| UNIPROT | P43322 |
| Иммуноген | RPB866Ra04-Recombinant Neuregulin 1 (NRG1) |
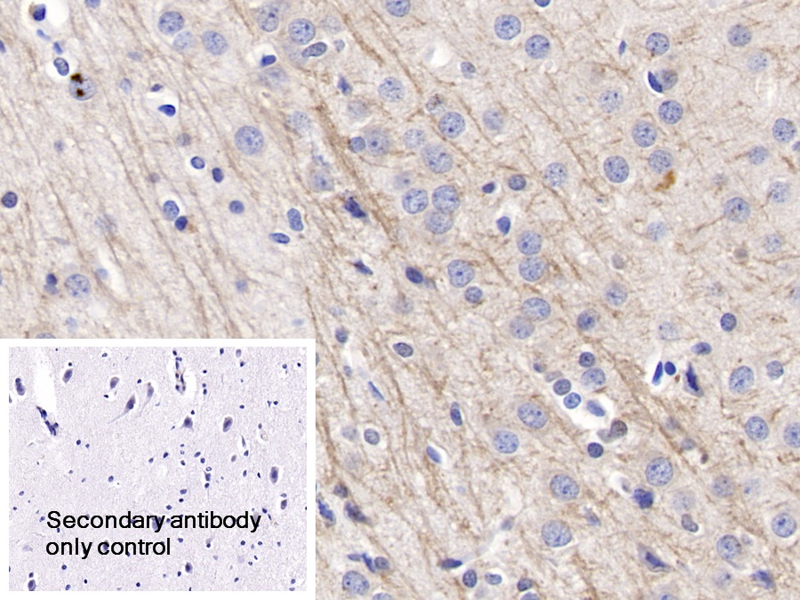
Polyclonal Antibody to Neuregulin 1 (NRG1) (PAB866Ra04)
Реактивность подтвержденная:
крыса
Источник (хозяин):
кролик
Валидировано для:
IHC
WB
Характеристики
Техническое описание
| Русское название | PAB866Ra04 Поликлональное антитело к NRG1 (крыса) <Cloud-Clone,Китай> |
| Каталожный номер | PAB866Ra04 |
| Название антигена | Neuregulin 1 (NRG1) |
| UNIPROT | P43322 |
| Иммуноген | RPB866Ra04-Recombinant Neuregulin 1 (NRG1) |
| Английские синонимы | ARIA, GGF, HGL, HRG, HRGA, NDF, SMDF, Acetylcholine receptor-inducing activity, Glial growth factor, Heregulin, Neu differentiation factor, Sensory and motor neuron-derived factor |
Реактивность подтвержденная Нужна другая реактивность? |
крыса |
| Реактивность предсказываемая | крыса |
| Источник (хозяин) | кролик |
| Клональность | поликлональное |
| Рекомбинантное | нет |
| Готовое к использованию | нет |
| Концентрация | 0.69 мг/мл |
| Конъюгат | По запросу: HRP, biotin, PerCP, PE, Cy3, FITC, Cy7, Cy5.5, PE-Cy5, PE-Cy7, PerCp-Cy5.5, APC, Cy5, PE-Cy3, PE-Cy5.5, APC-Cy7, Biotin-APC, FITC-Biotin, TRITC, APC-Cy5, AF488, AF594, AF405, AF555, AF700, AF647, AF750 |
| Валидировано для | IHC WB Иммуногистохимия; Вестерн-блоттинг |
| Рекомендуемые разведения | WB: 0.5-2 мкг/мл; IHC: 5-20 мкг/мл; ICC: 5-20 мкг/мл; Оптимальное разведение определяется конечным потребителем |
| Метод очистки | Антигенспецифическая аффинная хроматография с последующей аффинной хроматографией с белком А |
| Состав буфера | 0.01M PBS, pH7.4, 0.05% Proclin-300, 50% глицерин |
| Условия доставки | термобокс с аккумуляторами холода |
| Условия хранения | Сразу после получения аликвотировать и хранить при -20ºС до 24 месяцев. Для частого использования хранить при +4ºС не более 2 недель. Избегать повторения циклов замерзания/оттаивания |
| Срок хранения | 24 месяца |
| Производитель | Cloud-Clone Corp. |
| Ссылка на страницу товара на сайте производителя | http://www.cloud-clone.com/products/PAB866Ra04.html |
|
Артикул
|
Наименование |
Производитель
|
|---|
|
Артикул
|
Наименование |
Производитель
|
|---|
|
Артикул
|
Наименование |
Производитель
|
|---|
|
Артикул
|
Наименование |
Производитель
|
|---|
|
Артикул
|
Наименование |
Производитель
|
|---|
|
Артикул
|
Наименование |
Производитель
|
|---|
Акции и предложения
Популярные продукты:
Guinea Pig ADP ribosylation factor like protein 3(ARL3) ELISA kit (E05A1016)
Организм: морская свинка
Canine Triiodothyronine ELISA kit (E08T0039)
Организм: собака
Диапазон определения: 5-100 нг/мл
Чувствительность: 1 нг/мл
Диапазон определения: 5-100 нг/мл
Чувствительность: 1 нг/мл
Anti-Human CD7 Antibody (SAb2342) (RHC41808)
Источник (хозяин): мышь
Реактивность подтвержденная: человек
Валидировано для: ELISA, FCM, IF
Реактивность подтвержденная: человек
Валидировано для: ELISA, FCM, IF
Anti-Tryptase (TPS) Monoclonal Antibody (FAB070Hu04)
Источник (хозяин): мышь
Реактивность подтвержденная: человек
Валидировано для: FCM
Реактивность подтвержденная: человек
Валидировано для: FCM
Anti-Latexin (LXN) Polyclonal Antibody (FAH709Hu01)
Источник (хозяин): кролик
Реактивность подтвержденная: человек
Валидировано для: FCM
Реактивность подтвержденная: человек
Валидировано для: FCM
ELISA Kit DIY Materials for N-Acetylgalactosaminidase Alpha (NAGa) (KSH574Ra01)
Организм: крыса
Диапазон определения: 0.156-10 нг/мл
Чувствительность: 0.055 нг/мл
Диапазон определения: 0.156-10 нг/мл
Чувствительность: 0.055 нг/мл

