| UNIPROT | P43322 |
| Иммуноген | RPB866Ra02-Recombinant Neuregulin 1 (NRG1) |
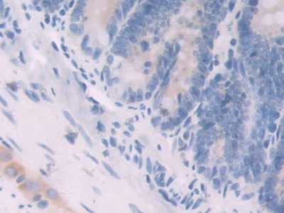
Polyclonal Antibody to Neuregulin 1 (NRG1) (PAB866Ra02)
Реактивность подтвержденная:
крыса
Источник (хозяин):
кролик
Валидировано для:
IHC
Характеристики
Техническое описание
| Русское название | PAB866Ra02 Поликлональное антитело к NRG1 (крыса) <Cloud-Clone,Китай> |
| Каталожный номер | PAB866Ra02 |
| Название антигена | Neuregulin 1 (NRG1) |
| UNIPROT | P43322 |
| Иммуноген | RPB866Ra02-Recombinant Neuregulin 1 (NRG1) |
| Английские синонимы | ARIA, GGF, HGL, HRG, HRGA, NDF, SMDF, Acetylcholine receptor-inducing activity, Glial growth factor, Heregulin, Neu differentiation factor, Sensory and motor neuron-derived factor |
Реактивность подтвержденная Нужна другая реактивность? |
крыса |
| Реактивность предсказываемая | человек, мышь |
| Источник (хозяин) | кролик |
| Клональность | поликлональное |
| Рекомбинантное | нет |
| Готовое к использованию | нет |
| Концентрация | 500 мкг/мл |
| Конъюгат | По запросу: HRP, biotin, PerCP, PE, Cy3, FITC, Cy7, Cy5.5, PE-Cy5, PE-Cy7, PerCp-Cy5.5, APC, Cy5, PE-Cy3, PE-Cy5.5, APC-Cy7, Biotin-APC, FITC-Biotin, TRITC, APC-Cy5, AF488, AF594, AF405, AF555, AF700, AF647, AF750 |
| Валидировано для | IHC Иммуногистохимия |
| Рекомендуемые разведения | WB: 0.2-2 мкг/мл; 1:250-2500; IHC: 5-20 мкг/мл; 1:25-100; ICC: 5-20 мкг/мл; 1:25-100; Оптимальное разведение определяется конечным потребителем |
| Метод очистки | Антигенспецифическая аффинная хроматография с последующей аффинной хроматографией с белком А |
| Состав буфера | 0.01M PBS, pH7.4, 0.05% Proclin-300, 50% глицерин |
| Условия доставки | термобокс с аккумуляторами холода |
| Условия хранения | Сразу после получения аликвотировать и хранить при -20ºС до 24 месяцев. Для частого использования хранить при +4ºС не более 2 недель. Избегать повторения циклов замерзания/оттаивания |
| Срок хранения | 24 месяца |
| Производитель | Cloud-Clone Corp. |
| Ссылка на страницу товара на сайте производителя | http://www.cloud-clone.com/products/PAB866Ra02.html |
|
Артикул
|
Наименование |
Производитель
|
|---|
|
Артикул
|
Наименование |
Производитель
|
|---|
|
Артикул
|
Наименование |
Производитель
|
|---|
|
Артикул
|
Наименование |
Производитель
|
|---|
|
Артикул
|
Наименование |
Производитель
|
|---|
|
Артикул
|
Наименование |
Производитель
|
|---|
Акции и предложения
Популярные продукты:
Monoclonal Antibody to Activating Transcription Factor 4 (ATF4) (MAB385Ra22)
Источник (хозяин): мышь
Реактивность подтвержденная: крыса
Валидировано для: WB
Реактивность подтвержденная: крыса
Валидировано для: WB
Monoclonal Antibody to Lactate Dehydrogenase B (LDHB) (MAB698Ra27)
Источник (хозяин): мышь
Реактивность подтвержденная: крыса
Валидировано для: WB
Реактивность подтвержденная: крыса
Валидировано для: WB
Porcine Cyclin dependent kinase like 3(CDKL3) ELISA kit (E07C1567)
Организм: свинья
Guinea Pig Cyclin dependent kinase like 3(CDKL3) ELISA kit (E05C1567)
Организм: морская свинка

