| UNIPROT | Q9QWR8 |
| Иммуноген | RPH574Mu01-Recombinant N-Acetylgalactosaminidase Alpha (NAGa) |
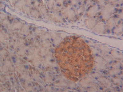
Polyclonal Antibody to N-Acetylgalactosaminidase Alpha (NAGa) (PAH574Mu01)
Реактивность подтвержденная:
мышь
Источник (хозяин):
кролик
Валидировано для:
IHC
WB
Характеристики
Техническое описание
| Русское название | PAH574Mu01 Поликлональное антитело к NAGa (мышь) <Cloud-Clone,Китай> |
| Каталожный номер | PAH574Mu01 |
| Название антигена | N-Acetylgalactosaminidase Alpha (NAGa) |
| UNIPROT | Q9QWR8 |
| Иммуноген | RPH574Mu01-Recombinant N-Acetylgalactosaminidase Alpha (NAGa) |
| Английские синонимы | Alpha-N-Acetylgalactosaminidase, Alpha-galactosidase B, nagalase |
| Русские синонимы | нагалаза |
Реактивность подтвержденная Нужна другая реактивность? |
мышь |
| Реактивность предсказываемая | человек, крыса |
| Источник (хозяин) | кролик |
| Клональность | поликлональное |
| Рекомбинантное | нет |
| Готовое к использованию | нет |
| Концентрация | 1 мг/мл |
| Конъюгат | По запросу: HRP, biotin, PerCP, PE, Cy3, FITC, Cy7, Cy5.5, PE-Cy5, PE-Cy7, PerCp-Cy5.5, APC, Cy5, PE-Cy3, PE-Cy5.5, APC-Cy7, Biotin-APC, FITC-Biotin, TRITC, APC-Cy5, AF488, AF594, AF405, AF555, AF700, AF647, AF750 |
| Валидировано для | IHC WB Иммуногистохимия; Вестерн-блоттинг |
| Рекомендуемые разведения | WB: 0.5-3 мкг/мл; IHC: 5-30 мкг/мл; ICC: 5-30 мкг/мл; Оптимальное разведение определяется конечным потребителем |
| Метод очистки | Антигенспецифическая аффинная хроматография с последующей аффинной хроматографией с белком А |
| Состав буфера | PBS, pH7.4, 0.02% NaN3, 50% глицерин |
| Условия доставки | термобокс с аккумуляторами холода |
| Условия хранения | Сразу после получения аликвотировать и хранить при -20ºС до 24 месяцев. Для частого использования хранить при +4ºС не более 2 недель. Избегать повторения циклов замерзания/оттаивания |
| Срок хранения | 24 месяца |
| Производитель | Cloud-Clone Corp. |
| Ссылка на страницу товара на сайте производителя | http://www.cloud-clone.com/products/PAH574Mu01.html |
|
Артикул
|
Наименование |
Производитель
|
|---|
|
Артикул
|
Наименование |
Производитель
|
|---|
|
Артикул
|
Наименование |
Производитель
|
|---|
|
Артикул
|
Наименование |
Производитель
|
|---|
Акции и предложения
Популярные продукты:
Porcine Utrophin ELISA kit (E07U0030)
Организм: свинья
Canine Calpain 10(CAPN10) ELISA kit (E08C1354)
Организм: собака
Anti-Mouse EPOR Antibody (Fs0378), PE (FMD32813)
Источник (хозяин): мышь
Реактивность подтвержденная: мышь
Валидировано для: ELISA, FCM
Реактивность подтвержденная: мышь
Валидировано для: ELISA, FCM
ELISA Kit DIY Materials for Granzyme K (GZMK) (KSB209Mu01)
Организм: мышь
Диапазон определения: 0.156-10 нг/мл
Чувствительность: 0.054 нг/мл
Диапазон определения: 0.156-10 нг/мл
Чувствительность: 0.054 нг/мл
Monkey Phosphoenolpyruvic acid (PEP) ELISA kit (E09P1086)
Организм: обезьяна
Chicken phosphatidylcholine ELISA kit (E12P1058)
Организм: курица

