| UNIPROT | P01303 |
| Иммуноген | RPA879Hu01-Recombinant Neuropeptide Y (NPY) |
Polyclonal Antibody to Neuropeptide Y (NPY) (PAA879Hu01)
Реактивность подтвержденная:
человек
Источник (хозяин):
кролик
Валидировано для:
IHC
Характеристики
Техническое описание
| Русское название | PAA879Hu01 Поликлональное антитело к NPY (человек) <Cloud-Clone,Китай> |
| Каталожный номер | PAA879Hu01 |
| Название антигена | Neuropeptide Y (NPY) |
| UNIPROT | P01303 |
| Иммуноген | RPA879Hu01-Recombinant Neuropeptide Y (NPY) |
| Английские синонимы | NP-Y, PYY4, CPON, Pro-neuropeptide Y, Neuropeptide tyrosine, C-flanking peptide of NPY |
Реактивность подтвержденная Нужна другая реактивность? |
человек |
| Источник (хозяин) | кролик |
| Клональность | поликлональное |
| Рекомбинантное | нет |
| Готовое к использованию | нет |
| Концентрация | 500 мкг/мл |
| Конъюгат | По запросу: HRP, biotin, PerCP, PE, Cy3, FITC, Cy7, Cy5.5, PE-Cy5, PE-Cy7, PerCp-Cy5.5, APC, Cy5, PE-Cy3, PE-Cy5.5, APC-Cy7, Biotin-APC, FITC-Biotin, TRITC, APC-Cy5, AF488, AF594, AF405, AF555, AF700, AF647, AF750 |
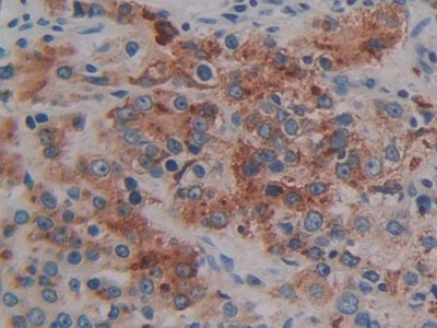
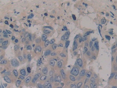
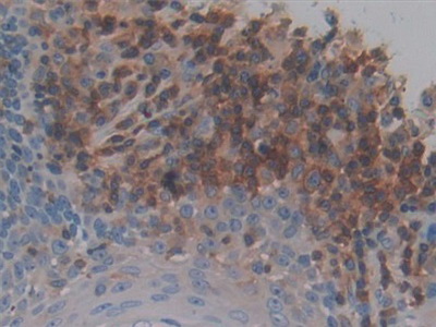
| Валидировано для | IHC Иммуногистохимия |
| Рекомендуемые разведения | WB: 0.5-2 мкг/мл; IHC: 5-20 мкг/мл; ICC: 5-20 мкг/мл; Оптимальное разведение определяется конечным потребителем |
| Метод очистки | Антигенспецифическая аффинная хроматография с последующей аффинной хроматографией с белком А |
| Состав буфера | 0.01M PBS, pH7.4, 0.05% Proclin-300, 50% глицерин |
| Условия доставки | термобокс с аккумуляторами холода |
| Условия хранения | Сразу после получения аликвотировать и хранить при -20ºС до 24 месяцев. Для частого использования хранить при +4ºС не более 2 недель. Избегать повторения циклов замерзания/оттаивания |
| Срок хранения | 24 месяца |
| Производитель | Cloud-Clone Corp. |
| Ссылка на страницу товара на сайте производителя | http://www.cloud-clone.com/products/PAA879Hu01.html |
|
Артикул
|
Наименование |
Производитель
|
|---|
|
Артикул
|
Наименование |
Производитель
|
|---|
|
Артикул
|
Наименование |
Производитель
|
|---|
|
Артикул
|
Наименование |
Производитель
|
|---|
|
Артикул
|
Наименование |
Производитель
|
|---|
|
Артикул
|
Наименование |
Производитель
|
|---|
Акции и предложения
Популярные продукты:
Chicken Biotinidase(BTD) ELISA kit (E12B0868)
Организм: курица
Chicken lamin A/C (LMNA) ELISA kit (E12L0333)
Организм: курица
Canine β crystallin B3(CRYBB3) ELISA kit (E08B0893)
Организм: собака
Human Calcium binding mitochondrial carrier protein Aralar2(SLC25A13) ELISA kit (E01C2429)
Организм: человек
Диапазон определения: 50-1000 пг/мл
Чувствительность: 1 пг/мл
Диапазон определения: 50-1000 пг/мл
Чувствительность: 1 пг/мл
Sheep Vinculin ELISA kit (E14V0025)
Организм: овца

