| UNIPROT | P19022 |
| Иммуноген | RPB481Hu02-Recombinant N-cadherin (NCAD) |
Polyclonal Antibody to N-cadherin (NCAD) (PAB481Hu02)
Реактивность подтвержденная:
человек
Источник (хозяин):
кролик
Валидировано для:
IHC
WB
Характеристики
Техническое описание
| Русское название | PAB481Hu02 Поликлональное антитело к NCAD (человек) <Cloud-Clone,Китай> |
| Каталожный номер | PAB481Hu02 |
| Название антигена | Cadherin, Neuronal (CDH2) |
| UNIPROT | P19022 |
| Иммуноген | RPB481Hu02-Recombinant N-cadherin (NCAD) |
| Английские синонимы | CDw325, CD325, CD 325, CD-325, CDHN, NCAD, Cadherin 2 Type 1, N-Cadherin |
| Русские синонимы | Нейрональный кадгерин, кадгерин-2, 1-го типа |
Реактивность подтвержденная Нужна другая реактивность? |
человек |
| Реактивность предсказываемая | мышь |
| Источник (хозяин) | кролик |
| Клональность | поликлональное |
| Рекомбинантное | нет |
| Готовое к использованию | нет |
| Концентрация | 0.39 мг/мл |
| Конъюгат | По запросу: HRP, biotin, PerCP, PE, Cy3, FITC, Cy7, Cy5.5, PE-Cy5, PE-Cy7, PerCp-Cy5.5, APC, Cy5, PE-Cy3, PE-Cy5.5, APC-Cy7, Biotin-APC, FITC-Biotin, TRITC, APC-Cy5, AF488, AF594, AF405, AF555, AF700, AF647, AF750 |
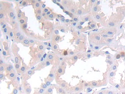
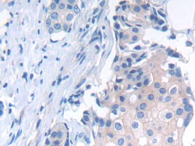
| Валидировано для | IHC WB Иммуногистохимия; Вестерн-блоттинг |
| Рекомендуемые разведения | WB: 0.5-3 мкг/мл; IHC: 5-30 мкг/мл; ICC: 5-30 мкг/мл; Оптимальное разведение определяется конечным потребителем |
| Метод очистки | Антигенспецифическая аффинная хроматография с последующей аффинной хроматографией с белком А |
| Состав буфера | 0.01M PBS, pH7.4, 0.05% Proclin-300, 50% глицерин |
| Условия доставки | термобокс с аккумуляторами холода |
| Условия хранения | Сразу после получения аликвотировать и хранить при -20ºС до 24 месяцев. Для частого использования хранить при +4ºС не более 2 недель. Избегать повторения циклов замерзания/оттаивания |
| Срок хранения | 24 месяца |
| Производитель | Cloud-Clone Corp. |
| Ссылка на страницу товара на сайте производителя | http://www.cloud-clone.com/products/PAB481Hu02.html |
|
Артикул
|
Наименование |
Производитель
|
|---|
|
Артикул
|
Наименование |
Производитель
|
|---|
|
Артикул
|
Наименование |
Производитель
|
|---|
|
Артикул
|
Наименование |
Производитель
|
|---|
|
Артикул
|
Наименование |
Производитель
|
|---|
Акции и предложения
Популярные продукты:
Guinea Pig CLIP associating protein 2(CLASP2) ELISA kit (E05C1750)
Организм: морская свинка
Chicken Cytochrome b5 reductase 4(CYB5R4) ELISA kit (E12C2209)
Организм: курица
Recombinant Human PDPN/Podoplanin Protein, N-His-KSI (YHJ17402)
Источник (хозяин): E.coli
Организм: человек
Фрагмент: Ala23-Leu131
Теги: N-His-KSI
Биоактивность: нет
Организм: человек
Фрагмент: Ala23-Leu131
Теги: N-His-KSI
Биоактивность: нет
Fluor® Red 780 Anti-Human CD39 Antibody[A1] (FCE3073)
Источник (хозяин): мышь
Реактивность подтвержденная: человек
Валидировано для: FCM
Реактивность подтвержденная: человек
Валидировано для: FCM
Anti-PDPN/Podoplanin Antibody (R2J04) (RHJ17403)
Источник (хозяин): кролик
Реактивность подтвержденная: человек
Валидировано для: IHC, WB
Реактивность подтвержденная: человек
Валидировано для: IHC, WB

