| UNIPROT | P15559 |
| Иммуноген | RPL969Hu01-Recombinant NADH Dehydrogenase, Quinone 1 (NQO1) |
Polyclonal Antibody to NADH Dehydrogenase, Quinone 1 (NQO1) (PAL969Hu01)
Реактивность подтвержденная:
человек
Источник (хозяин):
кролик
Валидировано для:
FCM
IHC
WB
Характеристики
Техническое описание
| Русское название | PAL969Hu01 Поликлональное антитело к NQO1 (человек) <Cloud-Clone,Китай> |
| Каталожный номер | PAL969Hu01 |
| Название антигена | NADH Dehydrogenase, Quinone 1 (NQO1) |
| UNIPROT | P15559 |
| Иммуноген | RPL969Hu01-Recombinant NADH Dehydrogenase, Quinone 1 (NQO1) |
| Английские синонимы | DHQU, DIA4, DTD, NMOR1, NMORI, QR1, Azoreductase, DT-diaphorase, Menadione reductase, Phylloquinone reductase, Quinone reductase 1, NAD(P)H:quinone oxidoreductase 1 |
Реактивность подтвержденная Нужна другая реактивность? |
человек |
| Реактивность предсказываемая | мышь, крыса |
| Источник (хозяин) | кролик |
| Клональность | поликлональное |
| Рекомбинантное | нет |
| Готовое к использованию | нет |
| Концентрация | 0.5 мг/мл |
| Конъюгат | По запросу: HRP, biotin, PerCP, PE, Cy3, FITC, Cy7, Cy5.5, PE-Cy5, PE-Cy7, PerCp-Cy5.5, APC, Cy5, PE-Cy3, PE-Cy5.5, APC-Cy7, Biotin-APC, FITC-Biotin, TRITC, APC-Cy5, AF488, AF594, AF405, AF555, AF700, AF647, AF750 |
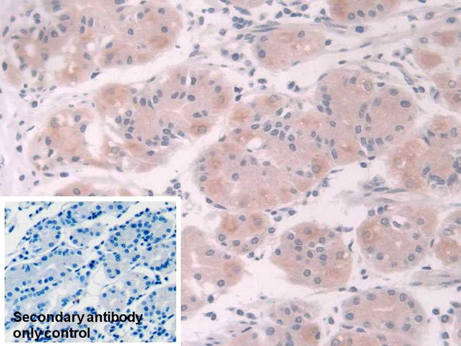
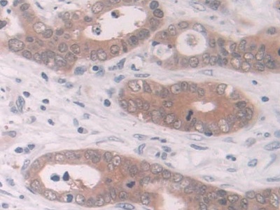
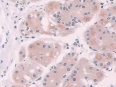
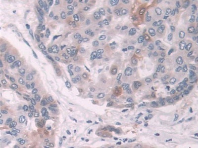
| Валидировано для | FCM IHC WB Проточная цитометрия; Иммуногистохимия; Вестерн-блоттинг |
| Рекомендуемые разведения | WB: 0.01-2 мкг/мл; IHC: 5-20 мкг/мл; ICC: 5-20 мкг/мл; FCM: 20 мкг/мл; Оптимальное разведение определяется конечным потребителем |
| Метод очистки | Антигенспецифическая аффинная хроматография с последующей аффинной хроматографией с белком А |
| Состав буфера | 0.01M PBS, pH7.4, 0.05% Proclin-300, 50% глицерин |
| Условия доставки | термобокс с аккумуляторами холода |
| Условия хранения | Сразу после получения аликвотировать и хранить при -20ºС до 24 месяцев. Для частого использования хранить при +4ºС не более 2 недель. Избегать повторения циклов замерзания/оттаивания |
| Срок хранения | 24 месяца |
| Производитель | Cloud-Clone Corp. |
| Ссылка на страницу товара на сайте производителя | http://www.cloud-clone.com/products/PAL969Hu01.html |
|
Артикул
|
Наименование |
Производитель
|
|---|
|
Артикул
|
Наименование |
Производитель
|
|---|
|
Артикул
|
Наименование |
Производитель
|
|---|
|
Артикул
|
Наименование |
Производитель
|
|---|
|
Артикул
|
Наименование |
Производитель
|
|---|
|
Артикул
|
Наименование |
Производитель
|
|---|
Акции и предложения
Популярные продукты:
Porcine Spermine ELISA kit (E07S0034)
Организм: свинья
Goat Glutathione ELISA kit (E06G0233)
Организм: коза
KRIBIOLISA Anti Ipilimumab (YERVOY) ELISA (KBI2025)
Организм: человек
Диапазон определения: 0 - 2000 нг/мл
Чувствительность: 15 нг/мл
Диапазон определения: 0 - 2000 нг/мл
Чувствительность: 15 нг/мл
Anti-Human herpesvirus UL37 Antibody (R4A69) (RVV45002)
Источник (хозяин): мышь
Реактивность подтвержденная: вирусы
Валидировано для: ELISA, FCM, IF
Реактивность подтвержденная: вирусы
Валидировано для: ELISA, FCM, IF
Anti-RISP/UQCRFS1 Antibody (R3L66) (RHE54003)
Источник (хозяин): мышь
Реактивность подтвержденная: человек
Валидировано для: ELISA, FCM, IF, WB
Реактивность подтвержденная: человек
Валидировано для: ELISA, FCM, IF, WB

