| UNIPROT | Q99435 |
| Иммуноген | RPL934Hu01-Recombinant NEL Like Protein 2 (NELL2) |
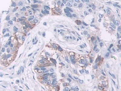
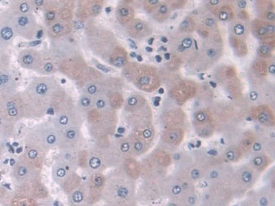
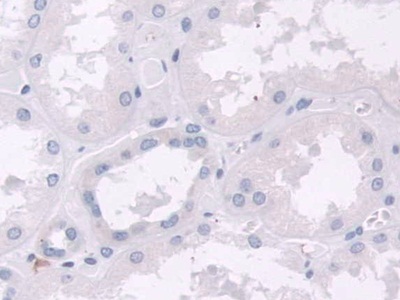
Polyclonal Antibody to NEL Like Protein 2 (NELL2) (PAL934Hu01)
Реактивность подтвержденная:
человек
Источник (хозяин):
кролик
Валидировано для:
IHC
Характеристики
Техническое описание
| Русское название | PAL934Hu01 Поликлональное антитело к NELL2 (человек) <Cloud-Clone,Китай> |
| Каталожный номер | PAL934Hu01 |
| Название антигена | NEL Like Protein 2 (NELL2) |
| UNIPROT | Q99435 |
| Иммуноген | RPL934Hu01-Recombinant NEL Like Protein 2 (NELL2) |
| Английские синонимы | NRP2, Nel-related protein 2, Protein kinase C-binding protein NELL2 |
Реактивность подтвержденная Нужна другая реактивность? |
человек |
| Реактивность предсказываемая | мышь, крыса |
| Источник (хозяин) | кролик |
| Клональность | поликлональное |
| Рекомбинантное | нет |
| Готовое к использованию | нет |
| Концентрация | 0.5 мг/мл |
| Конъюгат | По запросу: HRP, biotin, PerCP, PE, Cy3, FITC, Cy7, Cy5.5, PE-Cy5, PE-Cy7, PerCp-Cy5.5, APC, Cy5, PE-Cy3, PE-Cy5.5, APC-Cy7, Biotin-APC, FITC-Biotin, TRITC, APC-Cy5, AF488, AF594, AF405, AF555, AF700, AF647, AF750 |
| Валидировано для | IHC Иммуногистохимия |
| Рекомендуемые разведения | WB: 0.5-2 мкг/мл; IHC: 5-20 мкг/мл; ICC: 5-20 мкг/мл; Оптимальное разведение определяется конечным потребителем |
| Метод очистки | Антигенспецифическая аффинная хроматография с последующей аффинной хроматографией с белком А |
| Состав буфера | PBS, pH7.4, 0.02% NaN3, 50% глицерин |
| Условия доставки | термобокс с аккумуляторами холода |
| Условия хранения | Сразу после получения аликвотировать и хранить при -20ºС до 24 месяцев. Для частого использования хранить при +4ºС не более 2 недель. Избегать повторения циклов замерзания/оттаивания |
| Срок хранения | 24 месяца |
| Производитель | Cloud-Clone Corp. |
| Ссылка на страницу товара на сайте производителя | http://www.cloud-clone.com/products/PAL934Hu01.html |
|
Артикул
|
Наименование |
Производитель
|
|---|
|
Артикул
|
Наименование |
Производитель
|
|---|
Акции и предложения
Популярные продукты:
Porcine 14 3 3 protein zeta/delta(YWHAZ) ELISA kit (E07P0216)
Организм: свинья
Recombinant Human VCL/Vinculin Protein (His Tag) (PKSH031929)
Источник (хозяин): HEK293
Организм: человек
Фрагмент: Met 1-Gln 1066
Теги: C-His
Биоактивность: нет
Организм: человек
Фрагмент: Met 1-Gln 1066
Теги: C-His
Биоактивность: нет
Recombinant Human SLC22A6 Protein, N-His-SUMO (YHH81201)
Источник (хозяин): E.coli
Организм: человек
Фрагмент: Thr41-Arg131
Теги: N-His-SUMO
Биоактивность: нет
Организм: человек
Фрагмент: Thr41-Arg131
Теги: N-His-SUMO
Биоактивность: нет
Polyclonal Antibody to Cluster of Differentiation 59 (CD59) (PAB336Hu01)
Источник (хозяин): кролик
Реактивность подтвержденная: человек
Валидировано для: IHC, WB
Реактивность подтвержденная: человек
Валидировано для: IHC, WB
Polyclonal Antibody to NEL Like Protein 2 (NELL2) (PAL934Hu01)
Источник (хозяин): кролик
Реактивность подтвержденная: человек
Валидировано для: IHC
Реактивность подтвержденная: человек
Валидировано для: IHC
Anti-Cluster of Differentiation 59 (CD59) Monoclonal Antibody (FAB336Hu02)
Источник (хозяин): мышь
Реактивность подтвержденная: человек
Валидировано для: FCM
Реактивность подтвержденная: человек
Валидировано для: FCM

