| UNIPROT | P81117 |
| Иммуноген | RPA242Mu01-Recombinant Nesfatin 1 (NES1) |
Polyclonal Antibody to Nesfatin 1 (NES1) (PAA242Mu01)
Реактивность подтвержденная:
мышь
Источник (хозяин):
кролик
Валидировано для:
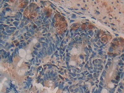
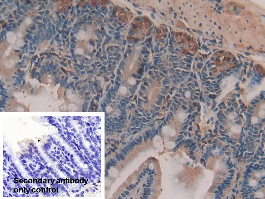
IHC
WB
Характеристики
Техническое описание
| Русское название | PAA242Mu01 Поликлональное антитело к NES1 (мышь) <Cloud-Clone,Китай> |
| Каталожный номер | PAA242Mu01 |
| Название антигена | Nesfatin 1 (NES1) |
| UNIPROT | P81117 |
| Иммуноген | RPA242Mu01-Recombinant Nesfatin 1 (NES1) |
Реактивность подтвержденная Нужна другая реактивность? |
мышь |
| Источник (хозяин) | кролик |
| Клональность | поликлональное |
| Рекомбинантное | нет |
| Готовое к использованию | нет |
| Концентрация | 500 мкг/мл |
| Конъюгат | По запросу: HRP, biotin, PerCP, PE, Cy3, FITC, Cy7, Cy5.5, PE-Cy5, PE-Cy7, PerCp-Cy5.5, APC, Cy5, PE-Cy3, PE-Cy5.5, APC-Cy7, Biotin-APC, FITC-Biotin, TRITC, APC-Cy5, AF488, AF594, AF405, AF555, AF700, AF647, AF750 |
| Валидировано для | IHC WB Иммуногистохимия; Вестерн-блоттинг |
| Рекомендуемые разведения | WB: 0.5-2 мкг/мл; IHC: 5-20 мкг/мл; ICC: 5-20 мкг/мл; Оптимальное разведение определяется конечным потребителем |
| Метод очистки | Антигенспецифическая аффинная хроматография с последующей аффинной хроматографией с белком А |
| Состав буфера | PBS, pH7.4, 0.02% NaN3, 50% глицерин |
| Условия доставки | термобокс с аккумуляторами холода |
| Условия хранения | Сразу после получения аликвотировать и хранить при -20ºС до 24 месяцев. Для частого использования хранить при +4ºС не более 2 недель. Избегать повторения циклов замерзания/оттаивания |
| Срок хранения | 24 месяца |
| Производитель | Cloud-Clone Corp. |
| Ссылка на страницу товара на сайте производителя | http://www.cloud-clone.com/products/PAA242Mu01.html |
|
Артикул
|
Наименование |
Производитель
|
|---|
|
Артикул
|
Наименование |
Производитель
|
|---|
Акции и предложения
Популярные продукты:
ELISA Kit for Malondialdehyde (MDA) (CEA597Ge)
Организм: для всех
Диапазон определения: 24.69-2000 нг/мл
Чувствительность: 8.84 нг/мл
Диапазон определения: 24.69-2000 нг/мл
Чувствительность: 8.84 нг/мл
ELISA Kit for Glutamate Receptor, Ionotropic, AMPA 1 (GRIA1) (SEE801Ra)
Организм: крыса
Диапазон определения: 0.312-20 нг/мл
Чувствительность: 0.061 нг/мл
Диапазон определения: 0.312-20 нг/мл
Чувствительность: 0.061 нг/мл
Chicken Cdc42 effector protein 3(CDC42EP3) ELISA kit (E12C1517)
Организм: курица
Rat Tetraspanin-7 ELISA kit (E02T0951)
Организм: крыса

