| UNIPROT | Q15818 |
| Иммуноген | RPA298Hu01-Recombinant Neuronal Pentraxin I (NPTX1) |
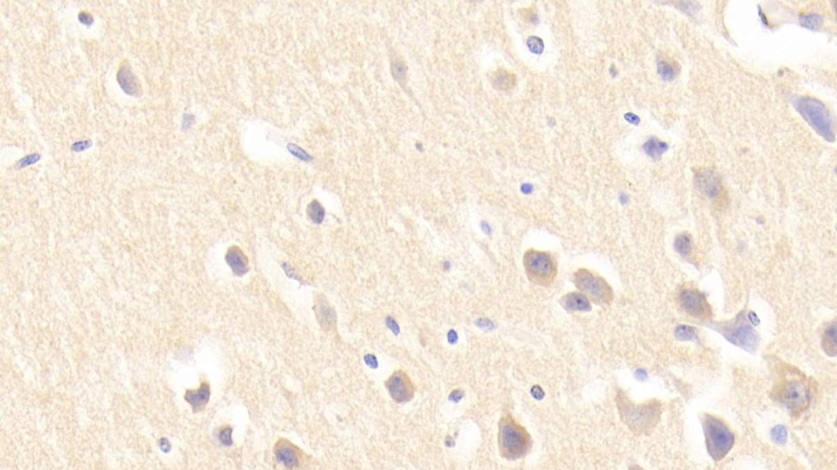
Polyclonal Antibody to Neuronal Pentraxin I (NPTX1) (PAA298Hu01)
Реактивность подтвержденная:
человек
Источник (хозяин):
кролик
Валидировано для:
IHC
WB
Характеристики
Техническое описание
| Русское название | PAA298Hu01 Поликлональное антитело к NPTX1 (человек) <Cloud-Clone,Китай> |
| Каталожный номер | PAA298Hu01 |
| Название антигена | Neuronal Pentraxin I (NPTX1) |
| UNIPROT | Q15818 |
| Иммуноген | RPA298Hu01-Recombinant Neuronal Pentraxin I (NPTX1) |
| Английские синонимы | NARP1, NP-I, NP1 |
Реактивность подтвержденная Нужна другая реактивность? |
человек |
| Реактивность предсказываемая | мышь, крыса, свинья |
| Источник (хозяин) | кролик |
| Клональность | поликлональное |
| Рекомбинантное | нет |
| Готовое к использованию | нет |
| Концентрация | 0.5 мг/мл |
| Конъюгат | По запросу: HRP, biotin, PerCP, PE, Cy3, FITC, Cy7, Cy5.5, PE-Cy5, PE-Cy7, PerCp-Cy5.5, APC, Cy5, PE-Cy3, PE-Cy5.5, APC-Cy7, Biotin-APC, FITC-Biotin, TRITC, APC-Cy5, AF488, AF594, AF405, AF555, AF700, AF647, AF750 |
| Валидировано для | IHC WB Иммуногистохимия; Вестерн-блоттинг |
| Рекомендуемые разведения | WB: 0.01-2 мкг/мл; IHC: 5-20 мкг/мл; IF: 5-20 мкг/мл; Оптимальное разведение определяется конечным потребителем |
| Метод очистки | Антигенспецифическая аффинная хроматография с последующей аффинной хроматографией с белком А |
| Состав буфера | PBS, pH7.4, 0.02% NaN3, 50% глицерин |
| Условия доставки | термобокс с аккумуляторами холода |
| Условия хранения | Сразу после получения аликвотировать и хранить при -20ºС до 24 месяцев. Для частого использования хранить при +4ºС не более 2 недель. Избегать повторения циклов замерзания/оттаивания |
| Срок хранения | 24 месяца |
| Производитель | Cloud-Clone Corp. |
| Ссылка на страницу товара на сайте производителя | http://www.cloud-clone.com/products/PAA298Hu01.html |
|
Артикул
|
Наименование |
Производитель
|
|---|
|
Артикул
|
Наименование |
Производитель
|
|---|
|
Артикул
|
Наименование |
Производитель
|
|---|
|
Артикул
|
Наименование |
Производитель
|
|---|
|
Артикул
|
Наименование |
Производитель
|
|---|
Акции и предложения
Популярные продукты:
ELISA Kit DIY Materials for Uridine Cytidine Kinase 2 (UCK2) (KSC584Hu01)
Организм: человек
Диапазон определения: 0.156-10 нг/мл
Чувствительность: 0.056 нг/мл
Диапазон определения: 0.156-10 нг/мл
Чувствительность: 0.056 нг/мл
Human Craniofacial development protein 1(CFDP1) ELISA kit (E01C1631)
Организм: человек
Porcine Lipocalin 1(LCN1) ELISA kit (E07L0322)
Организм: свинья
Human Asymmetric dimethylarginine ELISA kit (E01A0035)
Организм: человек
Диапазон определения: 2.5-50 мкмоль/л
Чувствительность: 0.1 мкмоль/л
Диапазон определения: 2.5-50 мкмоль/л
Чувствительность: 0.1 мкмоль/л
Rat Prolactin ELISA kit (E02P0039)
Организм: крыса
Диапазон определения: 5-100 нг/мл
Чувствительность: 1 нг/мл
Диапазон определения: 5-100 нг/мл
Чувствительность: 1 нг/мл

