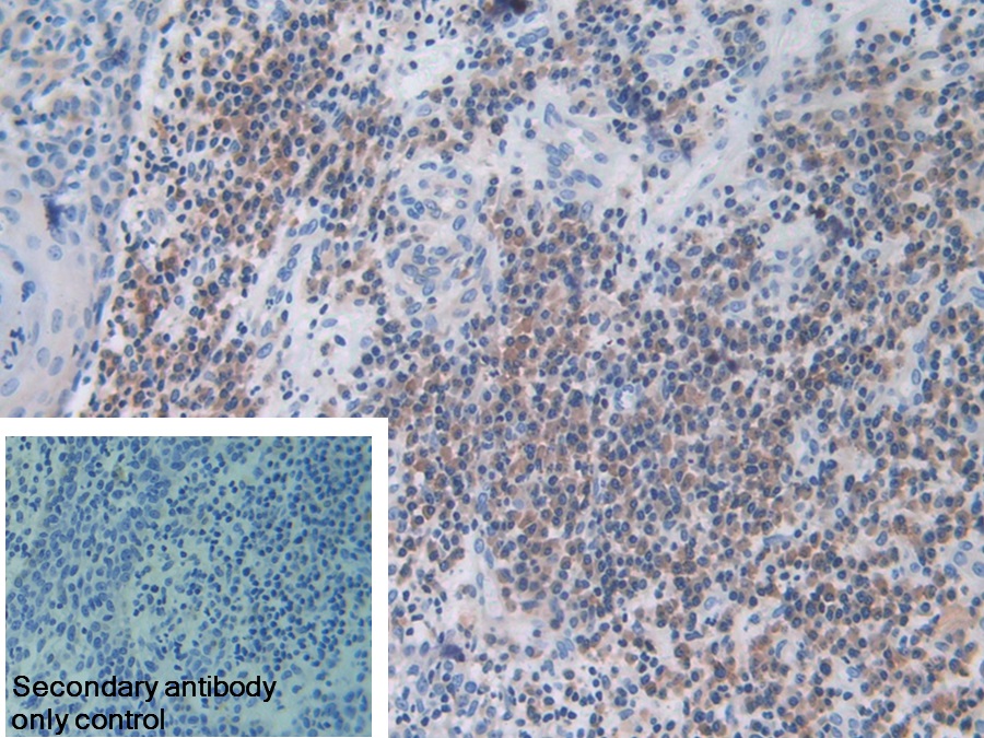
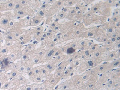
Polyclonal Antibody to Myxovirus Resistance 1 (MX1) (PAL763Hu01)
Реактивность подтвержденная:
человек
Источник (хозяин):
кролик
Валидировано для:
IHC
WB
Характеристики
Техническое описание
| Русское название | PAL763Hu01 Поликлональное антитело к MX1 (человек) <Cloud-Clone,Китай> |
| Каталожный номер | PAL763Hu01 |
| Название антигена | Myxovirus Resistance 1 (MX1) |
| UNIPROT | P20591 |
| Иммуноген | RPL763Hu01-Recombinant Myxovirus Resistance 1 (MX1) |
| Английские синонимы | IFI-78K, IFI78, MX, MxA, Interferon-Inducible Protein p78, Interferon-regulated resistance GTP-binding protein MxA |
Реактивность подтвержденная Нужна другая реактивность? |
человек |
| Реактивность предсказываемая | мышь |
| Источник (хозяин) | кролик |
| Клональность | поликлональное |
| Рекомбинантное | нет |
| Готовое к использованию | нет |
| Концентрация | 0.5 мг/мл |
| Конъюгат | По запросу: HRP, biotin, PerCP, PE, Cy3, FITC, Cy7, Cy5.5, PE-Cy5, PE-Cy7, PerCp-Cy5.5, APC, Cy5, PE-Cy3, PE-Cy5.5, APC-Cy7, Biotin-APC, FITC-Biotin, TRITC, APC-Cy5, AF488, AF594, AF405, AF555, AF700, AF647, AF750 |
| Валидировано для | IHC WB Иммуногистохимия; Вестерн-блоттинг |
| Рекомендуемые разведения | WB: 0.01-5 мкг/мл; IHC: 5-20 мкг/мл; Оптимальное разведение определяется конечным потребителем |
| Метод очистки | Антигенспецифическая аффинная хроматография с последующей аффинной хроматографией с белком А |
| Состав буфера | 0.01M PBS, pH7.4, 0.05% Proclin-300, 50% глицерин |
| Условия доставки | термобокс с аккумуляторами холода |
| Условия хранения | Сразу после получения аликвотировать и хранить при -20ºС до 24 месяцев. Для частого использования хранить при +4ºС не более 2 недель. Избегать повторения циклов замерзания/оттаивания |
| Срок хранения | 24 месяца |
| Производитель | Cloud-Clone Corp. |
| Ссылка на страницу товара на сайте производителя | http://www.cloud-clone.com/products/PAL763Hu01.html |
|
Артикул
|
Наименование |
Производитель
|
|---|
|
Артикул
|
Наименование |
Производитель
|
|---|
|
Артикул
|
Наименование |
Производитель
|
|---|
|
Артикул
|
Наименование |
Производитель
|
|---|
Акции и предложения
Популярные продукты:
Porcine Lymphocyte antigen 86 ELISA kit (E07L1200)
Организм: свинья
Guinea Pig Progesterone receptor membrane component 2 ELISA kit (E05P1255)
Организм: морская свинка
Chicken Metalloreductase STEAP1(STEAP1) ELISA kit (E12M0440)
Организм: курица
Rat Cohesin subunit SA 1(STAG1) ELISA kit (E02C2450)
Организм: крыса
Monkey Carboxypeptidase E(CPE) ELISA kit (E09C1997)
Организм: обезьяна
Canine 40S ribosomal protein S9(RPS9) ELISA kit (E08R0152)
Организм: собака

