| UNIPROT | P07861 |
| Иммуноген | RPB785Ra02-Recombinant Neprilysin (CD10) |
Polyclonal Antibody to Neprilysin (CD10) (PAB785Ra02)
Реактивность подтвержденная:
крыса
Источник (хозяин):
кролик
Валидировано для:
IHC
Характеристики
Техническое описание
| Русское название | PAB785Ra02 Поликлональное антитело к CD10 (крыса) <Cloud-Clone,Китай> |
| Каталожный номер | PAB785Ra02 |
| Название антигена | Neprilysin (NEP) - CD10 |
| UNIPROT | P07861 |
| Иммуноген | RPB785Ra02-Recombinant Neprilysin (CD10) |
| Английские синонимы | CD10, CD 10, CD-10, MME, CALLA, SFE, Atriopeptidase, Enkephalinase, Skin fibroblast elastase, Common Acute Lymphoblastic Leukemia Antigen, Membrane Metallo-Endopeptidase |
Реактивность подтвержденная Нужна другая реактивность? |
крыса |
| Реактивность предсказываемая | человек, мышь |
| Источник (хозяин) | кролик |
| Клональность | поликлональное |
| Рекомбинантное | нет |
| Готовое к использованию | нет |
| Концентрация | 500 мкг/мл |
| Конъюгат | По запросу: HRP, biotin, PerCP, PE, Cy3, FITC, Cy7, Cy5.5, PE-Cy5, PE-Cy7, PerCp-Cy5.5, APC, Cy5, PE-Cy3, PE-Cy5.5, APC-Cy7, Biotin-APC, FITC-Biotin, TRITC, APC-Cy5, AF488, AF594, AF405, AF555, AF700, AF647, AF750 |
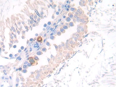
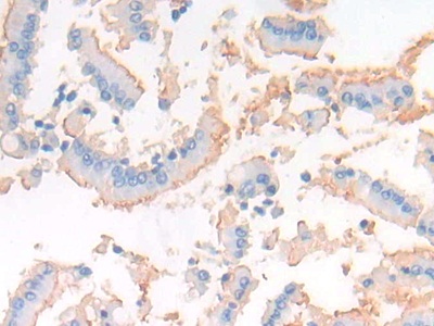
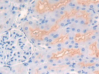
| Валидировано для | IHC Иммуногистохимия |
| Рекомендуемые разведения | WB: 0.5-2 мкг/мл; IHC: 5-20 мкг/мл; ICC: 5-20 мкг/мл; Оптимальное разведение определяется конечным потребителем |
| Метод очистки | Антигенспецифическая аффинная хроматография с последующей аффинной хроматографией с белком А |
| Состав буфера | 0.01M PBS, pH7.4, 0.05% Proclin-300, 50% глицерин |
| Условия доставки | термобокс с аккумуляторами холода |
| Условия хранения | Сразу после получения аликвотировать и хранить при -20ºС до 24 месяцев. Для частого использования хранить при +4ºС не более 2 недель. Избегать повторения циклов замерзания/оттаивания |
| Срок хранения | 24 месяца |
| Производитель | Cloud-Clone Corp. |
| Ссылка на страницу товара на сайте производителя | http://www.cloud-clone.com/products/PAB785Ra02.html |
|
Артикул
|
Наименование |
Производитель
|
|---|
|
Артикул
|
Наименование |
Производитель
|
|---|
|
Артикул
|
Наименование |
Производитель
|
|---|
|
Артикул
|
Наименование |
Производитель
|
|---|
Акции и предложения
Популярные продукты:
ELISA Kit DIY Materials for Colony Stimulating Factor 1, Macrophage (MCSF) (KSA090Hu01)
Организм: человек
Диапазон определения: 15.6-1000 пг/мл
Чувствительность: 5.5 пг/мл
Диапазон определения: 15.6-1000 пг/мл
Чувствительность: 5.5 пг/мл
Monkey Endoribonuclease Dicer ELISA Kit (E09D0330)
Организм: обезьяна
Guinea Pig Transcriptional activator GLI3(GLI3) ELISA kit (E05T0618)
Организм: морская свинка
Chicken Fibrinogen Like Protein 1 ELISA kit (E12F0080)
Организм: курица
Sheep Regucalcin(RGN) ELISA kit (E14R0407)
Организм: овца

