| UNIPROT | P29372 |
| Иммуноген | RPH625Hu01-Recombinant N-Methylpurine DNA Glycosylase (MPG) |
Polyclonal Antibody to N-Methylpurine DNA Glycosylase (MPG) (PAH625Hu01)
Реактивность подтвержденная:
человек
Источник (хозяин):
кролик
Валидировано для:
IHC
WB
Характеристики
Техническое описание
| Русское название | PAH625Hu01 Поликлональное антитело к MPG (человек) <Cloud-Clone,Китай> |
| Каталожный номер | PAH625Hu01 |
| Название антигена | N-Methylpurine DNA Glycosylase (MPG) |
| UNIPROT | P29372 |
| Иммуноген | RPH625Hu01-Recombinant N-Methylpurine DNA Glycosylase (MPG) |
| Английские синонимы | AAG, APNG, ADPG, CRA36.1, MDG, Mid1, PIG11, PIG16, Anpg, DNA-3-Methyladenine Glycosylase, Alkyladenine DNA Glycosylase, 3-alkyladenine DNA glycosylase |
Реактивность подтвержденная Нужна другая реактивность? |
человек |
| Реактивность предсказываемая | мышь, крыса |
| Источник (хозяин) | кролик |
| Клональность | поликлональное |
| Рекомбинантное | нет |
| Готовое к использованию | нет |
| Концентрация | 500 мкг/мл |
| Конъюгат | По запросу: HRP, biotin, PerCP, PE, Cy3, FITC, Cy7, Cy5.5, PE-Cy5, PE-Cy7, PerCp-Cy5.5, APC, Cy5, PE-Cy3, PE-Cy5.5, APC-Cy7, Biotin-APC, FITC-Biotin, TRITC, APC-Cy5, AF488, AF594, AF405, AF555, AF700, AF647, AF750 |
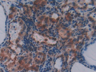
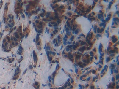
| Валидировано для | IHC WB Иммуногистохимия; Вестерн-блоттинг |
| Рекомендуемые разведения | WB: 1-5 мкг/мл; ICC (фиксация формалином): 5-20 мкг/мл; IHC (замороженные срезы): 5-20 мкг/мл; IHC (парафиновые срезы): 5-20 мкг/мл; ELISA: 0.05-2 мкг/мл; Оптимальное разведение определяется конечным потребителем |
| Метод очистки | Антигенспецифическая аффинная хроматография с последующей аффинной хроматографией с белком А |
| Состав буфера | 0.01M PBS, pH7.4, 0.05% Proclin-300, 50% глицерин |
| Условия доставки | термобокс с аккумуляторами холода |
| Условия хранения | Сразу после получения аликвотировать и хранить при -20ºС до 24 месяцев. Для частого использования хранить при +4ºС не более 2 недель. Избегать повторения циклов замерзания/оттаивания |
| Срок хранения | 24 месяца |
| Производитель | Cloud-Clone Corp. |
| Ссылка на страницу товара на сайте производителя | http://www.cloud-clone.com/products/PAH625Hu01.html |
|
Артикул
|
Наименование |
Производитель
|
|---|
|
Артикул
|
Наименование |
Производитель
|
|---|
|
Артикул
|
Наименование |
Производитель
|
|---|
|
Артикул
|
Наименование |
Производитель
|
|---|
Акции и предложения
Популярные продукты:
Sheep Argininosuccinate lyase(ASL) ELISA kit (E14A1722)
Организм: овца
Bovine N-Methylpurine DNA Glycosylase ELISA kit (E11M1059)
Организм: корова
Rat Allograft Inflammatory Factor 1 ELISA kit (E02A0627)
Организм: крыса
Recombinant Mouse Ctla4 Protein(His Tag) (PDMM100100)
Источник (хозяин): клетки млекопитающих
Организм: мышь
Фрагмент: Glu36-Asp161
Теги: C-His
Биоактивность: нет
Организм: мышь
Фрагмент: Glu36-Asp161
Теги: C-His
Биоактивность: нет
Recombinant Mouse CTLA-4/CD152 Protein(Fc Tag) (PDMM100061)
Источник (хозяин): клетки млекопитающих
Организм: мышь
Фрагмент: Glu36-Asp161
Теги: C-Fc
Биоактивность: нет
Организм: мышь
Фрагмент: Glu36-Asp161
Теги: C-Fc
Биоактивность: нет
Recombinant Rat C4a protein(GST tag) (PDER100169)
Источник (хозяин): E.coli
Организм: крыса
Фрагмент: Asn678-Arg753
Теги: N-GST
Биоактивность: нет
Организм: крыса
Фрагмент: Asn678-Arg753
Теги: N-GST
Биоактивность: нет

